验证数据展示
经过测试的应用
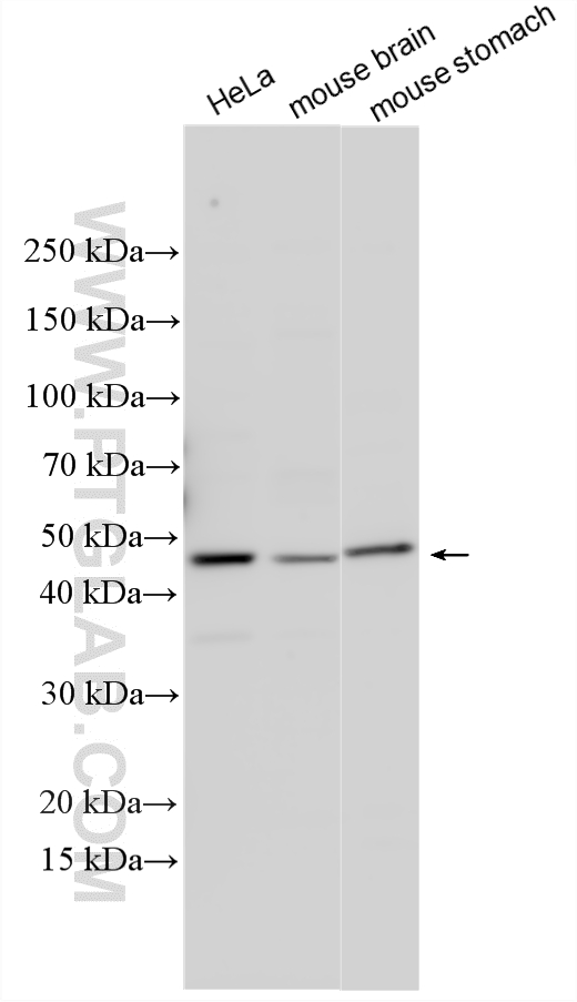
| Positive WB detected in | HeLa cells, PC-3 cells, DU 145 cells, mouse brain tissue, mouse stomach tissue |
| Positive IHC detected in | human prostate cancer tissue Note: suggested antigen retrieval with TE buffer pH 9.0; (*) Alternatively, antigen retrieval may be performed with citrate buffer pH 6.0 |
推荐稀释比
| 应用 | 推荐稀释比 |
|---|---|
| Western Blot (WB) | WB : 1:1000-1:4000 |
| Immunohistochemistry (IHC) | IHC : 1:400-1:1600 |
| It is recommended that this reagent should be titrated in each testing system to obtain optimal results. | |
| Sample-dependent, Check data in validation data gallery. | |
发表文章中的应用
| WB | See 1 publications below |
| IHC | See 2 publications below |
产品信息
28203-1-AP targets SPOCK1 in WB, IHC, ELISA applications and shows reactivity with human, mouse samples.
| 经测试应用 | WB, IHC, ELISA Application Description |
| 文献引用应用 | WB, IHC |
| 经测试反应性 | human, mouse |
| 文献引用反应性 | human |
| 免疫原 |
CatNo: Ag28213 Product name: Recombinant human SPOCK1 protein Source: e coli.-derived, PET28a Tag: 6*His Domain: 97-236 aa of BC030691 Sequence: CVTQDYQTALCVSRKHLLPRQKKGNVAQKHWVGPSNLVKCKPCPVAQSAMVCGSDGHSYTSKCKLEFHACSTGKSLATLCDGPCPCLPEPEPPKHKAERSACTDKELRNLASRLKDWFGALHEDANRVIKPTSSNTAQGR 种属同源性预测 |
| 宿主/亚型 | Rabbit / IgG |
| 抗体类别 | Polyclonal |
| 产品类型 | Antibody |
| 全称 | sparc/osteonectin, cwcv and kazal-like domains proteoglycan (testican) 1 |
| 别名 | Protein SPOCK, SPOCK, TESTICAN, Testican 1, Testican-1 |
| 计算分子量 | 439 aa, 49 kDa |
| 观测分子量 | 49 kDa |
| GenBank蛋白编号 | BC030691 |
| 基因名称 | SPOCK1 |
| Gene ID (NCBI) | 6695 |
| RRID | AB_3086036 |
| 偶联类型 | Unconjugated |
| 形式 | Liquid |
| 纯化方式 | Antigen affinity purification |
| UNIPROT ID | Q08629 |
| 储存缓冲液 | PBS with 0.02% sodium azide and 50% glycerol, pH 7.3. |
| 储存条件 | Store at -20°C. Stable for one year after shipment. Aliquoting is unnecessary for -20oC storage. |
实验方案
| Product Specific Protocols | |
|---|---|
| IHC protocol for SPOCK1 antibody 28203-1-AP | Download protocol |
| WB protocol for SPOCK1 antibody 28203-1-AP | Download protocol |
| Standard Protocols | |
|---|---|
| Click here to view our Standard Protocols |
发表文章
| Species | Application | Title |
|---|---|---|
Heliyon Extrachromosomal circular DNA-related SPOCK1 contributes to development and enzalutamide resistance of prostate cancer by regulating epithelial mesenchymal transition | ||
Int Immunopharmacol Shared chemoresistance genes in ESCC and cervical Cancer: Insights from pharmacogenomics and Mendelian randomization |



