验证数据展示
经过测试的应用
| Positive WB detected in | mouse brain tissue, rat brain tissue |
| Positive IP detected in | mouse brain tissue |
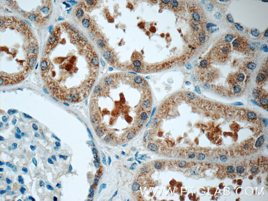
| Positive IHC detected in | human kidney tissue, human heart tissue Note: suggested antigen retrieval with TE buffer pH 9.0; (*) Alternatively, antigen retrieval may be performed with citrate buffer pH 6.0 |
推荐稀释比
| 应用 | 推荐稀释比 |
|---|---|
| Western Blot (WB) | WB : 1:500-1:2000 |
| Immunoprecipitation (IP) | IP : 0.5-4.0 ug for 1.0-3.0 mg of total protein lysate |
| Immunohistochemistry (IHC) | IHC : 1:20-1:200 |
| It is recommended that this reagent should be titrated in each testing system to obtain optimal results. | |
| Sample-dependent, Check data in validation data gallery. | |
发表文章中的应用
| WB | See 3 publications below |
产品信息
17955-1-AP targets SRR in WB, IHC, IP, ELISA applications and shows reactivity with human, mouse, rat samples.
| 经测试应用 | WB, IP, IHC, ELISA Application Description |
| 文献引用应用 | WB |
| 经测试反应性 | human, mouse, rat |
| 文献引用反应性 | mouse |
| 免疫原 |
CatNo: Ag12449 Product name: Recombinant human SRR protein Source: e coli.-derived, PGEX-4T Tag: GST Domain: 1-340 aa of BC074728 Sequence: MCAQYCISFADVEKAHINIRDSIHLTPVLTSSILNQLTGRNLFFKCELFQKTGSFKIRGALNAVRSLVPDALERKPKAVVTHSSGNHGQALTYAAKLEGIPAYIVVPQTAPDCKKLAIQAYGASIVYCEPSDESRENVAKRVTEETEGIMVHPNQEPAVIAGQGTIALEVLNQVPLVDALVVPVGGGGMLAGIAITVKALKPSVKVYAAEPSNADDCYQSKLKGKLMPNLYPPETIADGVKSSIGLNTWPIIRDLVDDIFTVTEDEIKCATQLVWERMKLLIEPTAGVGVAAVLSQHFQTVSPEVKNICIVLSGGNVDLTSSITWVKQAERPASYQSVSV 种属同源性预测 |
| 宿主/亚型 | Rabbit / IgG |
| 抗体类别 | Polyclonal |
| 产品类型 | Antibody |
| 全称 | serine racemase |
| 别名 | ILV1, ISO1, serine racemase, SRR |
| 计算分子量 | 340 aa, 37 kDa |
| 观测分子量 | 37 kDa |
| GenBank蛋白编号 | BC074728 |
| 基因名称 | SRR |
| Gene ID (NCBI) | 63826 |
| RRID | AB_2878471 |
| 偶联类型 | Unconjugated |
| 形式 | Liquid |
| 纯化方式 | Antigen affinity purification |
| UNIPROT ID | Q9GZT4 |
| 储存缓冲液 | PBS with 0.02% sodium azide and 50% glycerol, pH 7.3. |
| 储存条件 | Store at -20°C. Stable for one year after shipment. Aliquoting is unnecessary for -20oC storage. |
背景介绍
SRR(serine racemase) is a 37 kDa protein and belongs to the serine/threonine dehydratase family. It plays a role in neuronal activity and a potential biological role in the regulation of N-methyl-D-aspartate (NMDA) receptor activity in these peripheral organs as well. SRR catalyzes the racemization between l- and d-serine.
实验方案
| Product Specific Protocols | |
|---|---|
| IHC protocol for SRR antibody 17955-1-AP | Download protocol |
| IP protocol for SRR antibody 17955-1-AP | Download protocol |
| WB protocol for SRR antibody 17955-1-AP | Download protocol |
| Standard Protocols | |
|---|---|
| Click here to view our Standard Protocols |
发表文章
| Species | Application | Title |
|---|---|---|
J Neurosci Selective ablation of Sod2 in astrocytes induces sex-specific effects on cognitive function, D-serine availability, and astrogliosis. | ||
Prog Neuropsychopharmacol Biol Psychiatry Probing cognitive flexibility in Shank2-deficient mice: Effects of D-cycloserine and NMDAR signaling hub dynamics | ||
J Orthop Translat Extracellular vesicles originating from induced pluripotent stem cell-derived chondrocytes facilitate the regeneration of osteoarthritic cartilage. |








