验证数据展示
经过测试的应用
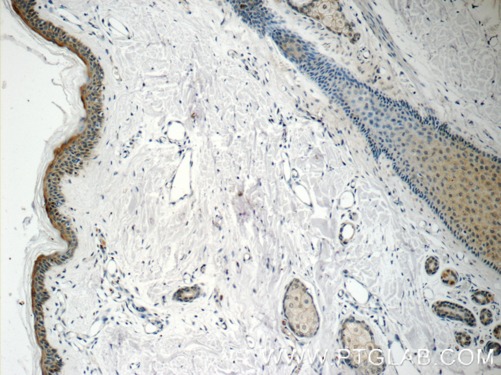
| Positive IHC detected in | human skin tissue Note: suggested antigen retrieval with TE buffer pH 9.0; (*) Alternatively, antigen retrieval may be performed with citrate buffer pH 6.0 |
推荐稀释比
| 应用 | 推荐稀释比 |
|---|---|
| Immunohistochemistry (IHC) | IHC : 1:20-1:200 |
| It is recommended that this reagent should be titrated in each testing system to obtain optimal results. | |
| Sample-dependent, Check data in validation data gallery. | |
发表文章中的应用
| WB | See 1 publications below |
| IHC | See 2 publications below |
产品信息
11959-1-AP targets SPRR1B in WB, IHC, ELISA applications and shows reactivity with human samples.
| 经测试应用 | IHC, ELISA Application Description |
| 文献引用应用 | WB, IHC |
| 经测试反应性 | human |
| 文献引用反应性 | human |
| 免疫原 |
CatNo: Ag2563 Product name: Recombinant human SPRR1B protein Source: e coli.-derived, PGEX-4T Tag: GST Domain: 1-89 aa of BC056240 Sequence: MSSQQQKQPCIPPPQLQQQQVKQPCQPPPQEPCIPKTKEPCHPKVPEPCHPKVPEPCQPKVPEPCHPKVPEPCPSIVTPAPAQQKTKQK 种属同源性预测 |
| 宿主/亚型 | Rabbit / IgG |
| 抗体类别 | Polyclonal |
| 产品类型 | Antibody |
| 全称 | small proline-rich protein 1B (cornifin) |
| 别名 | Cornifin-B, Small proline-rich protein IB, SPRIB, SPR-IB, SPRR1 |
| 计算分子量 | 89 aa, 10 kDa |
| GenBank蛋白编号 | BC056240 |
| 基因名称 | SPRR1B |
| Gene ID (NCBI) | 6699 |
| RRID | AB_2877807 |
| 偶联类型 | Unconjugated |
| 形式 | Liquid |
| 纯化方式 | Antigen affinity purification |
| UNIPROT ID | P22528 |
| 储存缓冲液 | PBS with 0.02% sodium azide and 50% glycerol, pH 7.3. |
| 储存条件 | Store at -20°C. Stable for one year after shipment. Aliquoting is unnecessary for -20oC storage. |
背景介绍
This protein functions as a component of the cross-linked envelope in squamous differentiating cells. It runs as a 15-kDa protein in unreducing SDS PAGE, whereas under reducing conditions it runs as 23 kDa one.
实验方案
| Product Specific Protocols | |
|---|---|
| IHC protocol for SPRR1B antibody 11959-1-AP | Download protocol |
| Standard Protocols | |
|---|---|
| Click here to view our Standard Protocols |
发表文章
| Species | Application | Title |
|---|---|---|
Cell Discov Single-cell atlas of keratoconus corneas revealed aberrant transcriptional signatures and implicated mechanical stretch as a trigger for keratoconus pathogenesis. | ||
Front Oncol Long Noncoding RNA HAGLROS Promotes the Malignant Progression of Bladder Cancer by Regulating the miR-330-5p/SPRR1B Axis. | ||
Adv Sci (Weinh) Real-Time Evolutionary Landscape of the Bronchial Epithelium and Corresponding Dynamic Immune Cell Alterations in Lung Squamous Cell Carcinogenesis | ||
Sci Adv Transcobalamin 1 is a keratinocyte-derived autoantigen driving psoriasis through T helper 17 cell activation. |



