验证数据展示
产品信息
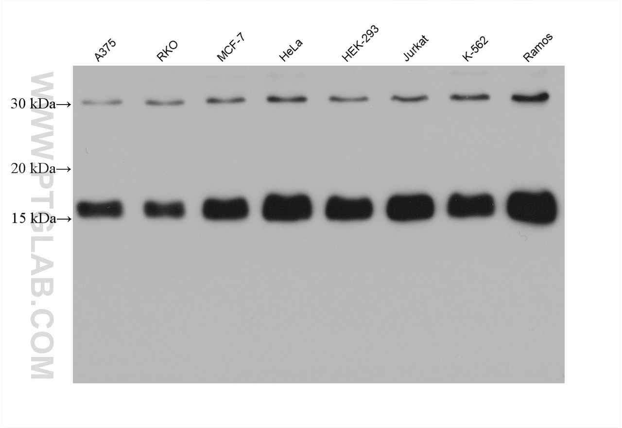
60904-1-PBS targets SRP19 in WB, Indirect ELISA applications and shows reactivity with human samples.
| 经测试应用 | WB, Indirect ELISA Application Description |
| 经测试反应性 | human |
| 免疫原 |
CatNo: Ag9303 Product name: Recombinant human SRP19 protein Source: e coli.-derived, PET28a Tag: 6*His Domain: 1-144 aa of BC010947 Sequence: MACTAARSPADQDRFICIYPAYLNNKKTIAEGRRIPISKAVENPTATEIQDVCSAVGLNVFLEKNKMYSREWNRDVQYRGRVRVQLKQEDGSLCLVQFPSRKSVMLYAAEMIPKLKTRTQKTGGADQSLQQGEGSKKGKGKKKK 种属同源性预测 |
| 宿主/亚型 | Mouse / IgG1 |
| 抗体类别 | Monoclonal |
| 产品类型 | Antibody |
| 全称 | signal recognition particle 19kDa |
| 别名 | Signal recognition particle 19 kDa protein, SRP 19 |
| 计算分子量 | 144 aa, 16 kDa |
| 观测分子量 | 15 kDa |
| GenBank蛋白编号 | BC010947 |
| 基因名称 | SRP19 |
| Gene ID (NCBI) | 6728 |
| 偶联类型 | Unconjugated |
| 形式 | Liquid |
| 纯化方式 | Protein G purification |
| UNIPROT ID | P09132 |
| 储存缓冲液 | PBS only, pH 7.3. |
| 储存条件 | Store at -80°C. The product is shipped with ice packs. Upon receipt, store it immediately at -80°C |
背景介绍
The signal recognition particle (SRP) is one of the few functional small RNP particles. The SRP couples the synthesis of membrane and secretory proteins across or into the endoplasmic reticulum (ER) membrane in eukaryotes, as well as across the bacterial plasma membrane, and chloroplast thylakoid membranes. The mammalian SRP is composed of a 7S (or 7SL) RNA and six different proteins, SRP9, SRP14, SRP19, SRP54, SRP68 and SRP72. All of the components of SRP, including SRP RNA, participate directly in the overall protein targeting process. SRP19 binds directly to 7S RNA and mediates binding of the 54 kDa subunit of the SRP. SRP19 was shown to significantly enhance SRP54 attachment to helix 8 of 7SL RNA.
