验证数据展示
经过测试的应用
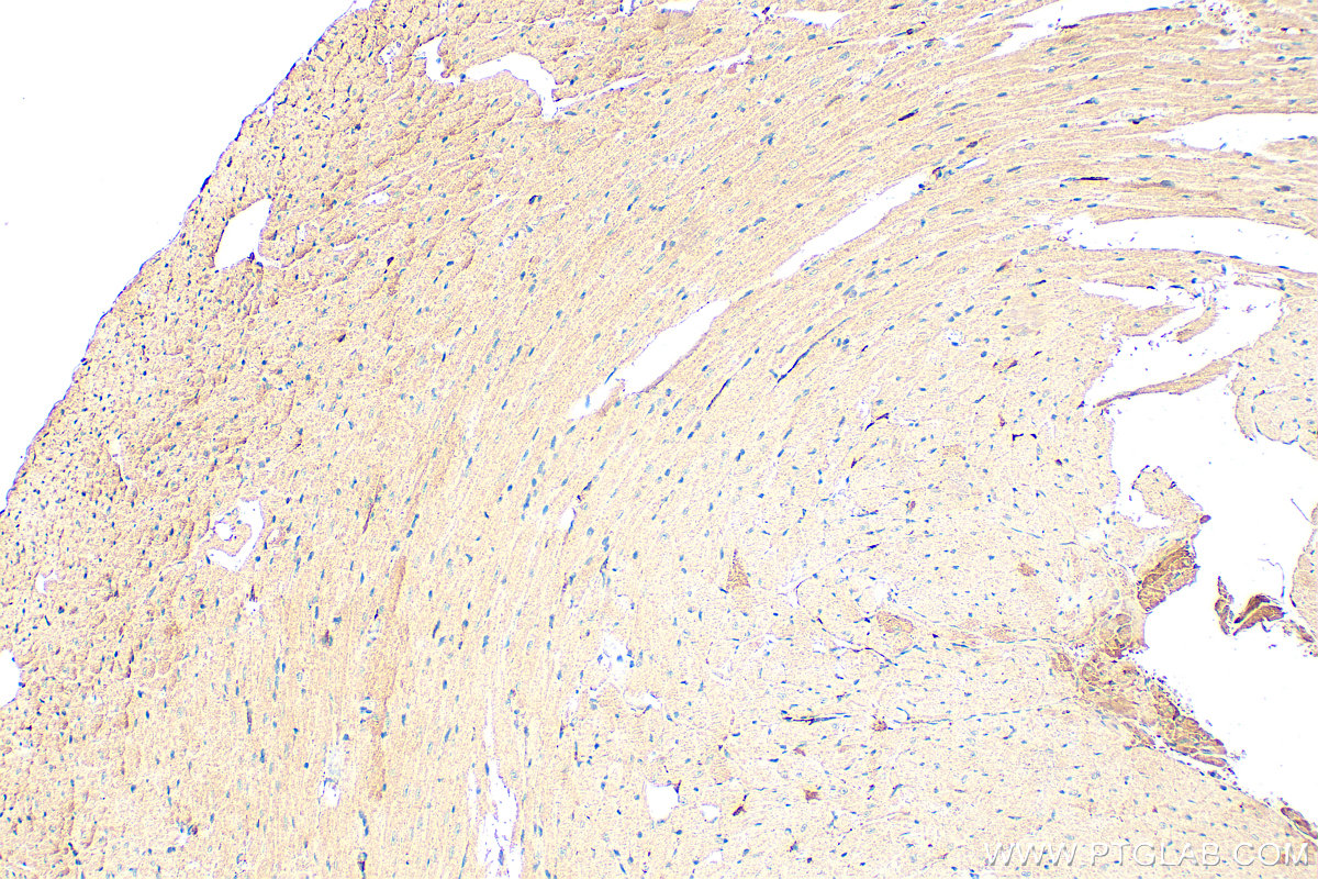
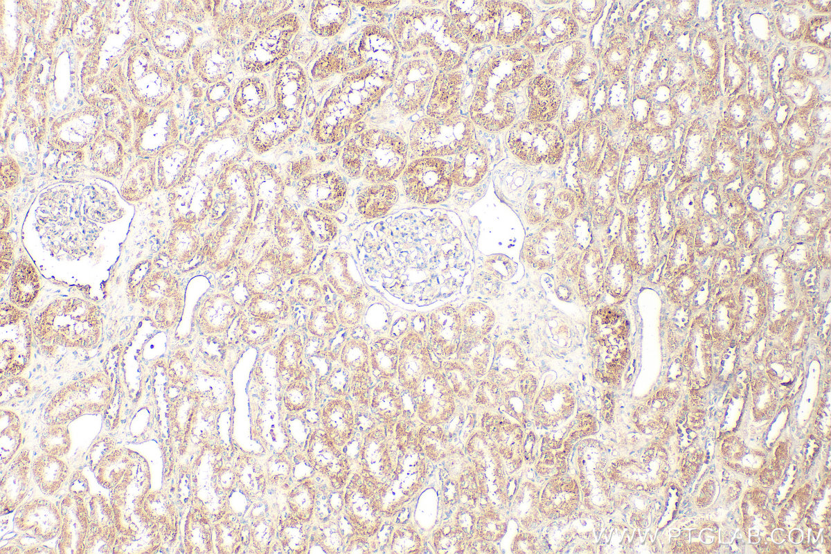
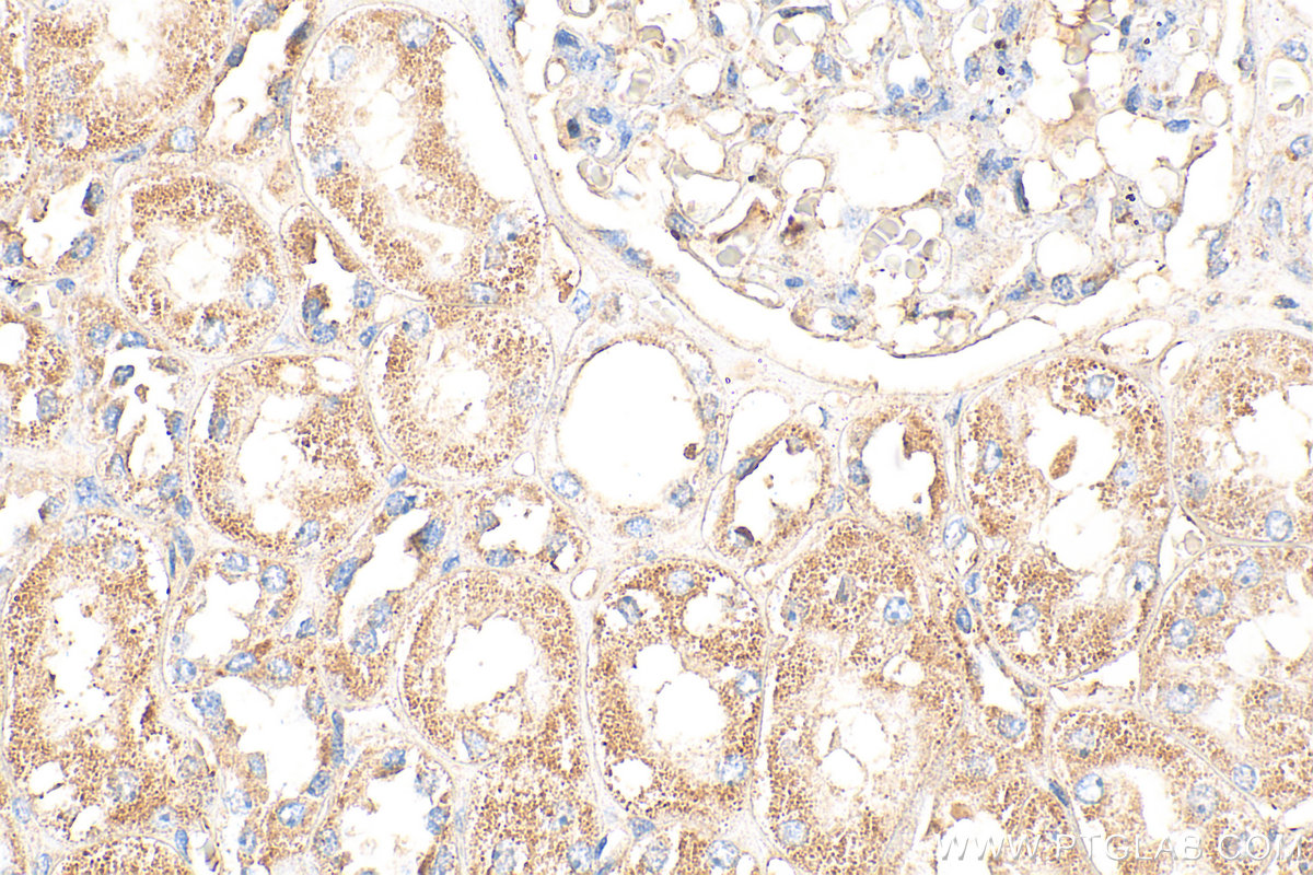
| Positive IHC detected in | human kidney tissue, mouse heart tissue Note: suggested antigen retrieval with TE buffer pH 9.0; (*) Alternatively, antigen retrieval may be performed with citrate buffer pH 6.0 |
| Positive IF-P detected in | mouse heart tissue, mouse liver tissue |
推荐稀释比
| 应用 | 推荐稀释比 |
|---|---|
| Immunohistochemistry (IHC) | IHC : 1:50-1:500 |
| Immunofluorescence (IF)-P | IF-P : 1:50-1:500 |
| It is recommended that this reagent should be titrated in each testing system to obtain optimal results. | |
| Sample-dependent, Check data in validation data gallery. | |
产品信息
20467-1-AP targets Spexin in IHC, IF-P, ELISA applications and shows reactivity with human, mouse samples.
| 经测试应用 | IHC, IF-P, ELISA Application Description |
| 经测试反应性 | human, mouse |
| 免疫原 |
