验证数据展示
经过测试的应用
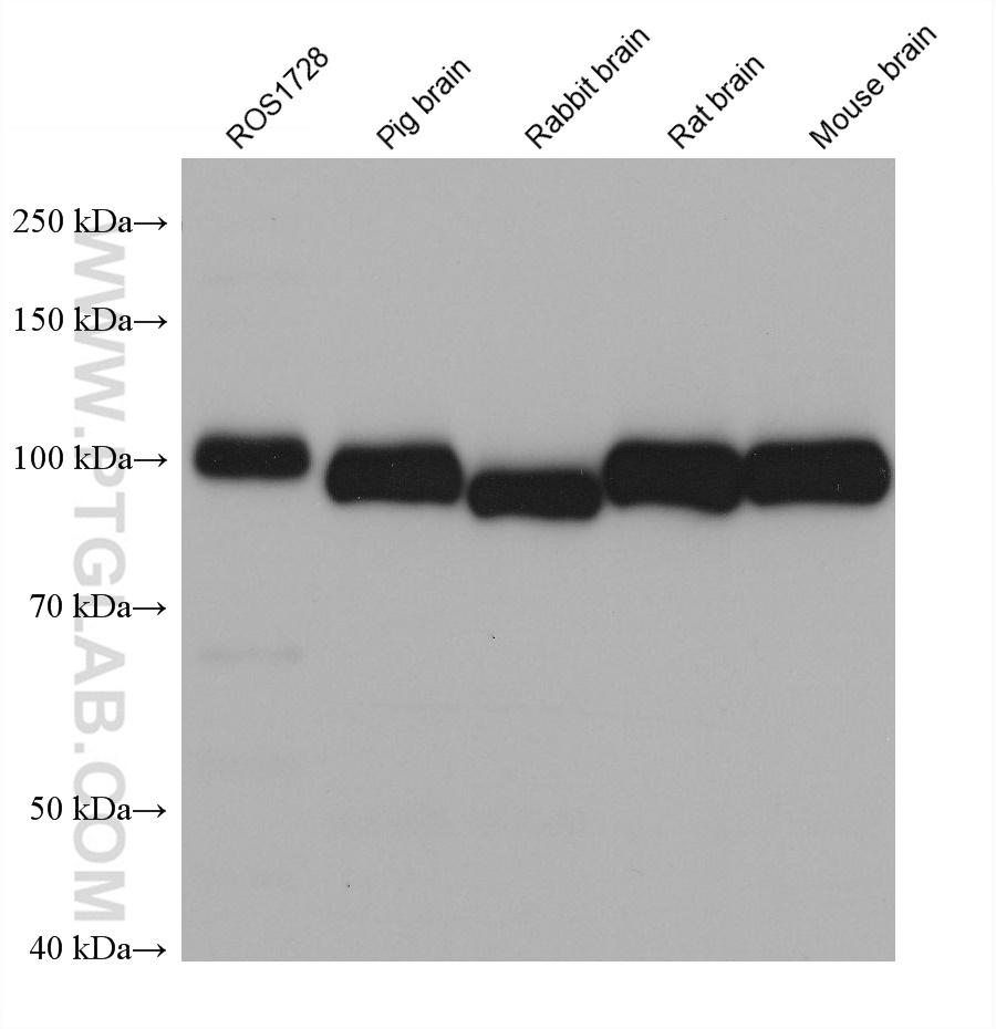
| Positive WB detected in | ROS1728 cells, SK-N-SH cells, SH-SY5Y cells, pig brain tissue, rabbit brain, rat brain tissue, mouse brain tissue |
| Positive IHC detected in | mouse brain tissue, human lung cancer tissue Note: suggested antigen retrieval with TE buffer pH 9.0; (*) Alternatively, antigen retrieval may be performed with citrate buffer pH 6.0 |
| Positive IF-P detected in | mouse brain tissue |
| Positive IF/ICC detected in | SH-SY5Y cells, HeLa cells |
推荐稀释比
| 应用 | 推荐稀释比 |
|---|---|
| Western Blot (WB) | WB : 1:5000-1:50000 |
| Immunohistochemistry (IHC) | IHC : 1:1000-1:4000 |
| Immunofluorescence (IF)-P | IF-P : 1:200-1:800 |
| Immunofluorescence (IF)/ICC | IF/ICC : 1:200-1:800 |
| It is recommended that this reagent should be titrated in each testing system to obtain optimal results. | |
| Sample-dependent, Check data in validation data gallery. | |
产品信息
68007-1-Ig targets Sortilin in WB, IHC, IF/ICC, IF-P, ELISA applications and shows reactivity with human, mouse, rat, pig samples.
| 经测试应用 | WB, IHC, IF/ICC, IF-P, ELISA Application Description |
| 经测试反应性 | human, mouse, rat, pig |
| 免疫原 |
CatNo: Ag28043 Product name: Recombinant human SORT1 protein Source: e coli.-derived, PET28a Tag: 6*His Domain: 481-831 aa of BC023542 Sequence: EPNAVGIVIAHGSVGDAISVMVPDVYISDDGGYSWTKMLEGPHYYTILDSGGIIVAIEHSSRPINVIKFSTDEGQCWQTYTFTRDPIYFTGLASEPGARSMNISIWGFTESFLTSQWVSYTIDFKDILERNCEEKDYTIWLAHSTDPEDYEDGCILGYKEQFLRLRKSSVCQNGRDYVVTKQPSICLCSLEDFLCDFGYYRPENDSKCVEQPELKGHDLEFCLYGREEHLTTNGYRKIPGDKCQGGVNPVREVKDLKKKCTSNFLSPEKQNSKSNSVPIILAIVGLMLVTVVAGVLIVKKYVCGGRFLVHRYSVLQQHAEANGVDGVDALDTASHTNKSGYHDDSDEDLLE 种属同源性预测 |
| 宿主/亚型 | Mouse / IgG2a |
| 抗体类别 | Monoclonal |
| 产品类型 | Antibody |
| 全称 | sortilin 1 |
| 别名 | SORT1, NTR3, NT3, Neurotensin receptor 3, Gp95 |
| 计算分子量 | 831 aa, 92 kDa |
| 观测分子量 | 95-100 kDa |
| GenBank蛋白编号 | BC023542 |
| 基因名称 | Sortilin |
| Gene ID (NCBI) | 6272 |
| ENSEMBL Gene ID | ENSG00000134243 |
| RRID | AB_2918754 |
| 偶联类型 | Unconjugated |
| 形式 | Liquid |
| 纯化方式 | Protein A purification |
| UNIPROT ID | Q99523 |
| 储存缓冲液 | PBS with 0.02% sodium azide and 50% glycerol, pH 7.3. |
| 储存条件 | Store at -20°C. Stable for one year after shipment. Aliquoting is unnecessary for -20oC storage. |
背景介绍
Sortilin 1 (SORT1), is a trans-Golgi network (TGN) transmembrane protein and is a member of the Vps10p domain receptor family. SORT1 binds a number of unrelated ligands that participate in a wide range of cellular processes. It functions as a sorting receptor in the Golgi compartment and as a clearance receptor on the cell surface.
实验方案
| Product Specific Protocols | |
|---|---|
| IF protocol for Sortilin antibody 68007-1-Ig | Download protocol |
| IHC protocol for Sortilin antibody 68007-1-Ig | Download protocol |
| WB protocol for Sortilin antibody 68007-1-Ig | Download protocol |
| Standard Protocols | |
|---|---|
| Click here to view our Standard Protocols |











