验证数据展示
经过测试的应用
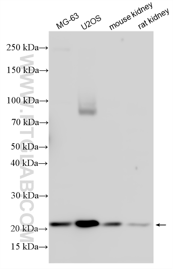
| Positive WB detected in | HeLa cells, MG-63 cells, U2OS cells, mouse kidney tissue, mouse liver tissue, rat kidney tissue |
| Positive IHC detected in | human placenta tissue, rat liver tissue Note: suggested antigen retrieval with TE buffer pH 9.0; (*) Alternatively, antigen retrieval may be performed with citrate buffer pH 6.0 |
推荐稀释比
| 应用 | 推荐稀释比 |
|---|---|
| Western Blot (WB) | WB : 1:1000-1:4000 |
| Immunohistochemistry (IHC) | IHC : 1:50-1:500 |
| It is recommended that this reagent should be titrated in each testing system to obtain optimal results. | |
| Sample-dependent, Check data in validation data gallery. | |
产品信息
17640-1-AP targets SPCS3 in WB, IHC, ELISA applications and shows reactivity with human, mouse, rat samples.
| 经测试应用 | WB, IHC, ELISA Application Description |
| 经测试反应性 | human, mouse, rat |
| 免疫原 |
CatNo: Ag11780 Product name: Recombinant human SPCS3 protein Source: e coli.-derived, PGEX-4T Tag: GST Domain: 1-180 aa of BC047290 Sequence: MNTVLSRANSLFAFSLSVMAALTFGCFITTAFKDRSVPVRLHVSRIMLKNVEDFTGPRERSDLGFITFDITADLENIFDWNVKQLFLYLSAEYSTKNNALNQVVLWDKIVLRGDNPKLLLKDMKTKYFFFDDGNGLKGNRNVTLTLSWNVVPNAGILPLVTGSGHVSVPFPDTYEITKSY 种属同源性预测 |
| 宿主/亚型 | Rabbit / IgG |
| 抗体类别 | Polyclonal |
| 产品类型 | Antibody |
| 全称 | signal peptidase complex subunit 3 homolog (S. cerevisiae) |
| 别名 | PRO3567, SPase 22/23 kDa subunit, SPC22, SPC22/23, SPC3 |
| 计算分子量 | 180 aa, 20 kDa |
| 观测分子量 | 23 kDa |
| GenBank蛋白编号 | BC047290 |
| 基因名称 | SPCS3 |
| Gene ID (NCBI) | 60559 |
| RRID | AB_3669279 |
| 偶联类型 | Unconjugated |
| 形式 | Liquid |
| 纯化方式 | Antigen affinity purification |
| UNIPROT ID | P61009 |
| 储存缓冲液 | PBS with 0.02% sodium azide and 50% glycerol, pH 7.3. |
| 储存条件 | Store at -20°C. Stable for one year after shipment. Aliquoting is unnecessary for -20oC storage. |
背景介绍
The microsomal signal peptidase complex (SPC), which is an essential membrane component in the endoplasmic reticulum (ER), has five subunits, including SEC11A, SEC11C, SPCS1, SPCS2, and SPCS3. Functionally, SPC removes signal peptides (SPs) from a series of secretory pre-proteins with high specificity. The dysregulation of the other SPC subunits was also observed in some tumors. SPCS3 expression can be used as a component of a risk score model to predict the survival of patients with pancreatic adenocarcinoma. (PMID: 35653344)
实验方案
| Product Specific Protocols | |
|---|---|
| IHC protocol for SPCS3 antibody 17640-1-AP | Download protocol |
| WB protocol for SPCS3 antibody 17640-1-AP | Download protocol |
| Standard Protocols | |
|---|---|
| Click here to view our Standard Protocols |



