验证数据展示
经过测试的应用
| Positive WB detected in | pig brain tissue, rat cerebellum tissue, mouse cerebellum tissue, rabbit brain tissue, rat brain tissue, mouse brain tissue, chicken brain tissue, rabbit cerebellum tissue |
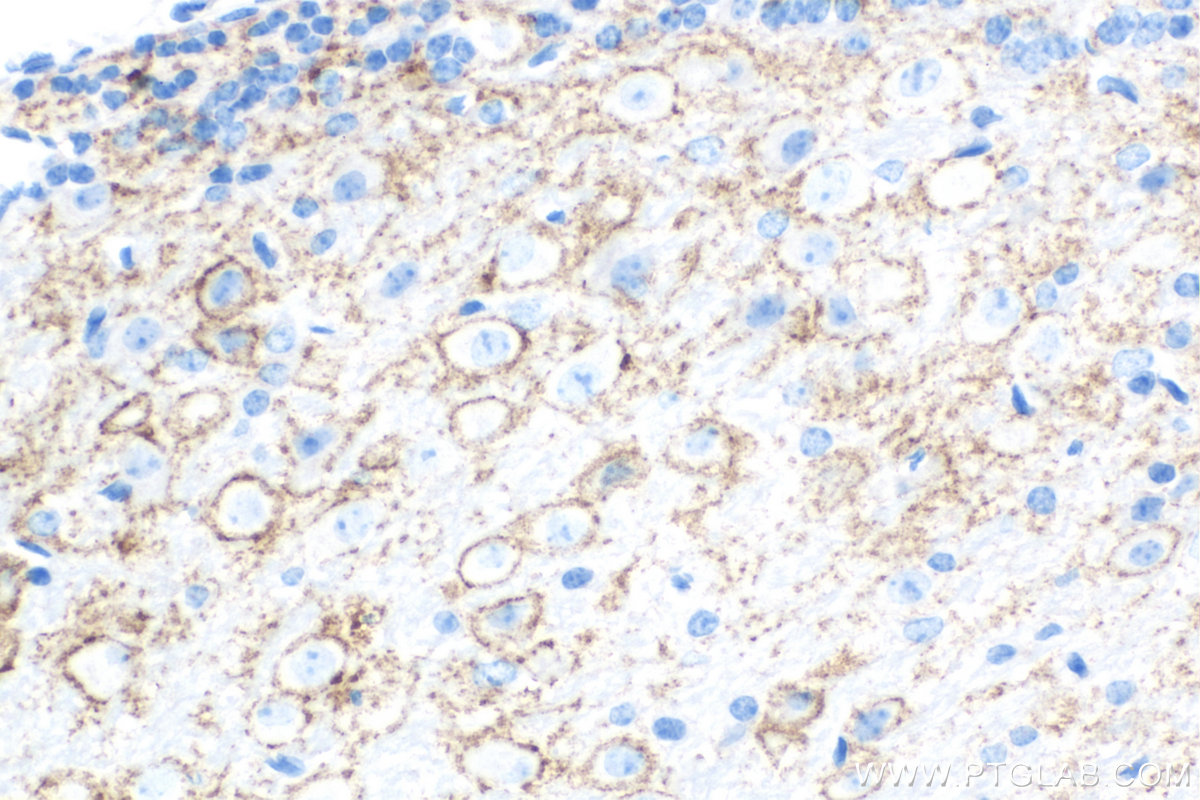
| Positive IHC detected in | mouse brain tissue, mouse cerebellum tissue Note: suggested antigen retrieval with TE buffer pH 9.0; (*) Alternatively, antigen retrieval may be performed with citrate buffer pH 6.0 |
推荐稀释比
| 应用 | 推荐稀释比 |
|---|---|
| Western Blot (WB) | WB : 1:20000-1:100000 |
| Immunohistochemistry (IHC) | IHC : 1:2500-1:10000 |
| It is recommended that this reagent should be titrated in each testing system to obtain optimal results. | |
| Sample-dependent, Check data in validation data gallery. | |
发表文章中的应用
| WB | See 1 publications below |
产品信息
68043-1-Ig targets Synaptotagmin-1 in WB, IHC, ELISA applications and shows reactivity with Human, Mouse, Rat, Pig, Rabbit, Chicken samples.
| 经测试应用 | WB, IHC, ELISA Application Description |
| 文献引用应用 | WB |
| 经测试反应性 | Human, Mouse, Rat, Pig, Rabbit, Chicken |
| 文献引用反应性 | human |
| 免疫原 |
CatNo: Ag6071 Product name: Recombinant human SYT1 protein Source: e coli.-derived, PET28a Tag: 6*His Domain: 97-422 aa of BC058917 Sequence: GGKNAINMKDVKDLGKTMKDQALKDDDAETGLTDGEEKEEPKEEEKLGKLQYSLDYDFQNNQLLVGIIQAAELPALDMGGTSDPYVKVFLLPDKKKKFETKVHRKTLNPVFNEQFTFKVPYSELGGKTLVMAVYDFDRFSKHDIIGEFKVPMNTVDFGHVTEEWRDLQSAEKEEQEKLGDICFSLRYVPTAGKLTVVILEAKNLKKMDVGGLSDPYVKIHLMQNGKRLKKKKTTIKKNTLNPYYNESFSFEVPFEQIQKVQVVVTVLDYDKIGKNDAIGKVFVGYNSTGAELRHWSDMLANPRRPIAQWHTLQVEEEVDAMLAVKK 种属同源性预测 |
| 宿主/亚型 | Mouse / IgG1 |
| 抗体类别 | Monoclonal |
| 产品类型 | Antibody |
| 全称 | synaptotagmin I |
| 别名 | DKFZp781D2042, P65, SVP65, Synaptotagmin 1, synaptotagmin I, Synaptotagmin-1, SYT, SYT1, SytI |
| 计算分子量 | 48 kDa |
| 观测分子量 | 60-65 kDa |
| GenBank蛋白编号 | BC058917 |
| 基因名称 | Synaptotagmin-1 |
| Gene ID (NCBI) | 6857 |
| RRID | AB_2918785 |
| 偶联类型 | Unconjugated |
| 形式 | Liquid |
| 纯化方式 | Protein G purification |
| UNIPROT ID | P21579 |
| 储存缓冲液 | PBS with 0.02% sodium azide and 50% glycerol, pH 7.3. |
| 储存条件 | Store at -20°C. Aliquoting is unnecessary for -20oC storage. |
背景介绍
The synaptotagmins are integral membrane proteins of synaptic vesicles thought to serve as Ca(2+) sensors in the process of vesicular trafficking and exocytosis (PMID: 8058779). SYT1 (synaptotagmin I) was firstly identified as a 65-kDa protein with a wide distribution in neuronal and neurosecretory tissue (PMID: 7298720). Calcium binding to SYT1 participates in triggering neurotransmitter release at the synapse (PMID: 11242035). In addition to regulating exocytosis, SYT1 has also been implicated in endocytosis and neurite outgrowth (PMID: 15492212; 11078930; 10336114).
实验方案
| Product Specific Protocols | |
|---|---|
| IHC protocol for Synaptotagmin-1 antibody 68043-1-Ig | Download protocol |
| WB protocol for Synaptotagmin-1 antibody 68043-1-Ig | Download protocol |
| Standard Protocols | |
|---|---|
| Click here to view our Standard Protocols |






