验证数据展示
经过测试的应用
| Positive WB detected in | mouse heart tissue |
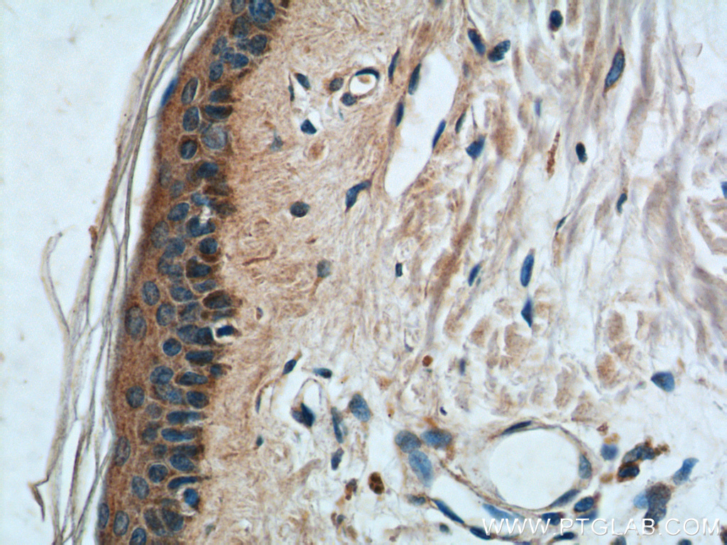
| Positive IHC detected in | human heart tissue, human skin tissue Note: suggested antigen retrieval with TE buffer pH 9.0; (*) Alternatively, antigen retrieval may be performed with citrate buffer pH 6.0 |
推荐稀释比
| 应用 | 推荐稀释比 |
|---|---|
| Western Blot (WB) | WB : 1:200-1:1000 |
| Immunohistochemistry (IHC) | IHC : 1:20-1:200 |
| It is recommended that this reagent should be titrated in each testing system to obtain optimal results. | |
| Sample-dependent, Check data in validation data gallery. | |
产品信息
19736-1-AP targets ST8SIA2-Specific in WB, IHC, IF, ELISA applications and shows reactivity with human, mouse, rat samples.
| 经测试应用 | WB, IHC, ELISA Application Description |
| 文献引用应用 | WB, IHC, IF |
| 经测试反应性 | human, mouse, rat |
| 文献引用反应性 | human, mouse, rat |
| 免疫原 |
Peptide 种属同源性预测 |
| 宿主/亚型 | Rabbit / IgG |
| 抗体类别 | Polyclonal |
| 产品类型 | Antibody |
| 全称 | ST8 alpha-N-acetyl-neuraminide alpha-2,8-sialyltransferase 2 |
| 别名 | ST8SIA2, Alpha-2,8-sialyltransferase 8B, EC:2.4.3.-, Sialyltransferase St8Sia II, SIAT8-B |
| 计算分子量 | 42 kDa |
| 观测分子量 | 42 kDa |
| GenBank蛋白编号 | NM_006011 |
| 基因名称 | ST8SIA2 |
| Gene ID (NCBI) | 8128 |
| RRID | AB_10638471 |
| 偶联类型 | Unconjugated |
| 形式 | Liquid |
| 纯化方式 | Antigen affinity purification |
| UNIPROT ID | Q92186 |
| 储存缓冲液 | PBS with 0.02% sodium azide and 50% glycerol, pH 7.3. |
| 储存条件 | Store at -20°C. Stable for one year after shipment. Aliquoting is unnecessary for -20oC storage. |
背景介绍
ST8SIA2, also named as SIAT8B and STX, belongs to the glycosyltransferase 29 family. ST8SIA2 may transfer sialic acid through alpha-2,8-linkages to the alpha-2,3-linked and alpha-2,6-linked sialic acid of N-linked oligosaccharides of glycoproteins and may be involved in PSA (polysialic acid) expression. The antibody is specific to ST8SIA2.
实验方案
| Product Specific Protocols | |
|---|---|
| IHC protocol for ST8SIA2-Specific antibody 19736-1-AP | Download protocol |
| WB protocol for ST8SIA2-Specific antibody 19736-1-AP | Download protocol |
| Standard Protocols | |
|---|---|
| Click here to view our Standard Protocols |
发表文章
| Species | Application | Title |
|---|---|---|
Nat Neurosci Single-cell genomics of the mouse olfactory cortex reveals contrasts with neocortex and ancestral signatures of cell type evolution | ||
Oxid Med Cell Longev Long Noncoding RNA TUG1 Aggravates Cerebral Ischemia/Reperfusion Injury by Acting as a ceRNA for miR-3072-3p to Target St8sia2. | ||
J Cell Sci Prolyl endopeptidase is involved in the degradation of neural cell adhesion molecules in vitro. | ||
Brain Res PSA modification of NCAM supports the survival of injured retinal ganglion cells in adulthood. | ||
Front Neurosci Spatiotemporal differential regulation of extrasynaptic GluN2B receptor subunits and PSA-NCAM in brain aging and Alzheimer's disease | ||
Front Immunol A novel ganglioside-related risk signature can reveal the distinct immune landscape of neuroblastoma and predict the immunotherapeutic response |





