验证数据展示
经过测试的应用
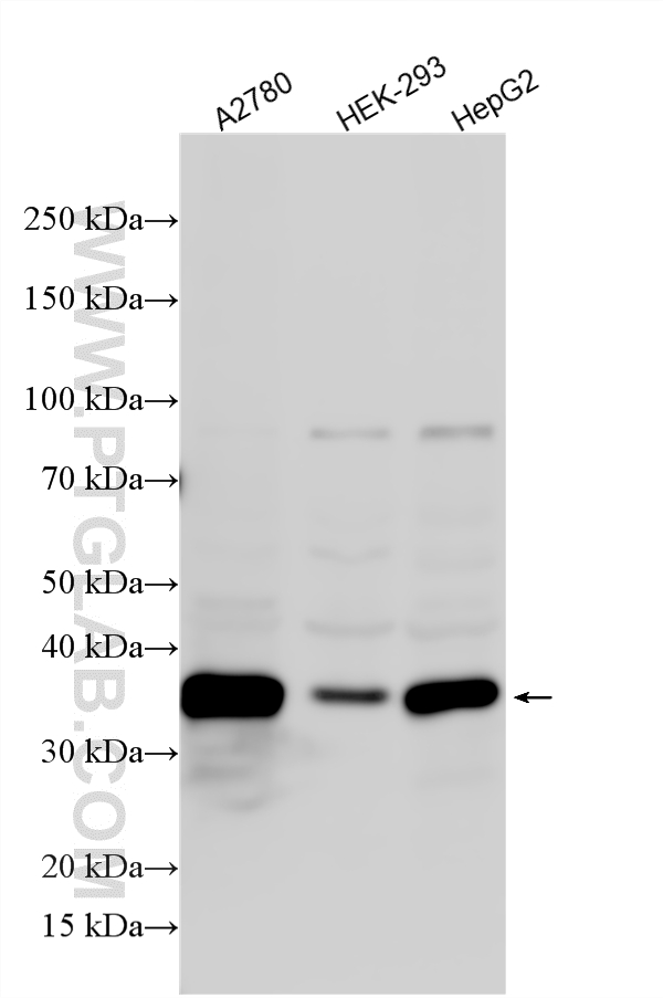
| Positive WB detected in | A2780 cells, HEK-293 cells, HepG2 cells, SKOV-3 cells |
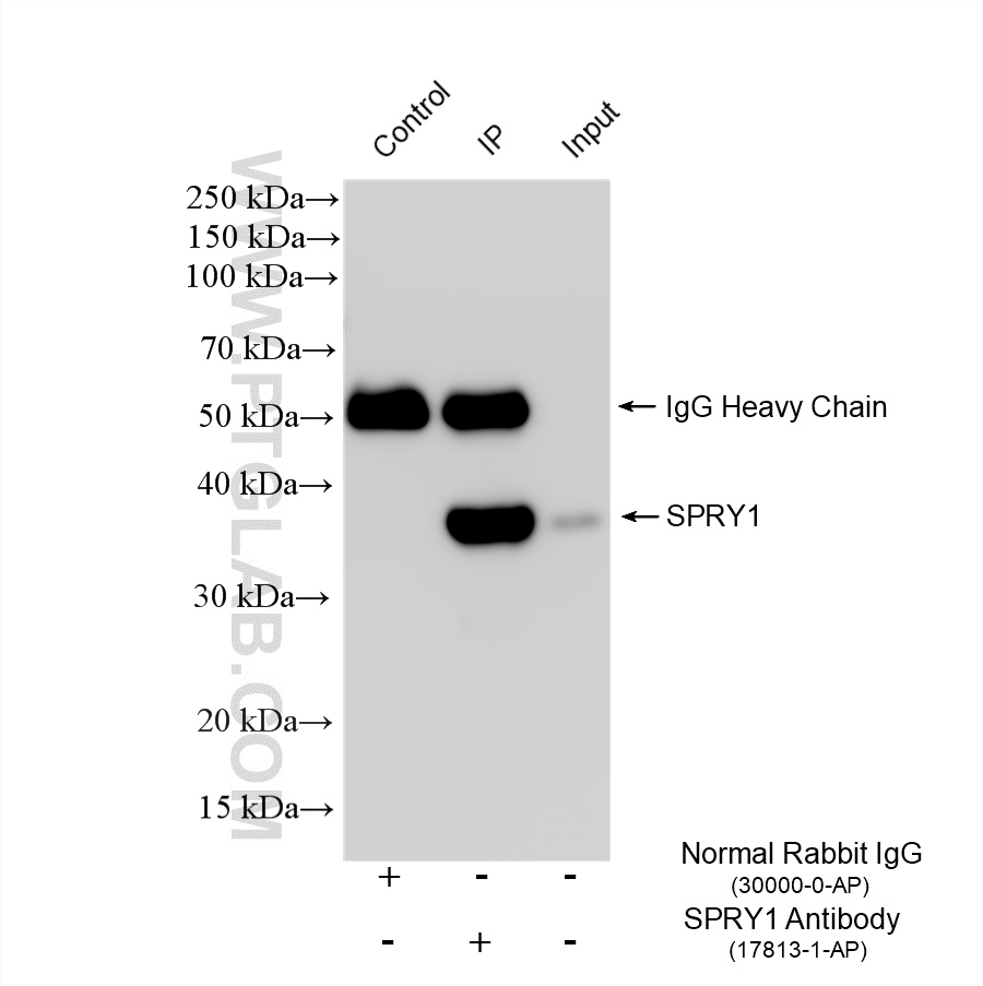
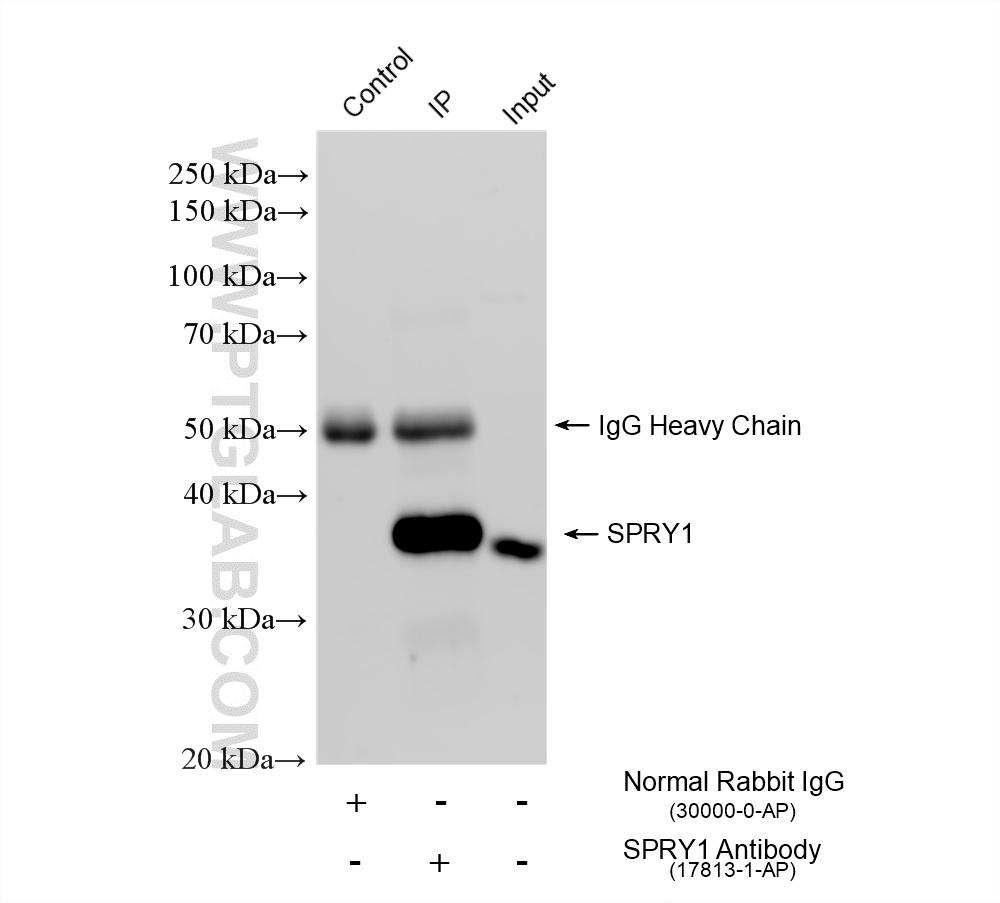
| Positive IP detected in | HT-29 cells, A2780 cells |
推荐稀释比
| 应用 | 推荐稀释比 |
|---|---|
| Western Blot (WB) | WB : 1:1000-1:8000 |
| Immunoprecipitation (IP) | IP : 0.5-4.0 ug for 1.0-3.0 mg of total protein lysate |
| It is recommended that this reagent should be titrated in each testing system to obtain optimal results. | |
| Sample-dependent, Check data in validation data gallery. | |
产品信息
17813-1-AP targets SPRY1 in WB, IP, ELISA applications and shows reactivity with human, mouse, rat samples.
