验证数据展示
经过测试的应用
| Positive WB detected in | HeLa cells, HepG2 cells, K-562 cells, mouse testis tissue, L02 cells |
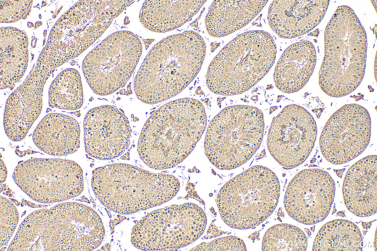
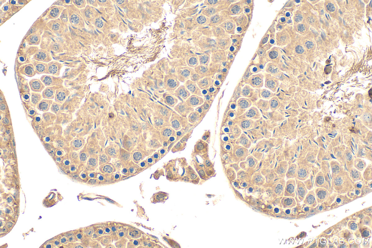
| Positive IHC detected in | mouse testis tissue Note: suggested antigen retrieval with TE buffer pH 9.0; (*) Alternatively, antigen retrieval may be performed with citrate buffer pH 6.0 |
推荐稀释比
| 应用 | 推荐稀释比 |
|---|---|
| Western Blot (WB) | WB : 1:5000-1:50000 |
| Immunohistochemistry (IHC) | IHC : 1:50-1:500 |
| It is recommended that this reagent should be titrated in each testing system to obtain optimal results. | |
| Sample-dependent, Check data in validation data gallery. | |
发表文章中的应用
| KD/KO | See 3 publications below |
| WB | See 13 publications below |
产品信息
15689-1-AP targets STARD7 in WB, IHC, ELISA applications and shows reactivity with human, mouse, rat samples.
| 经测试应用 | WB, IHC, ELISA Application Description |
| 文献引用应用 | WB |
| 经测试反应性 | human, mouse, rat |
| 文献引用反应性 | human, mouse, pig |
| 免疫原 |
CatNo: Ag8224 Product name: Recombinant human STARD7 protein Source: e coli.-derived, PGEX-4T Tag: GST Domain: 1-295 aa of BC008894 Sequence: MAALAGVFVWDEERIQEEELQRSINEMKRLEEMSNMFQSSGVQHHPPEPKAQTEGNEDSEGKEQRWEMVMDKKHFKLWRRPITGTHLYQYRVFGTYTDVTPRQFFNVQLDTEYRKKWDALVIKLEVIERDVVSGSEVLHWVTHFPYPMYSRDYVYVRRYSVDQENNMMVLVSRAVEHPSVPESPEFVRVRSYESQMVIRPHKSFDENGFDYLLTYSDNPQTVFPRYCVSWMVSSGMPDFLEKLHMATLKAKNMEIKVKDYISAKPLEMSSEAKATSQSSERKNEGSCGPARIEYA 种属同源性预测 |
| 宿主/亚型 | Rabbit / IgG |
| 抗体类别 | Polyclonal |
| 产品类型 | Antibody |
| 全称 | StAR-related lipid transfer (START) domain containing 7 |
| 别名 | GTT1, StAR-related lipid transfer protein 7, mitochondrial, START domain-containing protein 7 |
| 计算分子量 | 295 aa, 35 kDa |
| 观测分子量 | 34 kDa |
| GenBank蛋白编号 | BC008894 |
| 基因名称 | STARD7 |
| Gene ID (NCBI) | 56910 |
| RRID | AB_2197820 |
| 偶联类型 | Unconjugated |
| 形式 | Liquid |
| 纯化方式 | Antigen affinity purification |
| UNIPROT ID | Q9NQZ5 |
| 储存缓冲液 | PBS with 0.02% sodium azide and 50% glycerol, pH 7.3. |
| 储存条件 | Store at -20°C. Stable for one year after shipment. Aliquoting is unnecessary for -20oC storage. |
背景介绍
STARD7, also known as gestational trophoblastic tumor gene-1 (GTT1), is a lipid transfer protein that specifically binds and transports phosphatidylcholine (PC) between cellular membranes. It is a member of the START (Steroidogenic Acute Regulatory protein-related lipid transfer) domain-containing protein family, which is involved in intracellular lipid transport and metabolism. (PMID: 23507753)
实验方案
| Product Specific Protocols | |
|---|---|
| IHC protocol for STARD7 antibody 15689-1-AP | Download protocol |
| WB protocol for STARD7 antibody 15689-1-AP | Download protocol |
| Standard Protocols | |
|---|---|
| Click here to view our Standard Protocols |
发表文章
| Species | Application | Title |
|---|---|---|
Nat Cell Biol PARL mediates Smac proteolytic maturation in mitochondria to promote apoptosis. | ||
Nat Commun Intronic ATTTC repeat expansions in STARD7 in familial adult myoclonic epilepsy linked to chromosome 2. | ||
EMBO J PARL partitions the lipid transfer protein STARD7 between the cytosol and mitochondria. | ||
EMBO Mol Med Loss of the mitochondrial i-AAA protease YME1L leads to ocular dysfunction and spinal axonopathy. | ||
J Lipid Res A search for ceramide binding proteins using bifunctional lipid analogs yields CERT-related protein StarD7.
| ||
iScience Lipopolysaccharide induces placental mitochondrial dysfunction in murine and human systems by reducing MNRR1 levels via a TLR4-independent pathway |



