验证数据展示
经过测试的应用
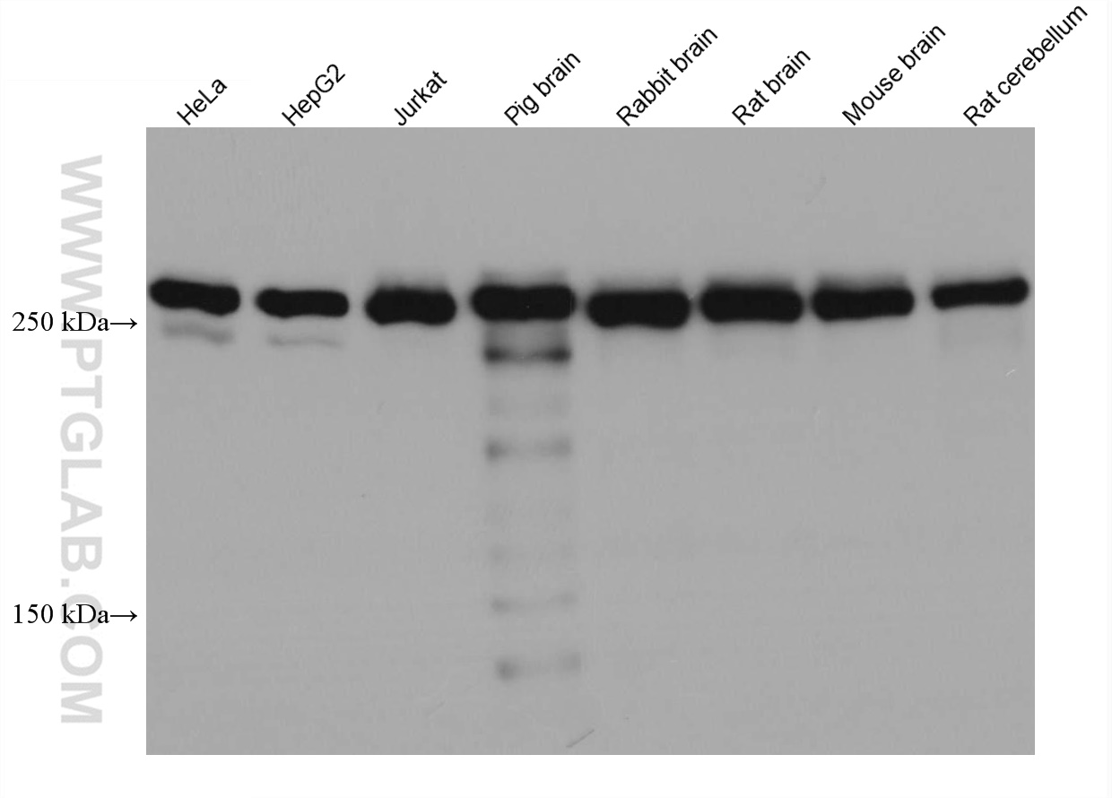
| Positive WB detected in | HeLa cells, mouse cerebellum tissue, HepG2 cells, Jurkat cells, pig brain, rabbit brain, rat brain, mouse brain, rat cerebellum |
| Positive IHC detected in | human liver cancer tissue Note: suggested antigen retrieval with TE buffer pH 9.0; (*) Alternatively, antigen retrieval may be performed with citrate buffer pH 6.0 |
推荐稀释比
| 应用 | 推荐稀释比 |
|---|---|
| Western Blot (WB) | WB : 1:5000-1:50000 |
| Immunohistochemistry (IHC) | IHC : 1:500-1:2000 |
| It is recommended that this reagent should be titrated in each testing system to obtain optimal results. | |
| Sample-dependent, Check data in validation data gallery. | |
发表文章中的应用
| IHC | See 1 publications below |
产品信息
67978-1-Ig targets SPTBN1 in WB, IHC, ELISA applications and shows reactivity with Human, mouse, rat, rabbit, pig samples.
| 经测试应用 | WB, IHC, ELISA Application Description |
| 文献引用应用 | IHC |
| 经测试反应性 | Human, mouse, rat, rabbit, pig |
| 文献引用反应性 | human |
| 免疫原 |
CatNo: Ag31713 Product name: Recombinant human SPTBN1 protein Source: e coli.-derived, PET28a Tag: 6*His Domain: 633-820 aa of BC137282 Sequence: EMAEEEGWIREKEKILSSDDYGKDLTSVMRLLSKHRAFEDEMSGRSGHFEQAIKEGEDMIAEEHFGSEKIRERIIYIREQWANLEQLSAIRKKRLEEASLLHQFQADADDIDAWMLDILKIVSSSDVGHDEYSTQSLVKKHKDVAEEIANYRPTLDTLHEQASALPQEHAESPDVRGRLSGIEERYKE 种属同源性预测 |
| 宿主/亚型 | Mouse / IgG1 |
| 抗体类别 | Monoclonal |
| 产品类型 | Antibody |
| 全称 | spectrin, beta, non-erythrocytic 1 |
| 别名 | Beta II spectrin, betaSpII, ELF, Fodrin beta chain, Spectrin beta chain, brain 1, SPTB2, SPTBN1 |
| 计算分子量 | 2364 aa, 275 kDa |
| 观测分子量 | 250-275 kDa |
| GenBank蛋白编号 | BC137282 |
| 基因名称 | SPTBN1 |
| Gene ID (NCBI) | 6711 |
| RRID | AB_2918727 |
| 偶联类型 | Unconjugated |
| 形式 | Liquid |
| 纯化方式 | Protein G purification |
| UNIPROT ID | Q01082 |
| 储存缓冲液 | PBS with 0.02% sodium azide and 50% glycerol, pH 7.3. |
| 储存条件 | Store at -20°C. Aliquoting is unnecessary for -20oC storage. |
背景介绍
SPTBN1 is the non-erythrocytic form of β-spectrin or β-fodrin. Spectrins are members of the superfamily of F-actin cross linking proteins that are important as scaffolding proteins for protein sorting, cell adhesion, and migration. Reduced expression of SPTBN1 has been found to correlate with shorter survival of patients with hepatocellular cancer, pancreatic cancer and other malignancies of the gastrointestinal tract, suggesting tumor suppression ability of this protein.
实验方案
| Product Specific Protocols | |
|---|---|
| IHC protocol for SPTBN1 antibody 67978-1-Ig | Download protocol |
| WB protocol for SPTBN1 antibody 67978-1-Ig | Download protocol |
| Standard Protocols | |
|---|---|
| Click here to view our Standard Protocols |


