验证数据展示
经过测试的应用
| Positive WB detected in | mouse liver tissue |
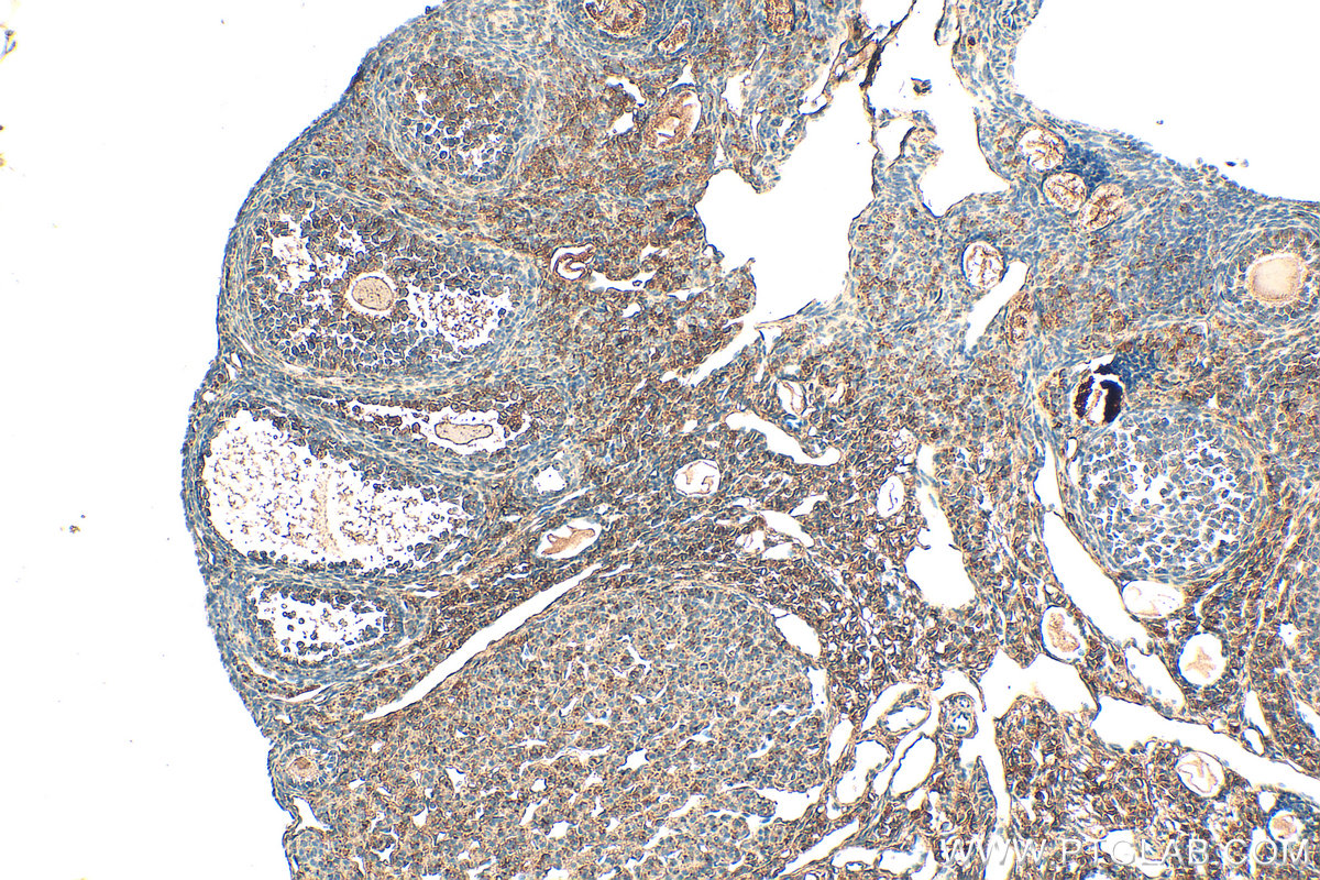
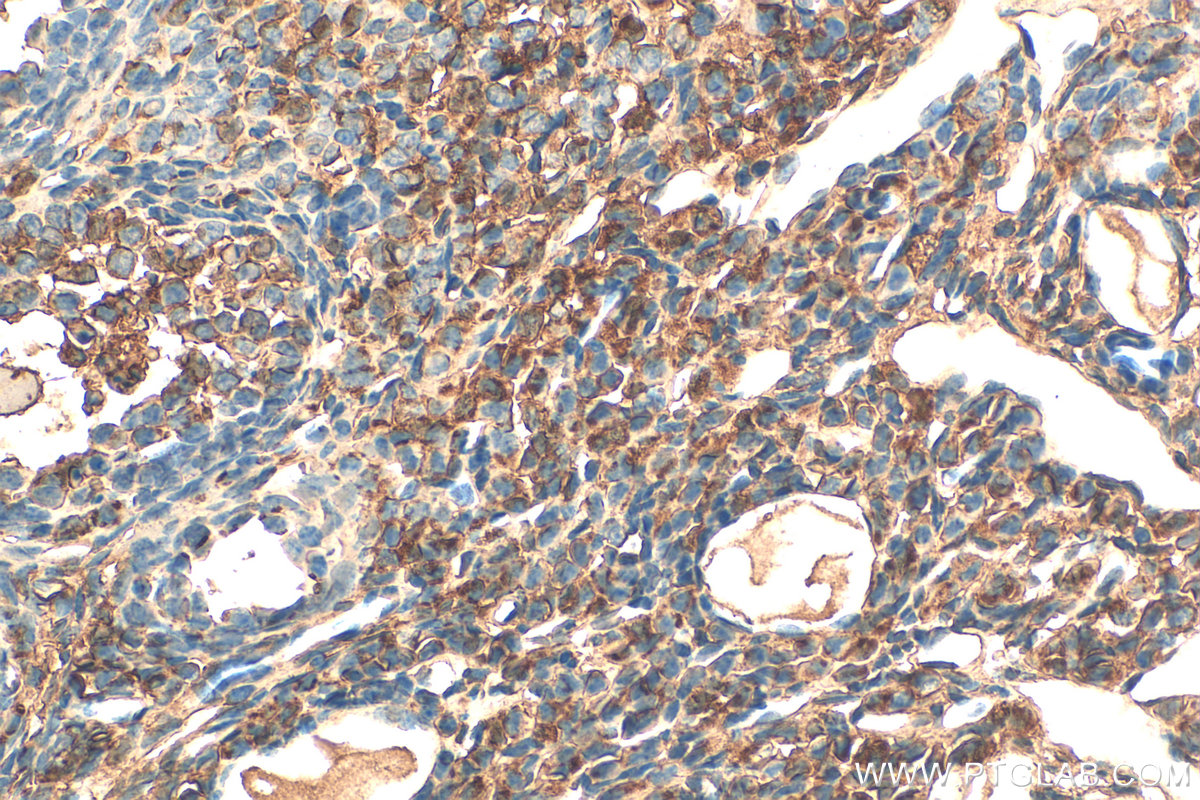
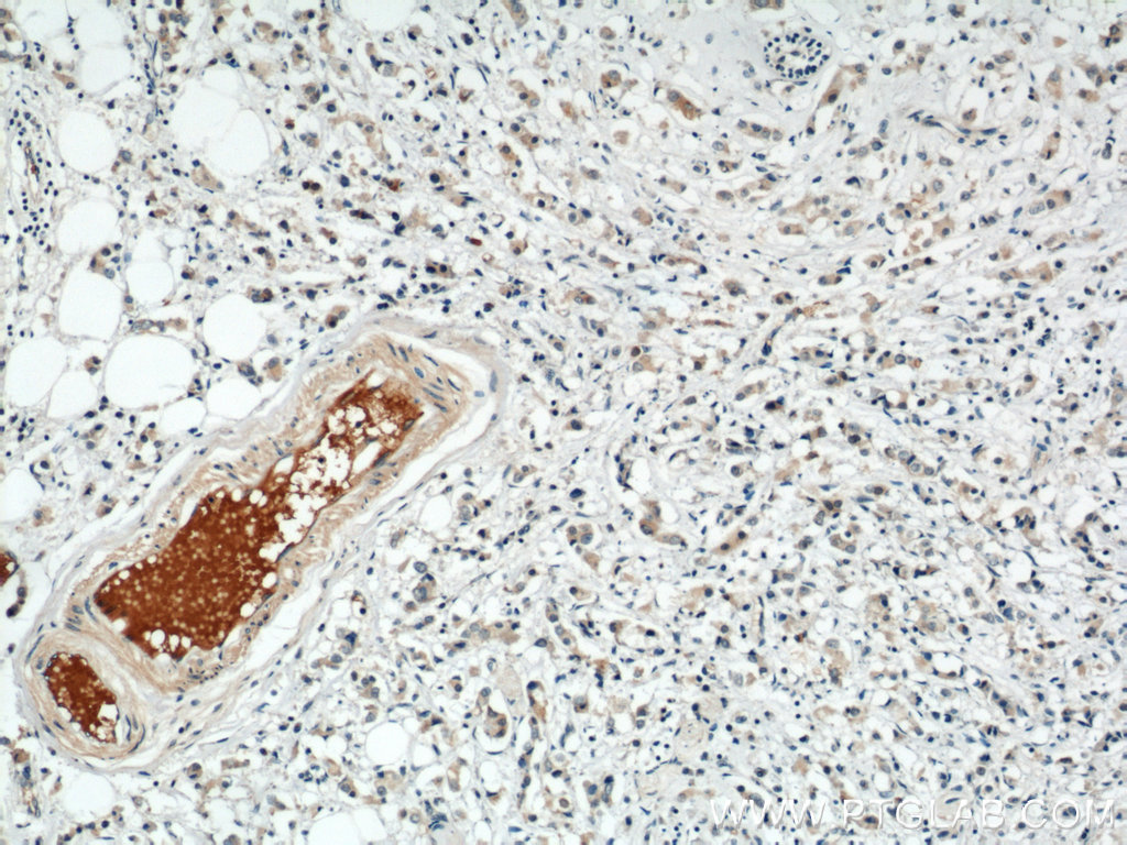
| Positive IHC detected in | mouse ovary tissue, human ovary tissue, mouse heart tissue Note: suggested antigen retrieval with TE buffer pH 9.0; (*) Alternatively, antigen retrieval may be performed with citrate buffer pH 6.0 |
推荐稀释比
| 应用 | 推荐稀释比 |
|---|---|
| Western Blot (WB) | WB : 1:500-1:1000 |
| Immunohistochemistry (IHC) | IHC : 1:50-1:500 |
| It is recommended that this reagent should be titrated in each testing system to obtain optimal results. | |
| Sample-dependent, Check data in validation data gallery. | |
产品信息
12260-1-AP targets SULF2 in WB, IHC, IF, ELISA applications and shows reactivity with human, mouse, rat samples.
| 经测试应用 | WB, IHC, ELISA Application Description |
| 文献引用应用 | WB, IHC, IF |
