验证数据展示
经过测试的应用
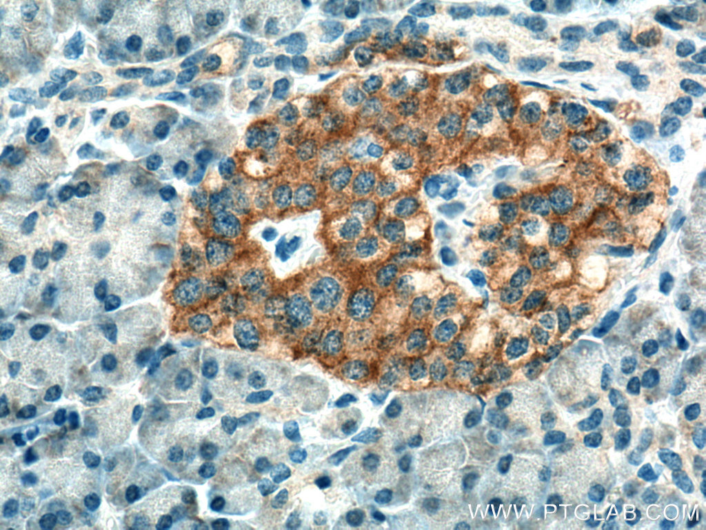
| Positive IHC detected in | mouse pancreas tissue, human pancreas tissue, human kidney tissue, mouse stomach tissue Note: suggested antigen retrieval with TE buffer pH 9.0; (*) Alternatively, antigen retrieval may be performed with citrate buffer pH 6.0 |
| Positive IF/ICC detected in | Neuro-2a cells |
推荐稀释比
| 应用 | 推荐稀释比 |
|---|---|
| Immunohistochemistry (IHC) | IHC : 1:200-1:800 |
| Immunofluorescence (IF)/ICC | IF/ICC : 1:200-1:800 |
| It is recommended that this reagent should be titrated in each testing system to obtain optimal results. | |
| Sample-dependent, Check data in validation data gallery. | |
发表文章中的应用
| IHC | See 2 publications below |
| IF | See 1 publications below |
产品信息
20404-1-AP targets SSTR2 in IHC, IF/ICC, ELISA applications and shows reactivity with human, mouse samples.
| 经测试应用 | IHC, IF/ICC, ELISA Application Description |
| 文献引用应用 | IHC, IF |
| 经测试反应性 | human, mouse |
| 文献引用反应性 | human, mouse |
| 免疫原 |
CatNo: Ag14205 Product name: Recombinant human SSTR2 protein Source: e coli.-derived, PGEX-4T Tag: GST Domain: 1-60 aa of BC019610 Sequence: MDMADEPLNGSHTWLSIPFDLNGSVVSTNTSNQTEPYYDLTSNAVLTFIYFVVCIIGLCG 种属同源性预测 |
| 宿主/亚型 | Rabbit / IgG |
| 抗体类别 | Polyclonal |
| 产品类型 | Antibody |
| 全称 | somatostatin receptor 2 |
| 别名 | somatostatin receptor 2, Somatostatin receptor type 2, SRIF 1, SRIF-1, SS 2 R |
| 计算分子量 | 369 aa, 41 kDa |
| GenBank蛋白编号 | BC019610 |
| 基因名称 | SSTR2 |
| Gene ID (NCBI) | 6752 |
| RRID | AB_2878683 |
| 偶联类型 | Unconjugated |
| 形式 | Liquid |
| 纯化方式 | Antigen affinity purification |
| UNIPROT ID | P30874 |
| 储存缓冲液 | PBS with 0.02% sodium azide and 50% glycerol, pH 7.3. |
| 储存条件 | Store at -20°C. Stable for one year after shipment. Aliquoting is unnecessary for -20oC storage. |
背景介绍
Somatostatin receptor 2 (SSTR2) is a G-protein coupled membrane receptor expressed in a variety of neural and neurosecretory tissue types. In neuroendocrine tumors (NETs), in which Somatostatin receptors (SSTRs) are commonly expressed, the detection of SSTR2 expression has both diagnostic and therapeutic potential. Besides NETs, SSTR2 immunostaining can be detected in other types of tumor cells(PMID:34786053). Moreover, SSTR2 is consistently expressed in Olfactory neuroblastoma (ONB) suggesting a role for somatostatin-analog based imaging and therapy in this disease. More generally, SSTR2 may be another marker of neuroendocrine diferentiation in ONB(PMID:33929681). SSTR2 has 2 isoforms with the MW of 40-41 kDa.
实验方案
| Product Specific Protocols | |
|---|---|
| IF protocol for SSTR2 antibody 20404-1-AP | Download protocol |
| IHC protocol for SSTR2 antibody 20404-1-AP | Download protocol |
| Standard Protocols | |
|---|---|
| Click here to view our Standard Protocols |
发表文章
| Species | Application | Title |
|---|---|---|
Appl Radiat Isot Autoradiography on deparaffinized tissue sections - A feasibility study with 68Ga-labeled PET-tracers | ||
Acta Neuropathol Commun Abnormal accumulation of extracellular vesicles in hippocampal dystrophic axons and regulation by the primary cilia in Alzheimer's disease | ||
Front Med (Lausanne) Synchronous neuroendocrine tumor and signet ring cell carcinoma in the stomach: a case report and review of literature |





