验证数据展示
经过测试的应用
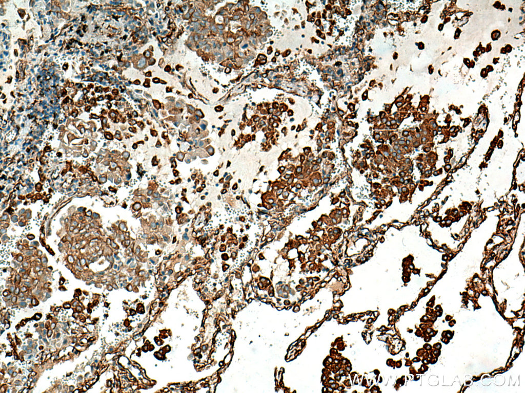
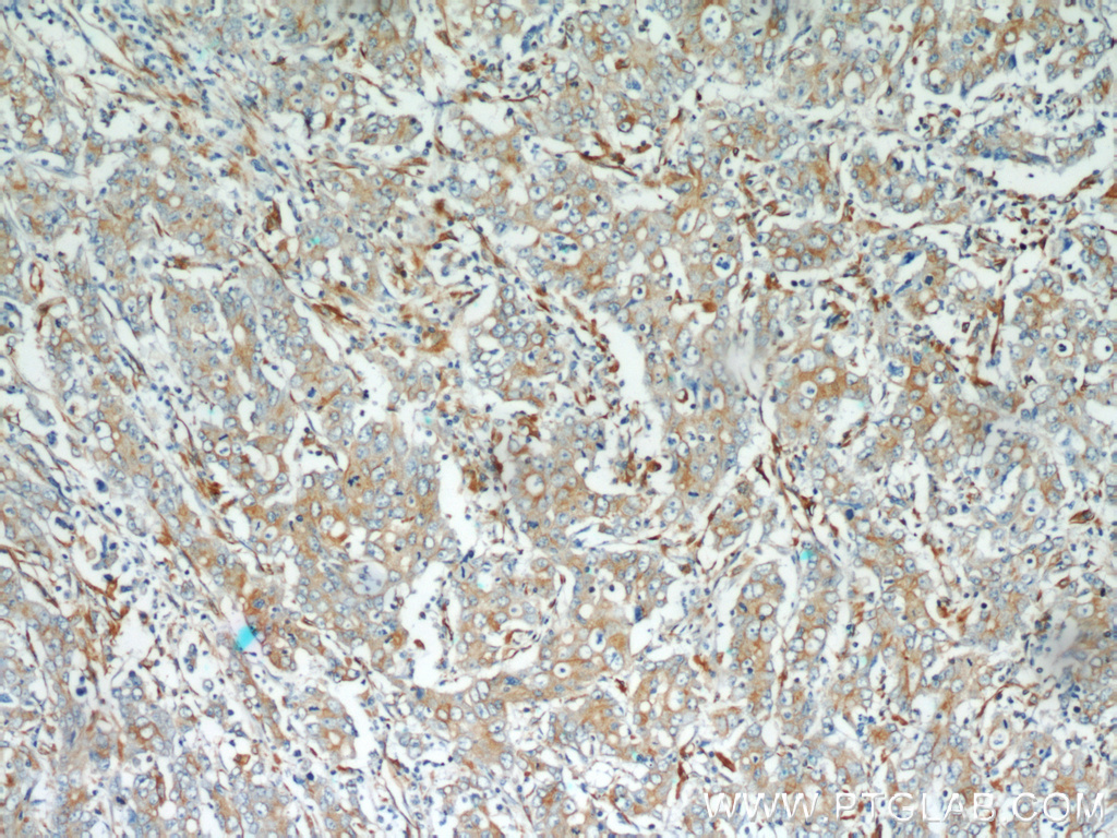
| Positive IHC detected in | human renal cell carcinoma tissue, human lung cancer tissue,  human colon cancer tissue,  human kidney tissue,  human stomach cancer tissue Note: suggested antigen retrieval with TE buffer pH 9.0; (*) Alternatively, antigen retrieval may be performed with citrate buffer pH 6.0 | 
| Positive IF/ICC detected in | U2OS cells | 
推荐稀释比
| 应用 | 推荐稀释比 | 
|---|---|
| Immunohistochemistry (IHC) | IHC : 1:50-1:500 | 
| Immunofluorescence (IF)/ICC | IF/ICC : 1:200-1:800 | 
| It is recommended that this reagent should be titrated in each testing system to obtain optimal results. | |
| Sample-dependent, Check data in validation data gallery. | |
产品信息
10314-1-AP targets Stanniocalcin 2 in WB, IHC, IF/ICC, ELISA applications and shows reactivity with human samples.
