SPIN1 Recombinant monoclonal antibody

SPIN1 Uni-rAb® Recombinant Antibody for WB, ELISA
Cat No. 86848-3-RR

产品说明书

CloneNo. 251836E2

宿主/亚型

Rabbit / IgG

种属反应性

human, mouse, rat

应用

WB, ELISA

OCR, Ovarian cancer-related protein, SPIN, SPIN 1, spindlin 1

缓冲液配方:  PBS, Azide, Glycerol
PBS, Azide, Glycerol
PBS Only
偶联物:  Unconjugated
Unconjugated
规格价格库存


经过测试的应用

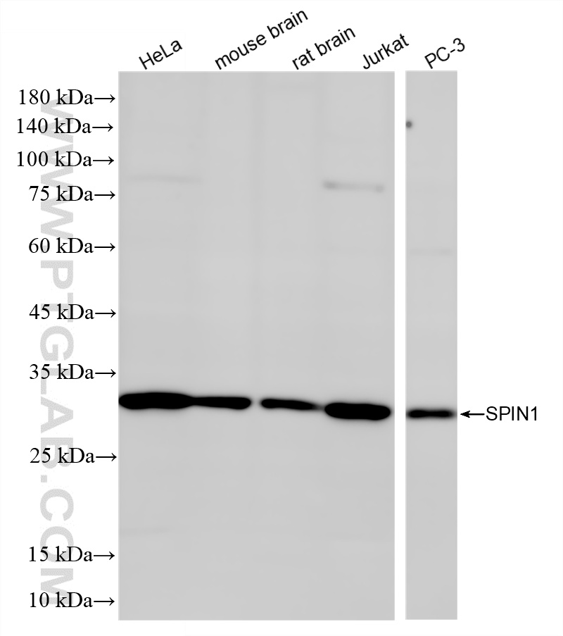
Positive WB detected inHeLa cells, PC-3 cells, mouse brain tissue, rat brain tissue, Jurkat cells

推荐稀释比

应用推荐稀释比
Western Blot (WB)WB : 1:2000-1:10000
It is recommended that this reagent should be titrated in each testing system to obtain optimal results.
Sample-dependent, Check data in validation data gallery.

产品信息

86848-3-RR targets SPIN1 in WB, ELISA applications and shows reactivity with human, mouse, rat samples.

经测试应用 WB, ELISA Application Description
经测试反应性 human, mouse, rat
免疫原

CatNo: Ag2750

Product name: Recombinant human SPIN1 protein

Source: e coli.-derived, PGEX-4T

Tag: GST

Domain: 1-262 aa of BC013571

Sequence: MKTPFGKTPGQRSRADAGHAGVSANMMKKRTSHKKHRSSVGPSKPVSQPRRNIVGCRIQHGWKEGNGPVTQWKGTVLDQVPVNPSLYLIKYDGFDCVYGLELNKDERVSALEVLPDRVATSRISDAHLADTMIGKAVEHMFETEDGSKDEWRGMVLARAPVMNTWFYITYEKDPVLYMYQLLDDYKEGDLRIMPDSNDSPPAEREPGEVVDSLVGKQVEYAKEDGSKRTGMVIHQVEAKPSVYFIKFDDDFHIYVYDLVKTS

种属同源性预测
宿主/亚型 Rabbit / IgG
抗体类别 Recombinant
产品类型 Antibody
全称 spindlin 1
别名 OCR, Ovarian cancer-related protein, SPIN, SPIN 1, spindlin 1
计算分子量 262 aa, 30 kDa
观测分子量 30 kDa
GenBank蛋白编号BC013571
基因名称 SPIN1
Gene ID (NCBI) 10927
偶联类型 Unconjugated
形式Liquid
纯化方式Protein A purification
UNIPROT IDQ9Y657
储存缓冲液 PBS with 0.02% sodium azide and 50% glycerol, pH 7.3.
储存条件Store at -20°C. Stable for one year after shipment. Aliquoting is unnecessary for -20oC storage.

背景介绍

SPIN1 (Spindlin 1) is a histone methylation reader, which recognizes trimethylated histone H3 lysine 4 through the protein-protein interaction. SPIN1 was initially found in ovarian cancer via searching ovarian cancer-related genes . It is overexpressed in ovarian cancer tissue, which exhibits a high homology to mouse Spin (Spindlin) gene. Signaling pathways responsible for SPIN1 functions include PI3K/Akt, Wnt and RET that are highly relevant to tumorigenesis.(PMID: 34492335, PMID: 31790762)

实验方案

Product Specific Protocols
WB protocol for SPIN1 antibody 86848-3-RRDownload protocol
Standard Protocols
Click here to view our Standard Protocols
Loading...
||
New chat

Able

正在加载,请稍候...