CatNo: Ag14304 Product name: Recombinant human C12orf39 protein Source: e coli.-derived, PGEX-4T Tag: GST Domain: 1-116 aa of BC004336 Sequence: MKGLRSLAATTLALFLVFVFLGNSSCAPQRLLERRNWTPQAMLYLKGAQGRRFISDQSRRKDLSDRPLPERRSPNPQLLTIPEAATILLASLQKSPEDEEKNFDQTRFLEDSLLNW 种属同源性预测 |
| 宿主/亚型 | Rabbit / IgG |
| 抗体类别 | Polyclonal |
| 产品类型 | Antibody |
| 全称 | chromosome 12 open reading frame 39 |
| 别名 | C12orf39, Neuropeptide Q, Spexin hormone, Spexin-1, Spexin-2 |
| 计算分子量 | 116 aa, 13 kDa |
| GenBank蛋白编号 | BC004336 |
| 基因名称 | C12orf39 |
| Gene ID (NCBI) | 80763 |
| RRID | AB_3741996 |
| 偶联类型 | Unconjugated |
| 形式 | Liquid |
| 纯化方式 | Antigen affinity purification |
| UNIPROT ID | Q9BT56 |
| 储存缓冲液 | PBS with 0.02% sodium azide and 50% glycerol, pH 7.3. |
| 储存条件 | Store at -20°C. Stable for one year after shipment. Aliquoting is unnecessary for -20oC storage. |
背景介绍
Spexin (SPX), also known as neuropeptide Q, is a novel and highly conserved neuroendocrine peptide discovered through bioinformatics. Spexin and its receptors (primarily galanin receptor types 2 and 3) are widely expressed throughout the body, including the central nervous system, gastrointestinal tract, adipose tissue, kidneys, and cardiovascular system. Research indicates that Spexin is a multifunctional regulatory peptide, with its most central role being in energy homeostasis and metabolic regulation. It functions to suppress appetite, reduce body weight, and improve insulin resistance and glucose metabolism, making it a potential biomarker and therapeutic target for metabolic diseases such as obesity and type 2 diabetes. Additionally, Spexin is involved in regulating various physiological and pathological processes, including pain perception, anxiety- and depression-like behaviors, cardiovascular function, and reproductive activities.
实验方案
| Product Specific Protocols | |
|---|---|
| IF protocol for Spexin antibody 20467-1-AP | Download protocol |
| IHC protocol for Spexin antibody 20467-1-AP | Download protocol |
| Standard Protocols | |
|---|---|
| Click here to view our Standard Protocols |





