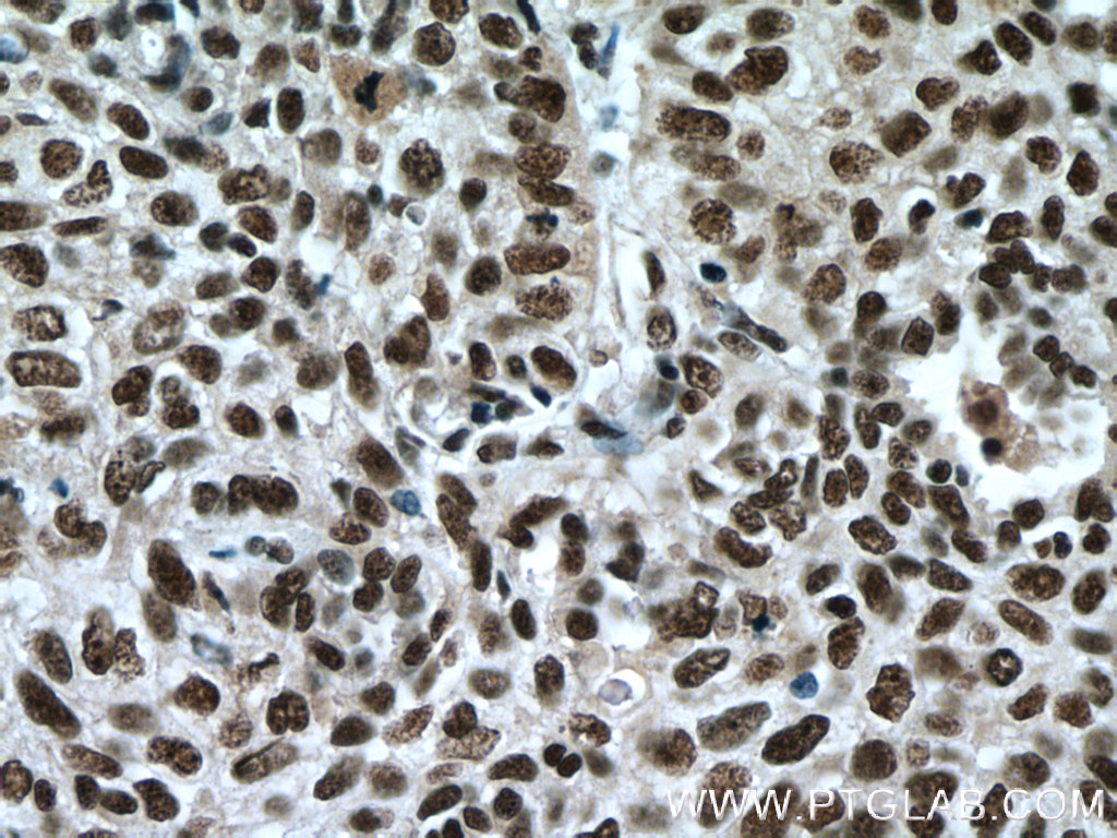
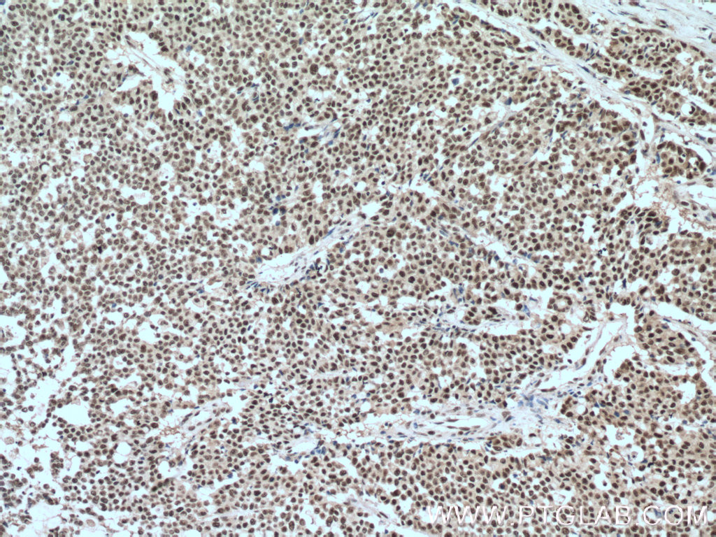
验证数据展示
产品信息
66508-1-PBS targets SP1 in WB, IHC, IF/ICC, IF-P, FC (Intra), ELISA applications and shows reactivity with human, mouse, rat samples.
| 经测试应用 | WB, IHC, IF/ICC, IF-P, FC (Intra), ELISA Application Description |
| 经测试反应性 | human, mouse, rat |
| 免疫原 |
CatNo: Ag16720 Product name: Recombinant human SP1 protein Source: e coli.-derived, PGEX-4T Tag: GST Domain: 437-785 aa of BC062539 Sequence: NLQLQAVPNSGPIIIRTPTVGPNGQVSWQTLQLQNLQVQNPQAQTITLAPMQGVSLGQTSSSNTTLTPIASAASIPAGTVTVNAAQLSSMPGLQTINLSALGTSGIQVHPIQGLPLAIANAPGDHGAQLGLHGAGGDGIHDDTAGGEEGENSPDAQPQAGRRTRREACTCPYCKDSEGRGSGDPGKKKQHICHIQGCGKVYGKTSHLRAHLRWHTGERPFMCTWSYCGKRFTRSDELQRHKRTHTGEKKFACPECPKRFMRSDHLSKHIKTHQNKKGGPGVALSVGTLPLDSGAGSEGSGTATPSALITTNMVAMEAICPEGIARLANSGINVMQVADLQSINISGNGF 种属同源性预测 |
| 宿主/亚型 | Mouse / IgG1 |
| 抗体类别 | Monoclonal |
| 产品类型 | Antibody |
| 全称 | Sp1 transcription factor |
| 别名 | 4G3H3, SP 1, Sp1 transcription factor, Specificity protein 1, TSFP1 |
| 计算分子量 | 785 aa, 81 kDa |
| 观测分子量 | 95-105 kDa, 60-65 kDa |
| GenBank蛋白编号 | BC062539 |
| 基因名称 | SP1 |
| Gene ID (NCBI) | 6667 |
| ENSEMBL Gene ID | ENSG00000185591 |
| RRID | AB_2881871 |
| 偶联类型 | Unconjugated |
| 形式 | Liquid |
| 纯化方式 | Protein G purification |
| UNIPROT ID | P08047 |
| 储存缓冲液 | PBS only, pH 7.3. |
| 储存条件 | Store at -80°C. The product is shipped with ice packs. Upon receipt, store it immediately at -80°C |
背景介绍
The transcription factor Sp1 is a C2H2 zinc-finger protein that is involved in the regulation of a wide variety of genes, including housekeeping genes and tumor-developing genes. It is associated with tumor development, growth, and metastasis [PMID: 16209919]. It regulates the expression of a large number of genes involved in a variety of processes such as cell growth, apoptosis, differentiation and immune responses. