验证数据展示
经过测试的应用
| Positive WB detected in | SH-SY5Y cells |
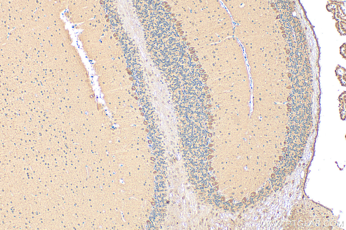
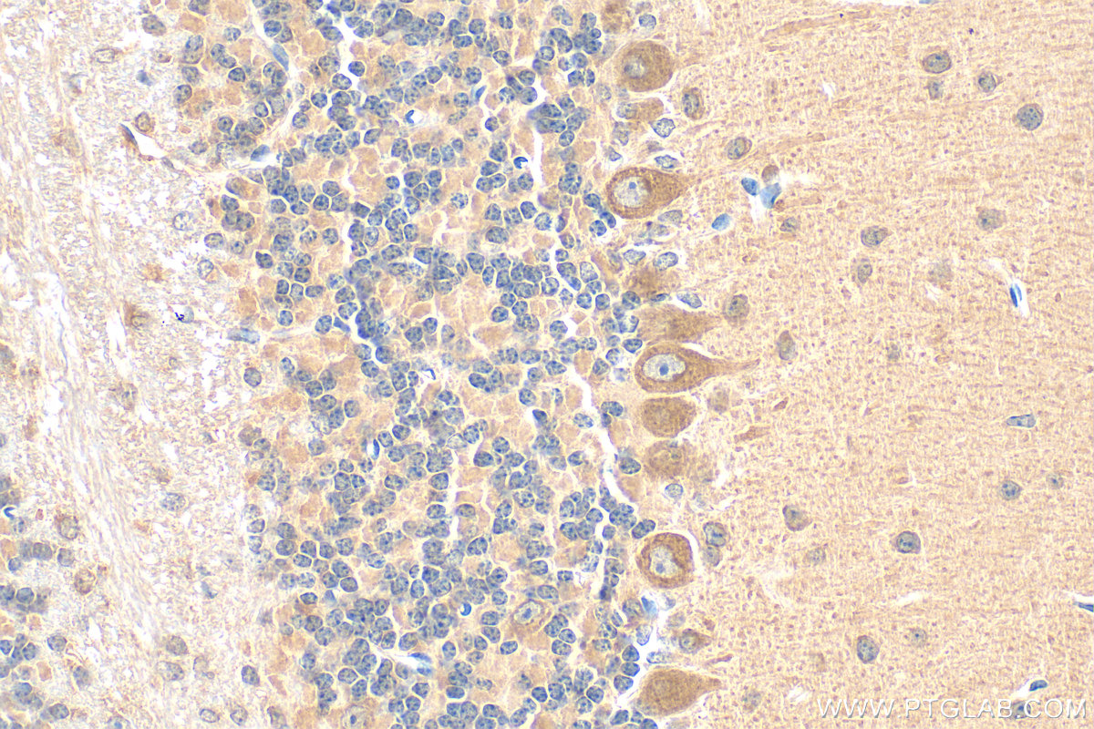
| Positive IHC detected in | mouse brain tissue, mouse cerebellum tissue Note: suggested antigen retrieval with TE buffer pH 9.0; (*) Alternatively, antigen retrieval may be performed with citrate buffer pH 6.0 |
| Positive IF-P detected in | mouse cerebellum tissue |
推荐稀释比
| 应用 | 推荐稀释比 |
|---|---|
| Western Blot (WB) | WB : 1:500-1:2000 |
| Immunohistochemistry (IHC) | IHC : 1:50-1:500 |
| Immunofluorescence (IF)-P | IF-P : 1:50-1:500 |
| It is recommended that this reagent should be titrated in each testing system to obtain optimal results. | |
| Sample-dependent, Check data in validation data gallery. | |
发表文章中的应用
| IF | See 1 publications below |
产品信息
19741-1-AP targets SYT7 in WB, IHC, IF-P, ELISA applications and shows reactivity with human, mouse samples.
| 经测试应用 | WB, IHC, IF-P, ELISA Application Description |
| 文献引用应用 | IF |
| 经测试反应性 | human, mouse |
| 文献引用反应性 | mouse |
| 免疫原 |
Peptide 种属同源性预测 |
| 宿主/亚型 | Rabbit / IgG |
| 抗体类别 | Polyclonal |
| 产品类型 | Antibody |
| 全称 | synaptotagmin VII |
| 别名 | IPCA 7, IPCA-7, PCANAP7, Prostate cancer-associated protein 7, Synaptotagmin 7 |
| 计算分子量 | 46 kDa |
| 观测分子量 | 42-45 kDa |
| GenBank蛋白编号 | NM_004200 |
| 基因名称 | SYT7 |
| Gene ID (NCBI) | 9066 |
| RRID | AB_3085583 |
| 偶联类型 | Unconjugated |
| 形式 | Liquid |
| 纯化方式 | Antigen affinity purification |
| UNIPROT ID | O43581 |
| 储存缓冲液 | PBS with 0.02% sodium azide and 50% glycerol, pH 7.3. |
| 储存条件 | Store at -20°C. Stable for one year after shipment. Aliquoting is unnecessary for -20oC storage. |
背景介绍
SYT7, also named as PCANAP7 and IPCA-7, belongs to the synaptotagmin family. SYT7 may be involved in Ca2+-dependent exocytosis of secretory vesicles through Ca2+ and phospholipid binding to the C2 domain or may serve as Ca2+ sensors in the process of vesicular trafficking and exocytosis.
实验方案
| Product Specific Protocols | |
|---|---|
| IF protocol for SYT7 antibody 19741-1-AP | Download protocol |
| IHC protocol for SYT7 antibody 19741-1-AP | Download protocol |
| WB protocol for SYT7 antibody 19741-1-AP | Download protocol |
| Standard Protocols | |
|---|---|
| Click here to view our Standard Protocols |





