验证数据展示
经过测试的应用
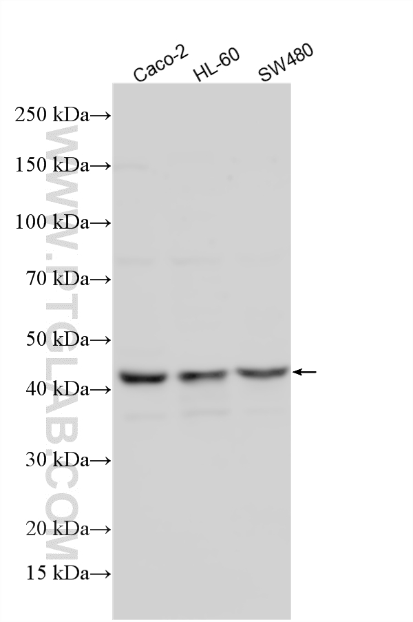
| Positive WB detected in | Caco-2 cells, HL-60 cells, SW480 cells |
推荐稀释比
| 应用 | 推荐稀释比 |
|---|---|
| Western Blot (WB) | WB : 1:1000-1:4000 |
| It is recommended that this reagent should be titrated in each testing system to obtain optimal results. | |
| Sample-dependent, Check data in validation data gallery. | |
产品信息
33693-1-AP targets SURF6 in WB, ELISA applications and shows reactivity with human samples.
| 经测试应用 | WB, ELISA Application Description |
| 经测试反应性 | human |
| 免疫原 |
CatNo: Ag38583 Product name: Recombinant human SURF6 protein Source: e coli.-derived, PET28a Tag: 6*His Domain: 1-300 aa of BC006197 Sequence: MASLLAKDAYLQSLAKKICSHSAPEQQARTRAGKTQGSETAGPPKKKRKKTQKKFRKREEKAAEHKAKSLGEKSPAASGARRPEAAKEEAAWASSSAGNPADGLATEPESVFALDVLRQRLHEKIQEARGQGSAKELSPAALEKRRRRKQERDRKKRKRKELRAKEKARKAEEATEAQEVVEATPEGACTEPREPPGLIFNKVEVSEDEPASKAQRRKEKRQRVKGNLTPLTGRNYRQLLERLQARQSRLDELRGQDEGKAQELEAKMKWTNLLYKAEGVKIRDDERLLQEALKRKEKRR 种属同源性预测 |
| 宿主/亚型 | Rabbit / IgG |
| 抗体类别 | Polyclonal |
| 产品类型 | Antibody |
| 全称 | surfeit 6 |
| 别名 | SURF-6 |
| 计算分子量 | 361 aa, 41 kDa |
| 观测分子量 | 42 kDa |
| GenBank蛋白编号 | BC006197 |
| 基因名称 | SURF6 |
| Gene ID (NCBI) | 6838 |
| RRID | AB_3743051 |
| 偶联类型 | Unconjugated |
| 形式 | Liquid |
| 纯化方式 | Antigen affinity Purification |
| UNIPROT ID | O75683 |
| 储存缓冲液 | PBS with 0.02% sodium azide and 50% glycerol, pH 7.3. |
| 储存条件 | Store at -20°C. Stable for one year after shipment. Aliquoting is unnecessary for -20oC storage. |
背景介绍
SURF6 has been described as a nucleolar protein that belongs to an evolutionary conserved protein family, which members are present in fungi, animal and plant kingdoms but are absent in bacteria. The characteristic feature of the SURF6 proteins is the presence of a conservative domain positioned in the carboxyl terminus that has an average residue identity of 36% between different species and is enriched with lysine and arginine residues, which confer its overall basic charge (pI > 10). (PMID: 28873013)
实验方案
| Product Specific Protocols | |
|---|---|
| WB protocol for SURF6 antibody 33693-1-AP | Download protocol |
| Standard Protocols | |
|---|---|
| Click here to view our Standard Protocols |