| 经测试反应性 | human, mouse, rat |
| 文献引用反应性 | human, mouse |
| 免疫原 |
CatNo: Ag2915 Product name: Recombinant human SULF2 protein Source: e coli.-derived, PGEX-4T Tag: GST Domain: 722-870 aa of BC020962 Sequence: MPGLTCFTHDNQHWQTAPFWTLGPFCACTSANNNTYWCMRTINETHNFLFCEFATGFLEYFDLNTDPYQLMNAVNTLDRDVLNQLHVQLMELRSCKGYKQCNPRTRNMDLGLKDGGSYEQYRQFQRRKWPEMKRPSSKSLGQLWEGWEG 种属同源性预测 |
| 宿主/亚型 | Rabbit / IgG |
| 抗体类别 | Polyclonal |
| 产品类型 | Antibody |
| 全称 | sulfatase 2 |
| 别名 | Arylsulfatase, EC:3.1.6.1, EC:3.1.6.14, Extracellular sulfatase Sulf 2, Extracellular sulfatase Sulf-2 |
| 计算分子量 | 870 aa, 96 kDa |
| 观测分子量 | 50 kDa, 130-150 kDa |
| GenBank蛋白编号 | BC020962 |
| 基因名称 | SULF2 |
| Gene ID (NCBI) | 55959 |
| RRID | AB_11183762 |
| 偶联类型 | Unconjugated |
| 形式 | Liquid |
| 纯化方式 | Antigen affinity purification |
| UNIPROT ID | Q8IWU5 |
| 储存缓冲液 | PBS with 0.02% sodium azide and 50% glycerol, pH 7.3. |
| 储存条件 | Store at -20°C. Stable for one year after shipment. Aliquoting is unnecessary for -20oC storage. |
背景介绍
SULF2, also named as KIAA1247, belongs to the sulfatase family. It exhibits arylsulfatase activity and highly specific endoglucosamine-6-sulfatase activity. SULF2 can remove sulfate from the C-6 position of glucosamine within specific subregions of intact heparin. SULF2 has several forms: the unglycosylated 100 kDa SULF2, the glycosylated 120-150 kDa SULF2, the cleaved 72-75 kDa and 50 kDa SULF2.
实验方案
| Product Specific Protocols | |
|---|---|
| IHC protocol for SULF2 antibody 12260-1-AP | Download protocol |
| WB protocol for SULF2 antibody 12260-1-AP | Download protocol |
| Standard Protocols | |
|---|---|
| Click here to view our Standard Protocols |
发表文章
| Species | Application | Title |
|---|---|---|
Cancer Lett SULF2 enhances GDF15-SMAD axis to facilitate the initiation and progression of pancreatic cancer.
|






