验证数据展示
经过测试的应用
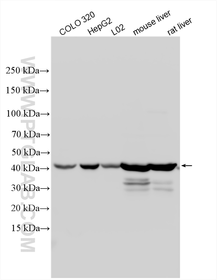
| Positive WB detected in | COLO 320 cells, HepG2 cells, L02 cells, mouse liver tissue, rat liver tissue |
| Positive IP detected in | mouse kidney tissue |
| Positive IHC detected in | human colon cancer tissue, human gliomas tissue, mouse kidney tissue Note: suggested antigen retrieval with TE buffer pH 9.0; (*) Alternatively, antigen retrieval may be performed with citrate buffer pH 6.0 |
推荐稀释比
| 应用 | 推荐稀释比 |
|---|---|
| Western Blot (WB) | WB : 1:5000-1:50000 |
| Immunoprecipitation (IP) | IP : 0.5-4.0 ug for 1.0-3.0 mg of total protein lysate |
| Immunohistochemistry (IHC) | IHC : 1:250-1:1000 |
| It is recommended that this reagent should be titrated in each testing system to obtain optimal results. | |
| Sample-dependent, Check data in validation data gallery. | |
产品信息
14240-1-AP targets SUCLG2 in WB, IHC, IF, IP, ELISA applications and shows reactivity with human, mouse, rat samples.
| 经测试应用 | WB, IHC, IP, ELISA Application Description |
| 文献引用应用 | WB, IHC, IF, IP |
| 经测试反应性 | human, mouse, rat |
| 文献引用反应性 | human, rat |
| 免疫原 |
CatNo: Ag5495 Product name: Recombinant human SUCLG2 protein Source: e coli.-derived, PET28a Tag: 6*His Domain: 1-385 aa of BC047024 Sequence: MSDNGVRVQRFFVADTANEALEAAKRLNAKEIVLKAQILAGGRGKGVFNSGLKGGVHLTKDPNVVGQLAKQMIGYNLATKQTPKEGVKVNKVMVAEALDISRETYLAILMDRSCNGPVLVGSPQGGVDIEEVAASNPELIFKEQIDIFEGIKDSQAQRMAENLGFVGPLKSQAADQITKLYNLFLKIDATQVEVNPFGETPEGQVVCFDAKINFDDNAEFRQKDIFAMDDKSENEPIENEAAKYDLKYIGLDGNIACFVNGAGLAMATCDIIFLNGGKPANFLDLGGGVKEAQVYQAFKLLTADPKVEAILVNIFGGIVNCAIIANGITKACRELELKVPLVVRLEGTNVQEAQKILNNSGLPITSAIDLEDAAKKAVASVAKK 种属同源性预测 |
| 宿主/亚型 | Rabbit / IgG |
| 抗体类别 | Polyclonal |
| 产品类型 | Antibody |
| 全称 | succinate-CoA ligase, GDP-forming, beta subunit |
| 别名 | EC:6.2.1.4, G BETA, G-SCS, GTPSCS, GTP-specific succinyl-CoA synthetase subunit beta |
| 计算分子量 | 47 kDa |
| 观测分子量 | 47 kDa |
| GenBank蛋白编号 | BC047024 |
| 基因名称 | SUCLG2 |
| Gene ID (NCBI) | 8801 |
| RRID | AB_2197187 |
| 偶联类型 | Unconjugated |
| 形式 | Liquid |
| 纯化方式 | Antigen affinity purification |
| UNIPROT ID | Q96I99 |
| 储存缓冲液 | PBS with 0.02% sodium azide and 50% glycerol, pH 7.3. |
| 储存条件 | Store at -20°C. Stable for one year after shipment. Aliquoting is unnecessary for -20oC storage. |
背景介绍
SUCLG2, encodes a GTP-specific beta subunit of succinyl-CoA synthetase. Succinyl-CoA synthetase catalyzes the reversible reaction involving the formation of succinyl-CoA and succinate. The deficiency of SUCLG2 represents an encephalomyopathic form of mtDNA depletion syndromes (PMID:30470562). Mutated SUCLG1 causes mislocalization of SUCLG2 protein, morphological alterations of mitochondria and an early-onset severe neurometabolic disorder. SUCLG2 is mainly expressed in liver, kidney, heart (PMID: 9765291).
实验方案
| Product Specific Protocols | |
|---|---|
| IHC protocol for SUCLG2 antibody 14240-1-AP | Download protocol |
| IP protocol for SUCLG2 antibody 14240-1-AP | Download protocol |
| WB protocol for SUCLG2 antibody 14240-1-AP | Download protocol |
| Standard Protocols | |
|---|---|
| Click here to view our Standard Protocols |
发表文章
| Species | Application | Title |
|---|---|---|
Adv Sci (Weinh) SUCLG2 Regulates Mitochondrial Dysfunction through Succinylation in Lung Adenocarcinoma | ||
Oncogene Pharmacologically targetable vulnerability in prostate cancer carrying RB1-SUCLA2 deletion.
| ||
Clin Cancer Res Biomarker identification and risk prediction model development for differentiated thyroid carcinoma lung metastasis based on primary lesion proteomics | ||
Arthritis Rheumatol Mitochondrial control of proteasomal Psmb5 drives the differentiation of tissue-resident memory T cells in patients with rheumatoid arthritis | ||
Biochim Biophys Acta Mol Basis Dis SIRT5 mediated succinylation of SUCLA2 regulates TCA cycle dysfunction and mitochondrial damage in pancreatic acinar cells in acute pancreatitis | ||
Gut Microbes CD44 is a macrophage receptor for TcdB from Clostridioides difficile that via its lysine-158 succinylation contributes to inflammation |






