验证数据展示
经过测试的应用
| Positive WB detected in | COLO 205 cells, HL-60 cells, HT-29 cells, LoVo cells, mouse heart tissue, rat heart tissue |
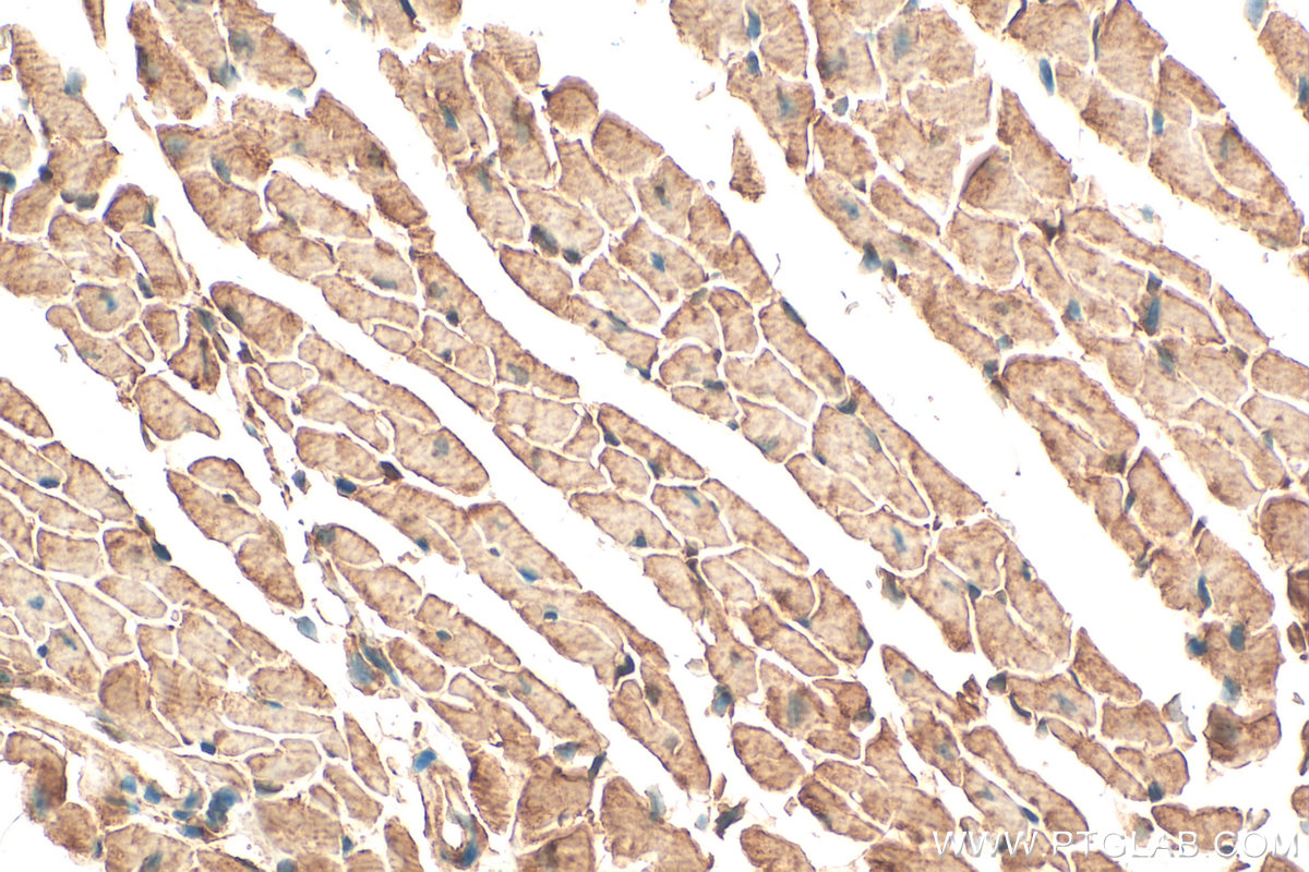
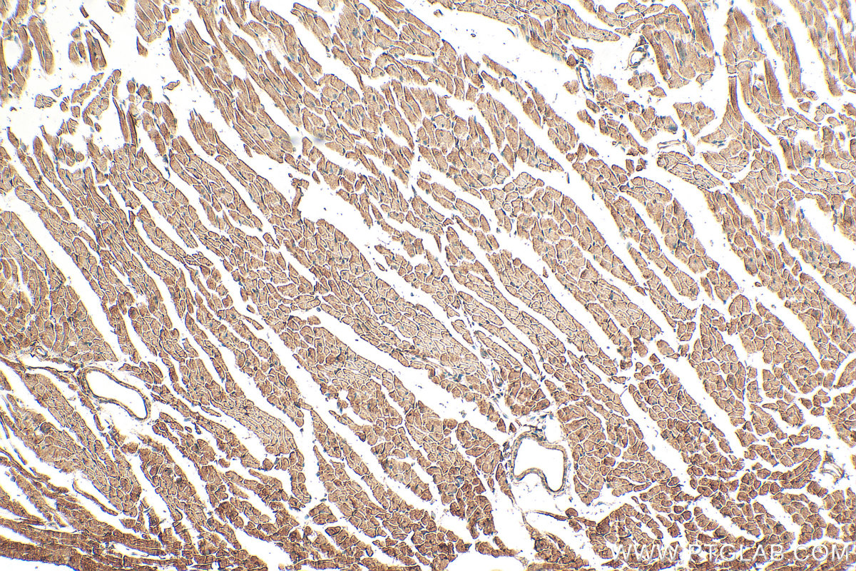
| Positive IHC detected in | mouse heart tissue Note: suggested antigen retrieval with TE buffer pH 9.0; (*) Alternatively, antigen retrieval may be performed with citrate buffer pH 6.0 |
推荐稀释比
| 应用 | 推荐稀释比 |
|---|---|
| Western Blot (WB) | WB : 1:500-1:2000 |
| Immunohistochemistry (IHC) | IHC : 1:50-1:500 |
| It is recommended that this reagent should be titrated in each testing system to obtain optimal results. | |
| Sample-dependent, Check data in validation data gallery. | |
发表文章中的应用
| WB | See 1 publications below |
产品信息
13620-1-AP targets ST3GAL2 in WB, IHC, ELISA applications and shows reactivity with human, mouse, rat samples.
| 经测试应用 | WB, IHC, ELISA Application Description |
| 文献引用应用 | WB |
| 经测试反应性 | human, mouse, rat |
| 文献引用反应性 | human, mouse |
| 免疫原 |
CatNo: Ag4528 Product name: Recombinant human ST3GAL2 protein Source: e coli.-derived, PGEX-4T Tag: GST Domain: 27-210 aa of BC036777 Sequence: SHHSMATLPYLDSGALDGTHRVKLVPGYAGLQRLSKERLSGKSCACRRCMGDAGASDWFDSHFDGNISPVWTRENMDLPPDVQRWWMMLQPQFKSHNTNEVLEKLFQIVPGENPYRFRDPHQCRRCAVVGNSGNLRGSGYGQDVDGHNFIMRMNQAPTVGFEQDVGSRTTHHFMYPESAKNLPA 种属同源性预测 |
| 宿主/亚型 | Rabbit / IgG |
| 抗体类别 | Polyclonal |
| 产品类型 | Antibody |
| 全称 | ST3 beta-galactoside alpha-2,3-sialyltransferase 2 |
