验证数据展示
经过测试的应用
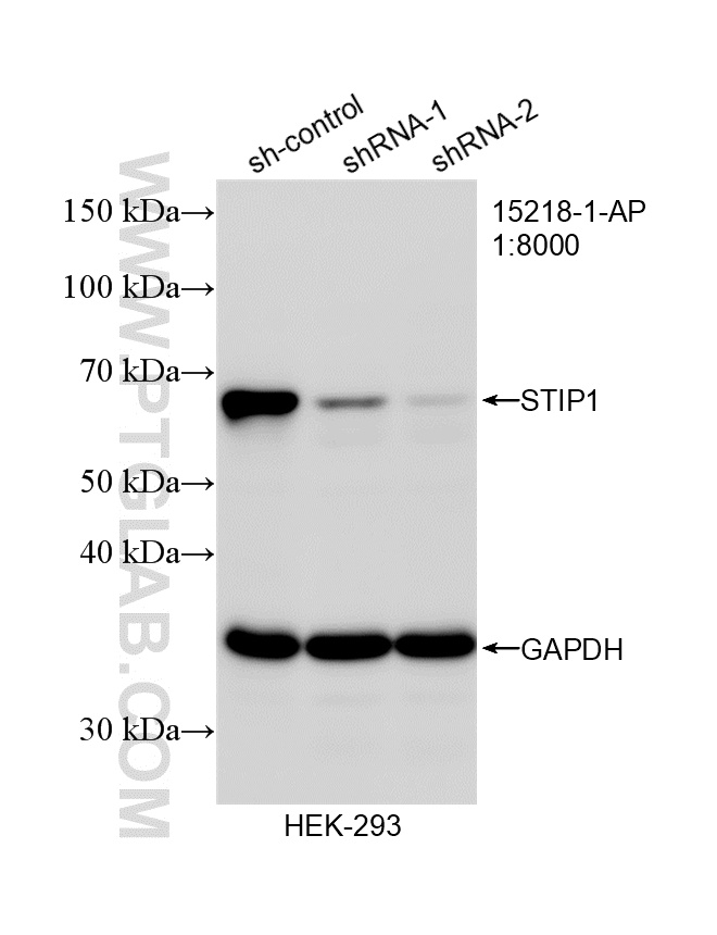
| Positive WB detected in | A431 cells, A549 cells, HEK-293 cells, HepG2 cells, Jurkat cells, HeLa cells |
| Positive IP detected in | Jurkat cells |
| Positive IHC detected in | human liver cancer tissue, human normal colon Note: suggested antigen retrieval with TE buffer pH 9.0; (*) Alternatively, antigen retrieval may be performed with citrate buffer pH 6.0 |
| Positive IF/ICC detected in | MCF-7 cells |
推荐稀释比
| 应用 | 推荐稀释比 |
|---|---|
| Western Blot (WB) | WB : 1:2000-1:10000 |
| Immunoprecipitation (IP) | IP : 0.5-4.0 ug for 1.0-3.0 mg of total protein lysate |
| Immunohistochemistry (IHC) | IHC : 1:50-1:500 |
| Immunofluorescence (IF)/ICC | IF/ICC : 1:10-1:100 |
| It is recommended that this reagent should be titrated in each testing system to obtain optimal results. | |
| Sample-dependent, Check data in validation data gallery. | |
产品信息
15218-1-AP targets STIP1 in WB, IHC, IF/ICC, IP, ELISA applications and shows reactivity with human, mouse, rat samples.
| 经测试应用 | WB, IHC, IF/ICC, IP, ELISA Application Description |
| 文献引用应用 | WB, IHC, IF, IP |
| 经测试反应性 | human, mouse, rat |
| 文献引用反应性 | human, mouse |
| 免疫原 |
CatNo: Ag7388 Product name: Recombinant human STIP1 protein Source: e coli.-derived, PGEX-4T Tag: GST Domain: 195-543 aa of BC002987 Sequence: EIATPPPPPPPKKETKPEPMEEDLPENKKQALKEKELGNDAYKKKDFDTALKHYDKAKELDPTNMTYITNQAAVYFEKGDYNKCRELCEKAIEVGRENREDYRQIAKAYARIGNSYFKEEKYKDAIHFYNKSLAEHRTPDVLKKCQQAEKILKEQERLAYINPDLALEEKNKGNECFQKGDYPQAMKHYTEAIKRNPKDAKLYSNRAACYTKLLEFQLALKDCEECIQLEPTFIKGYTRKAAALEAMKDYTKAMDVYQKALDLDSSCKEAADGYQRCMMAQYNRHDSPEDVKRRAMADPEVQQIMSDPAMRLILEQMQKDPQALSEHLKNPVIAQKIQKLMDVGLIAIR 种属同源性预测 |
| 宿主/亚型 | Rabbit / IgG |
| 抗体类别 | Polyclonal |
| 产品类型 | Antibody |
| 全称 | stress-induced-phosphoprotein 1 |
| 别名 | Hop, Hsc70/Hsp90 organizing protein, Hsc70/Hsp90-organizing protein, IEF SSP 3521, P60 |
| 计算分子量 | 63 kDa |
| 观测分子量 | 61 kDa |
| GenBank蛋白编号 | BC002987 |
| 基因名称 | STIP1 |
| Gene ID (NCBI) | 10963 |
| RRID | AB_2255518 |
| 偶联类型 | Unconjugated |
| 形式 | Liquid |
| 纯化方式 | Antigen affinity purification |
| UNIPROT ID | P31948 |
| 储存缓冲液 | PBS with 0.02% sodium azide and 50% glycerol, pH 7.3. |
| 储存条件 | Store at -20°C. Stable for one year after shipment. Aliquoting is unnecessary for -20oC storage. |
背景介绍
STIP1, also named as Hop and NY-REN-11. Its expression is low in the hypothalamus. STIP1 has some isoforms with MW 62 kDa, 68 kDa and 59 kDa. Acts as a co-chaperone for HSP90AA1.Mediates the association of the molecular chaperones HSPA8/HSC70 and HSP90, Probably forms a complex composed of chaperones HSP90 and HSP70, co-chaperones STIP1/HOP, CDC37, PPP5C, PTGES3/p23, TSC1 and client protein TSC2. STIP1 interacts with PACRG, EEF1AKMT3, FLCN, FNIP1 and FNIP2 (PMID:24880080).
实验方案
| Product Specific Protocols | |
|---|---|
| IF protocol for STIP1 antibody 15218-1-AP | Download protocol |
| IHC protocol for STIP1 antibody 15218-1-AP | Download protocol |
| IP protocol for STIP1 antibody 15218-1-AP | Download protocol |
| WB protocol for STIP1 antibody 15218-1-AP | Download protocol |
| Standard Protocols | |
|---|---|
| Click here to view our Standard Protocols |
发表文章
| Species | Application | Title |
|---|---|---|
Cancer Manag Res STIP1 Regulates Proliferation and Migration of Lung Adenocarcinoma Through JAK2/STAT3 Signaling Pathway.
| ||
Hum Cell Stress-induced phosphoprotein 1 facilitates breast cancer cell progression and indicates poor prognosis for breast cancer patients. | ||
Mol Biol Cell Mechanism of chaperone recruitment and retention on mitochondrial precursors | ||
Gene Systematic study of stress-inducible protein 1 (Stip1) in male reproductive system and its expression during stress response. | ||
Exp Cell Res Tumor-promoting action of ubiquitin protease 43 in gastric cancer progression through deubiquitination and stabilization of stress-inducible phosphoprotein 1 |






