验证数据展示
经过测试的应用
| Positive WB detected in | HepG2 cells, human brain tissue, K-562 cells, mouse brain tissue, Jurkart cells |
| Positive IP detected in | mouse brain tissue |
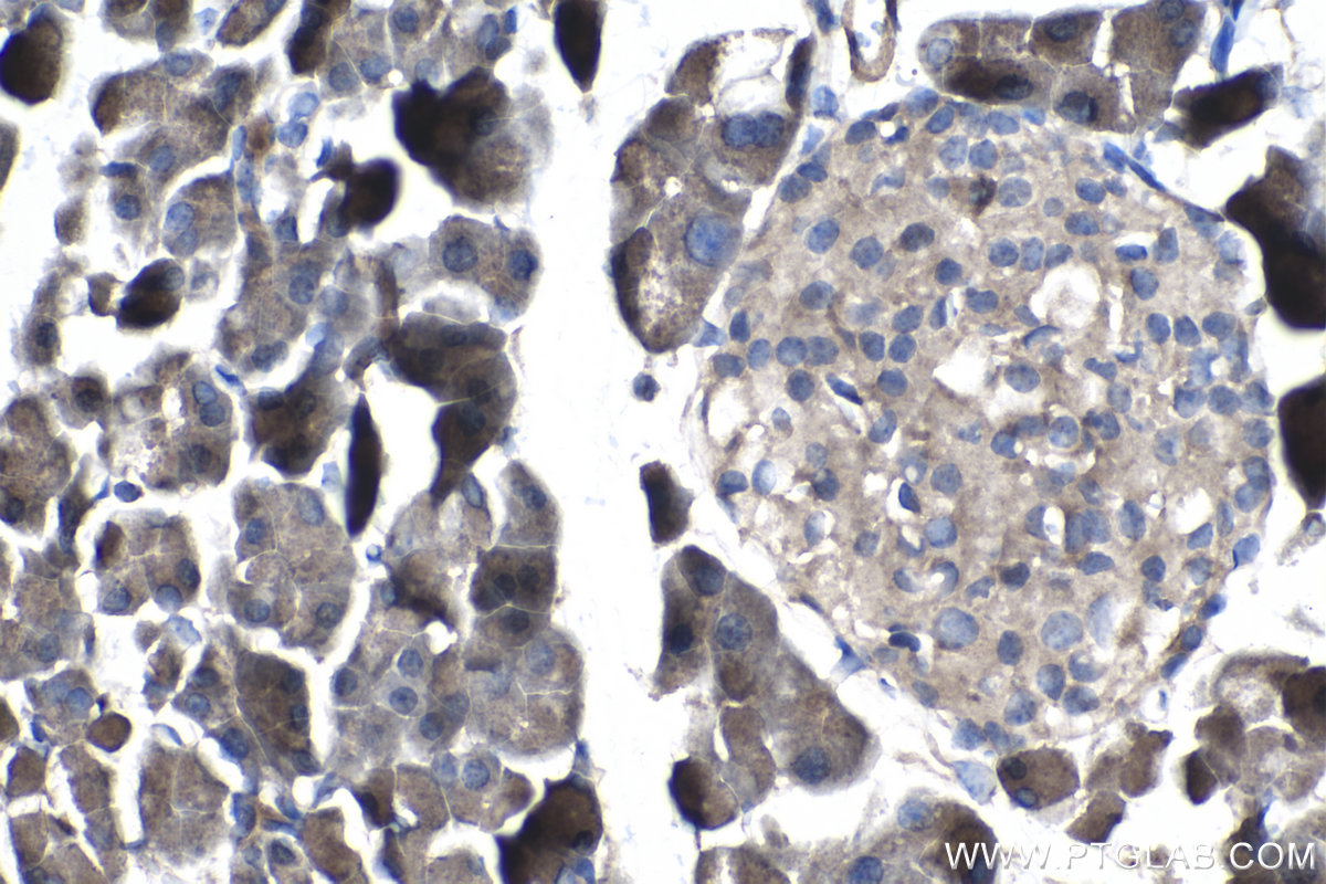
| Positive IHC detected in | mouse brain tissue, mouse pancreas tissue Note: suggested antigen retrieval with TE buffer pH 9.0; (*) Alternatively, antigen retrieval may be performed with citrate buffer pH 6.0 |
| Positive IF/ICC detected in | A549 cells |
推荐稀释比
| 应用 | 推荐稀释比 |
|---|---|
| Western Blot (WB) | WB : 1:2000-1:10000 |
| Immunoprecipitation (IP) | IP : 0.5-4.0 ug for 1.0-3.0 mg of total protein lysate |
| Immunohistochemistry (IHC) | IHC : 1:500-1:2000 |
| Immunofluorescence (IF)/ICC | IF/ICC : 1:200-1:800 |
| It is recommended that this reagent should be titrated in each testing system to obtain optimal results. | |
| Sample-dependent, Check data in validation data gallery. | |
产品信息
14225-1-AP targets STAU1 in WB, IHC, IF/ICC, IP, RIP, ELISA applications and shows reactivity with human, mouse, rat samples.
| 经测试应用 | WB, IHC, IF/ICC, IP, ELISA Application Description |
| 文献引用应用 | WB, IHC, IF, RIP |
| 经测试反应性 | human, mouse, rat |
| 文献引用反应性 | human, mouse, rat, pig, monkey |
| 免疫原 |
CatNo: Ag5464 Product name: Recombinant human STAU1 protein Source: e coli.-derived, PGEX-4T Tag: GST Domain: 227-577 aa of BC050432 Sequence: GEGEGKSKKISKKNAAIAVLEELKKLPPLPAVERVKPRIKKKTKPIVKPQTSPEYGQGINPISRLAQIQQAKKEKEPEYTLLTERGLPRRREFVMQVKVGNHTAEGTGTNKKVAKRNAAENMLEILGFKVPQAQPTKPALKSEEKTPIKKPGDGRKVTFFEPGSGDENGTSNKEDEFRMPYLSHQQLPAGILPMVPEVAQAVGVSQGHHTKDFTRAAPNPAKATVTAMIARELLYGGTSPTAETILKNNISSGHVPHGPLTRPSEQLDYLSRVQGFQVEYKDFPKNNKNEFVSLINCSSQPPLISHGIGKDVESCHDMAALNILKLLSELDQQSTEMPRTGNGPMSVCGRC 种属同源性预测 |
| 宿主/亚型 | Rabbit / IgG |
| 抗体类别 | Polyclonal |
| 产品类型 | Antibody |
| 全称 | staufen, RNA binding protein, homolog 1 (Drosophila) |
| 别名 | Double-stranded RNA-binding protein Staufen homolog 1, STAU |
| 计算分子量 | 63 kDa |
| 观测分子量 | 55 kDa |
| GenBank蛋白编号 | BC050432 |
| 基因名称 | STAU1 |
| Gene ID (NCBI) | 6780 |
| RRID | AB_2302744 |
| 偶联类型 | Unconjugated |
| 形式 | Liquid |
| 纯化方式 | Antigen affinity purification |
| UNIPROT ID | O95793 |
| 储存缓冲液 | PBS with 0.02% sodium azide and 50% glycerol, pH 7.3. |
| 储存条件 | Store at -20°C. Stable for one year after shipment. Aliquoting is unnecessary for -20oC storage. |
背景介绍
Staufen1 (STAU1)-mediated mRNA decay (SMD) degrades translationally active mRNAs that bind the double-stranded (ds)RNA binding protein STAU1 within their 3'-untranslated regions (3'UTRs) [PMID:21307942]. STAU1 can binds to stem structures and protect Dvl2 mRNA from degradation by associating with the secondary structure in the U1 region which is located at 5′ position of second U stretch in the U2 region [PMID:17510634]. It has a role in specific positioning of mRNAs at given sites in the cell by cross-linking cytoskeletal and RNA components, and in stimulating their translation at the site. There are two isoforms of STAU1 protein and the molecular weight of two isoforms are repectively 63 kDa and 55 kDa
实验方案
| Product Specific Protocols | |
|---|---|
| IF protocol for STAU1 antibody 14225-1-AP | Download protocol |
| IHC protocol for STAU1 antibody 14225-1-AP | Download protocol |
| IP protocol for STAU1 antibody 14225-1-AP | Download protocol |
| WB protocol for STAU1 antibody 14225-1-AP | Download protocol |
| Standard Protocols | |
|---|---|
| Click here to view our Standard Protocols |
发表文章
| Species | Application | Title |
|---|---|---|
Nature hiCLIP reveals the in vivo atlas of mRNA secondary structures recognized by Staufen 1.
| ||
Cell Metab NEAT1 is essential for metabolic changes that promote breast cancer growth and metastasis. | ||
Mol Cell Gain of Additional BIRC3 Protein Functions through 3'-UTR-Mediated Protein Complex Formation. | ||
Nat Commun Genome-wide enhancer-gene regulatory maps link causal variants to target genes underlying human cancer risk | ||
Nucleic Acids Res Comprehensive analysis of the BC200 ribonucleoprotein reveals a reciprocal regulatory function with CSDE1/UNR. |