| 别名 | Alpha 2,3-ST 2, Beta-galactoside alpha-2,3-sialyltransferase 2, CMP-N-acetylneuraminate-beta-galactosamide-alpha-2,3-sialyltransferase 2, EC:2.4.3.2, EC:2.4.3.4 |
| 计算分子量 | 350 aa, 40 kDa |
| 观测分子量 | 40-43 kDa |
| GenBank蛋白编号 | BC036777 |
| 基因名称 | ST3GAL2 |
| Gene ID (NCBI) | 6483 |
| RRID | AB_2286561 |
| 偶联类型 | Unconjugated |
| 形式 | Liquid |
| 纯化方式 | Antigen affinity purification |
| UNIPROT ID | Q16842 |
| 储存缓冲液 | PBS with 0.02% sodium azide and 50% glycerol, pH 7.3. |
| 储存条件 | Store at -20°C. Stable for one year after shipment. Aliquoting is unnecessary for -20oC storage. |
背景介绍
Beta-galactoside alpha-2,3-sialyltransferase 2 (ST3GAL2) is a sialyltransferase (ST) that transfers sialic acid from the activated donor CMP-sialic acid to the glycan terminus of a glycolipid or glycoprotein. ST3GAL2 contains two putative N-glycosylation sites (Asn92 and Asn211), which are mainly responsible for GD1a and GT1b ganglioside biosynthesis in the brain. ST3GAL2 belongs to the sialyltransferase family, which mediates the terminal modification of glycoproteins and glycolipids. ST3GAL2 has been found to play a role in obesity, aging, and malignant diseases (PMID: 34319453). The calculated molecular weight of ST3GAL2 is 40 kDa.
实验方案
| Product Specific Protocols | |
|---|---|
| IHC protocol for ST3GAL2 antibody 13620-1-AP | Download protocol |
| WB protocol for ST3GAL2 antibody 13620-1-AP | Download protocol |
| Standard Protocols | |
|---|---|
| Click here to view our Standard Protocols |





