验证数据展示
经过测试的应用
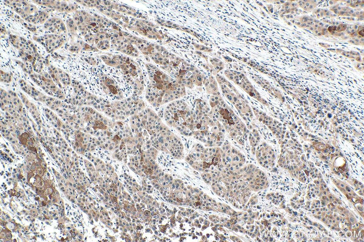
| Positive IHC detected in | human oesophagus cancer tissue Note: suggested antigen retrieval with TE buffer pH 9.0; (*) Alternatively, antigen retrieval may be performed with citrate buffer pH 6.0 |
推荐稀释比
| 应用 | 推荐稀释比 |
|---|---|
| Immunohistochemistry (IHC) | IHC : 1:200-1:800 |
| It is recommended that this reagent should be titrated in each testing system to obtain optimal results. | |
| Sample-dependent, Check data in validation data gallery. | |
产品信息
24680-1-AP targets SPRR1A in IHC, ELISA applications and shows reactivity with human samples.
| 经测试应用 | IHC, ELISA Application Description |
| 经测试反应性 | human |
| 免疫原 |
CatNo: Ag19280 Product name: Recombinant human SPRR1A protein Source: e coli.-derived, PET28a Tag: 6*His Domain: 1-89 aa of BC105081 Sequence: MNSQQQKQPCTPPPQPQQQQVKQPCQPPPQEPCIPKTKEPCQPKVPEPCHPKVPEPCQPKIPEPCQPKVPEPCPSTVTPAPAQQKTKQK 种属同源性预测 |
| 宿主/亚型 | Rabbit / IgG |
| 抗体类别 | Polyclonal |
| 产品类型 | Antibody |
| 全称 | small proline-rich protein 1A |
| 别名 | 19 kDa pancornulin, Cornifin A, small proline rich protein 1A, Small proline rich protein IA, SPR IA, SPRK, SPRR1A |
| 计算分子量 | 89 aa, 10 kDa |
| GenBank蛋白编号 | BC105081 |
| 基因名称 | SPRR1A |
| Gene ID (NCBI) | 6698 |
| RRID | AB_3669444 |
| 偶联类型 | Unconjugated |
| 形式 | Liquid |
| 纯化方式 | Antigen affinity purification |
| UNIPROT ID | P35321 |
| 储存缓冲液 | PBS with 0.02% sodium azide and 50% glycerol, pH 7.3. |
| 储存条件 | Store at -20°C. Stable for one year after shipment. Aliquoting is unnecessary for -20oC storage. |
实验方案
| Product Specific Protocols | |
|---|---|
| IHC protocol for SPRR1A antibody 24680-1-AP | Download protocol |
| Standard Protocols | |
|---|---|
| Click here to view our Standard Protocols |