| 经测试应用 | IHC, IF/ICC, ELISA Application Description | 
| 文献引用应用 | WB, IHC, IF | 
| 经测试反应性 | human | 
| 文献引用反应性 | human | 
| 免疫原 | CatNo: Ag0359 Product name: Recombinant human STC2 protein Source: e coli.-derived, PGEX-4T Tag: GST Domain: 11-291 aa of BC000658 Sequence: TLALVLATFDPARGTDATNPPEGPQDRSSQQKGRLSLQNTAEIQHCLVNAGDVGCGVFECFENNSCEIRGLHGICMTFLHNAGKFDAQGKSFIKDALKCKAHALRHRFGCISRKCPAIREMVSQLQRECYLKHDLCAAAQENTRVIVEMIHFKDLLLHEPYVDLVNLLLTCGEEVKEAITHSVQVQCEQNWGSLCSILSFCTSAIQKPPTAPPERQPQVDRTKLSRAHHGEAGHHLPEPSSRETGRGAKGERGSKSHPNAHARGRVGGLGAQGPSGSSEWE种属同源性预测 | 
| 宿主/亚型 | Rabbit / IgG | 
| 抗体类别 | Polyclonal | 
| 产品类型 | Antibody | 
| 全称 | stanniocalcin 2 | 
| 别名 | STC2, Stanniocalcin related protein, Stanniocalcin-2, Stanniocalcin-related protein, STC 2 | 
| 计算分子量 | 33 kDa | 
| GenBank蛋白编号 | BC000658 | 
| 基因名称 | Stanniocalcin 2 | 
| Gene ID (NCBI) | 8614 | 
| RRID | AB_2197546 | 
| 偶联类型 | Unconjugated | 
| 形式 | Liquid | 
| 纯化方式 | Antigen affinity purification | 
| UNIPROT ID | O76061 | 
| 储存缓冲液 | PBS with 0.02% sodium azide and 50% glycerol, pH 7.3. | 
| 储存条件 | Store at -20°C. Stable for one year after shipment. Aliquoting is unnecessary for -20oC storage. | 
背景介绍
Stanniocalcin (STC) is a family of secreted glycoprotein hormones that originally discovered in the corpuscles of Stannius, an endocrine gland of fish. STC1 and STC2, two homologues of STC family, are reported to involve in calcium and phosphate homeostasis. It is expressed in a wide variety of tissues such as kidney, spleen, heart, and pancreas. The protein may play a role in the regulation of renal and intestinal calcium and phosphate transport, cell metabolism, or cellular calcium/phosphate homeostasis. STC2 overexpression could promote tumor cell proliferation, invasion and metastasis in prostate cancer, ovarian cancer or neuroblastoma. STC2 is also vital for cytoprotective properties when exposed to ER stress and hypoxia.
实验方案
| Product Specific Protocols | |
|---|---|
| IF protocol for Stanniocalcin 2 antibody 10314-1-AP | Download protocol | 
| IHC protocol for Stanniocalcin 2 antibody 10314-1-AP | Download protocol | 
| Standard Protocols | |
|---|---|
| Click here to view our Standard Protocols | 
发表文章
| Species | Application | Title | 
|---|---|---|
| Proc Natl Acad Sci U S A Addiction to Golgi-resident PI4P synthesis in chromosome 1q21.3-amplified lung adenocarcinoma cells. | ||
| Genomics Proteomics Bioinformatics miRNA-mRNA Regulatory Network and Factors Associated with Prediction of Prognosis in Hepatocellular Carcinoma. | ||
| Int J Cancer Additive effect of the AZGP1, PIP, S100A8, and UBE2C molecular biomarkers improves outcome prediction in breast carcinoma. | ||
| Endocr Relat Cancer Tumor suppressor functions of DAXX through histone H3.3/H3K9me3 pathway in pancreatic NETs. | ||
| Sci Rep Five hypoxia and immunity related genes as potential biomarkers for the prognosis of osteosarcoma. | 













