验证数据展示
经过测试的应用
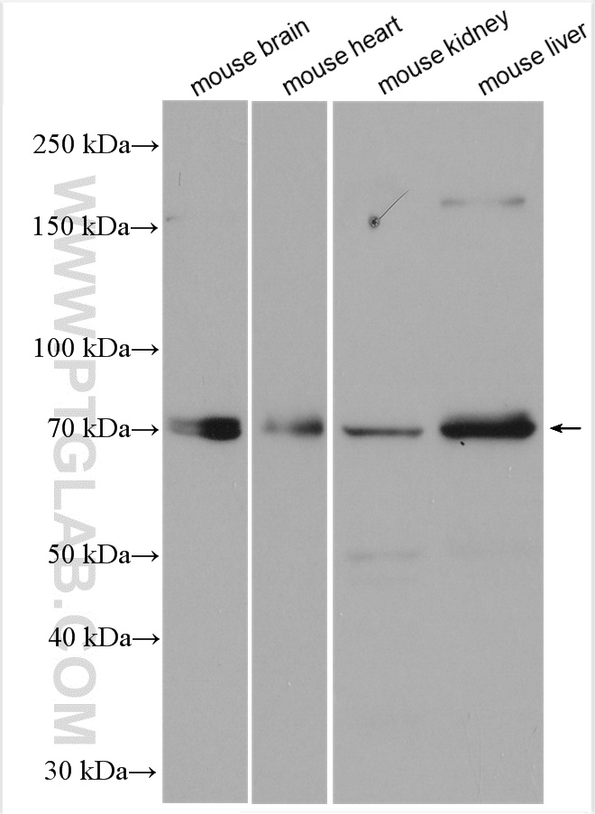
| Positive WB detected in | L02 cells, mouse brain tissue, human kidney tissue, A549 cells, mouse heart tissue, rat brain tissue, Raji cells, HCT 116 cells, mouse kidney tissue, mouse liver tissue |
| Positive IP detected in | mouse liver tissue |
| Positive IHC detected in | human breast cancer tissue, human kidney tissue, human liver tissue, mouse kidney tissue, rat kidney tissue, rat small intestine tissue Note: suggested antigen retrieval with TE buffer pH 9.0; (*) Alternatively, antigen retrieval may be performed with citrate buffer pH 6.0 |
| Positive IF/ICC detected in | HeLa cells |
| Positive FC (Intra) detected in | HeLa cells |
推荐稀释比
| 应用 | 推荐稀释比 |
|---|---|
| Western Blot (WB) | WB : 1:1000-1:6000 |
| Immunoprecipitation (IP) | IP : 0.5-4.0 ug for 1.0-3.0 mg of total protein lysate |
| Immunohistochemistry (IHC) | IHC : 1:50-1:500 |
| Immunofluorescence (IF)/ICC | IF/ICC : 1:50-1:500 |
| Flow Cytometry (FC) (INTRA) | FC (INTRA) : 0.40 ug per 10^6 cells in a 100 µl suspension |
| It is recommended that this reagent should be titrated in each testing system to obtain optimal results. | |
| Sample-dependent, Check data in validation data gallery. | |
产品信息
17096-1-AP targets SPHK2 in WB, IHC, IF/ICC, FC (Intra), IP, CoIP, ELISA applications and shows reactivity with human, mouse, rat samples.