| 经测试应用 | WB, IP, ELISA Application Description |
| 经测试反应性 | human, mouse, rat |
| 免疫原 |
CatNo: Ag12129 Product name: Recombinant human SPRY1 protein Source: e coli.-derived, PGEX-4T Tag: GST Domain: 1-319 aa of BC063856 Sequence: MDPQNQHGSGSSLVVIQQPSLDSRQRLDYEREIQPTAILSLDQIKAIRGSNEYTEGPSVVKRPAPRTAPRQEKHERTHEIIPINVNNNYEHRHTSHLGHAVLPSNARGPILSRSTSTGSAASSGSNSSASSEQGLLGRSPPTRPVPGHRSERAIRTQPKQLIVDDLKGSLKEDLTQHKFICEQCGKCKCGECTAPRTLPSCLACNRQCLCSAESMVEYGTCMCLVKGIFYHCSNDDEGDSYSDNPCSCSQSHCCSRYLCMGAMSLFLPCLLCYPPAKGCLKLCRRCYDWIHRPGCRCKNSNTVYCKLESCPSRGQGKPS 种属同源性预测 |
| 宿主/亚型 | Rabbit / IgG |
| 抗体类别 | Polyclonal |
| 产品类型 | Antibody |
| 全称 | sprouty homolog 1, antagonist of FGF signaling (Drosophila) |
| 别名 | hSPRY1, Protein sprouty homolog 1, Spry 1, Spry-1 |
| 计算分子量 | 319 aa, 35 kDa |
| 观测分子量 | 35 kDa |
| GenBank蛋白编号 | BC063856 |
| 基因名称 | SPRY1 |
| Gene ID (NCBI) | 10252 |
| 偶联类型 | Unconjugated |
| 形式 | Liquid |
| 纯化方式 | Antigen affinity purification |
| UNIPROT ID | O43609 |
| 储存缓冲液 | PBS with 0.02% sodium azide and 50% glycerol, pH 7.3. |
| 储存条件 | Store at -20°C. Stable for one year after shipment. Aliquoting is unnecessary for -20oC storage. |
背景介绍
Sprouty homolog 1 (SPRY1) belongs to the sprouty family. Spry-1 is a negative regulator of receptor tyrosine kinase signalling (PMID: 36543535). Spry1 and its related proteins have also been implicated as negative regulators of RhoA and its downstream effector Rho kinase through the non-canonical Wnt signaling (PMID: 19671746, PMID: 15184877). Sprouty-1 and Sprouty-2 proteins are expressed in early embryonic lung both in the epithelial cells of distal tubules and in peripheral mesenchymal cells (PMID: 22236546). Spry1 is a cytoplasmic protein that plays a critical role in kidney development and is primarily known to inhibit the Ras/MEK/ERK pathway (PMID: 21310958).
实验方案
| Product Specific Protocols | |
|---|---|
| IP protocol for SPRY1 antibody 17813-1-AP | Download protocol |
| WB protocol for SPRY1 antibody 17813-1-AP | Download protocol |
| Standard Protocols | |
|---|---|
| Click here to view our Standard Protocols |




