验证数据展示
经过测试的应用
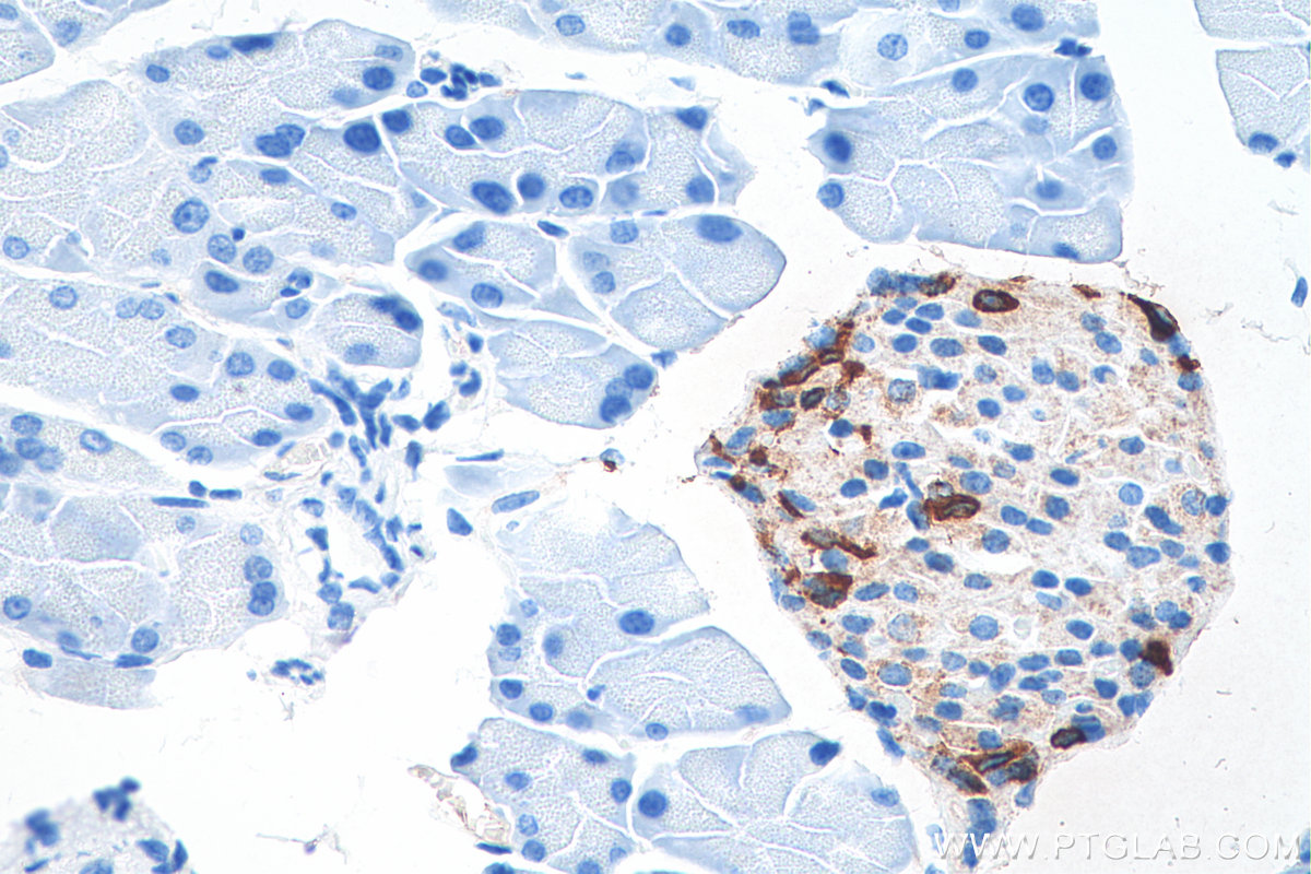
| Positive IHC detected in | mouse pancreas tissue, human pancreas cancer tissue,  mouse brain tissue,  rat dorsal root ganglion tissue Note: suggested antigen retrieval with TE buffer pH 9.0; (*) Alternatively, antigen retrieval may be performed with citrate buffer pH 6.0 | 
| Positive IF-P detected in | human pancreas tissue, mouse pancreas tissue, mouse brain tissue | 
推荐稀释比
| 应用 | 推荐稀释比 | 
|---|---|
| Immunohistochemistry (IHC) | IHC : 1:6400-1:25600 | 
| Immunofluorescence (IF)-P | IF-P : 1:50-1:500 | 
| It is recommended that this reagent should be titrated in each testing system to obtain optimal results. | |
| Sample-dependent, Check data in validation data gallery. | |
发表文章中的应用
| IHC | See 1 publications below | 
| IF | See 5 publications below | 
产品信息
17512-1-AP targets Somatostatin (64-81aa) in IHC, IF-P, ELISA applications and shows reactivity with human, mouse samples.
| 经测试应用 | IHC, IF-P, ELISA Application Description | 
| 文献引用应用 | IHC, IF | 
| 经测试反应性 | human, mouse | 
| 文献引用反应性 | human, mouse, rat | 
| 免疫原 | Peptide种属同源性预测 | 
| 宿主/亚型 | Rabbit / IgG | 
| 抗体类别 | Polyclonal | 
| 产品类型 | Antibody | 
| 全称 | somatostatin | 
| 别名 | SST, somatostatin, SST, somatostatin, SMST, Growth hormone release-inhibiting factor | 
| 计算分子量 | 13 kDa | 
| GenBank蛋白编号 | NM_001048 | 
| 基因名称 | Somatostatin | 
| Gene ID (NCBI) | 6750 | 
| RRID | AB_2195910 | 
| 偶联类型 | Unconjugated | 
| 形式 | Liquid | 
| 纯化方式 | Antigen affinity purification | 
| UNIPROT ID | P61278 | 
| 储存缓冲液 | PBS with 0.02% sodium azide and 50% glycerol, pH 7.3. | 
| 储存条件 | Store at -20°C. Stable for one year after shipment. Aliquoting is unnecessary for -20oC storage. | 
背景介绍
Somatostatin is a peptide hormone that regulates the endocrine system and affects neurotransmission and cell proliferation via interaction with G protein-coupled somatostatin receptors and inhibition of the release of numerous secondary hormones. Somatostatin is a useful marker of D-cells of pancreatic islet cells. Somatostatin inhibits ins and glucagon secretion. Somatostatin has two active forms produced by alternative cleavage of a single preproprotein: one of 14 amino acids, the other of 28 amino acids. This antibody can recognize the full length and propeptide of Somatostatin.
实验方案
| Product Specific Protocols | |
|---|---|
| IF protocol for Somatostatin (64-81aa) antibody 17512-1-AP | Download protocol | 
| IHC protocol for Somatostatin (64-81aa) antibody 17512-1-AP | Download protocol | 
| Standard Protocols | |
|---|---|
| Click here to view our Standard Protocols | 
发表文章
| Species | Application | Title | 
|---|---|---|
| Adv Mater Noninvasive Optogenetics Realized by iPSC-Derived Tentacled Carrier in Alzheimer's Disease Treatment | ||
| Life Sci Alliance ciBAR1 loss in mice causes laterality defects, pancreatic degeneration, and altered glucose tolerance | ||
| G3 (Bethesda) Deficiency of intellectual disability-related gene Brpf1 reduced inhibitory neurotransmission in MGE-derived GABAergic interneurons. | ||
| Cell Death Dis Inhibition of Notch activity promotes pancreatic cytokeratin 5-positive cell differentiation to beta cells and improves glucose homeostasis following acute pancreatitis. | 
