| 经测试应用 | WB, IHC, IF/ICC, FC (Intra), IP, ELISA Application Description |
| 文献引用应用 | WB, IHC, IF, IP, CoIP |
| 经测试反应性 | human, mouse, rat |
| 文献引用反应性 | human, mouse, rat, zebrafish |
| 免疫原 |
CatNo: Ag10569 Product name: Recombinant human SPHK2 protein Source: e coli.-derived, PGEX-4T Tag: GST Domain: 266-618 aa of BC010671 Sequence: LNCSLLLCRGGGHPLDLLSVTLASGSRCFSFLSVAWGFVSDVDIQSERFRALGSARFTLGTVLGLATLHTYRGRLSYLPATVEPASPTPAHSLPRAKSELTLTPDPAPPMAHSPLHRSVSDLPLPLPQPALASPGSPEPLPILSLNGGGPELAGDWGGAGDAPLSPDPLLSSPPGSPKAALHSPVSEGAPVIPPSSGLPLPTPDARVGASTCGPPDHLLPPLGTPLPPDWVTLEGDFVLMLAISPSHLGADLVAAPHARFDDGLVHLCWVRSGISRAALLRLFLAMERGSHFSLGCPQLGYAAARAFRLEPLTPRGVLTVDGEQVEYGPLQAQMHPGIGTLLTGPPGCPGREP 种属同源性预测 |
| 宿主/亚型 | Rabbit / IgG |
| 抗体类别 | Polyclonal |
| 产品类型 | Antibody |
| 全称 | sphingosine kinase 2 |
| 别名 | EC:2.7.1.91, SK 2, SK-2, Sphingosine kinase 2, SPK 2 |
| 计算分子量 | 618 aa, 65 kDa |
| 观测分子量 | 65-70 kDa |
| GenBank蛋白编号 | BC010671 |
| 基因名称 | SPHK2 |
| Gene ID (NCBI) | 56848 |
| RRID | AB_10598479 |
| 偶联类型 | Unconjugated |
| 形式 | Liquid |
| 纯化方式 | Antigen affinity purification |
| UNIPROT ID | Q9NRA0 |
| 储存缓冲液 | PBS with 0.02% sodium azide and 50% glycerol, pH 7.3. |
| 储存条件 | Store at -20°C. Stable for one year after shipment. Aliquoting is unnecessary for -20oC storage. |
背景介绍
SPHK2(Sphingosine kinase 2) is also named as SK2, SPK2 and catalyzes the phosphorylation of sphingosine to form sphingosine 1-phosphate (SPP), a lipid mediator with both intra- and extracellular functions. SPHK2 associates with HDAC1 and HDAC2 in repressor complexes and is selectively enriched at the promoters of the genes encoding the cyclin-dependent kinase inhibitor p21 or the transcriptional regulator c-fos, where it enhanced local histone H3 acetylation and transcription.SphK2 is a ~66kDa protein that is most abundantly expressed in the liver and heart(PMID:19168577). SphK2 has two splice variants, which are the 68-kDa SphK2-S and the NH2-terminal extended 72-kDa SphK2-L (PMID:17974990).
实验方案
| Product Specific Protocols | |
|---|---|
| FC protocol for SPHK2 antibody 17096-1-AP | Download protocol |
| IF protocol for SPHK2 antibody 17096-1-AP | Download protocol |
| IHC protocol for SPHK2 antibody 17096-1-AP | Download protocol |
| IP protocol for SPHK2 antibody 17096-1-AP | Download protocol |
| WB protocol for SPHK2 antibody 17096-1-AP | Download protocol |
| Standard Protocols | |
|---|---|
| Click here to view our Standard Protocols |
发表文章
| Species | Application | Title |
|---|---|---|
Circ Res Altered Smooth Muscle Cell Histone Acetylome by the SPHK2/S1P Axis Promotes Pulmonary Hypertension | ||
Blood Targeting sphingosine kinase 1 induces MCL1 dependent cell death in acute myeloid leukemia. | ||
Bioact Mater Injectable cartilage matrix hydrogel loaded with cartilage endplate stem cells engineered to release exosomes for non-invasive treatment of intervertebral disc degeneration. | ||
Oncogene Cytoplasmic dynein regulates the subcellular localization of sphingosine kinase 2 to elicit tumor-suppressive functions in glioblastoma. | ||
PLoS Pathog Sphingosine kinase 1/S1P receptor signaling axis is essential for cellular uptake of Neisseria meningitidis in brain endothelial cells |

















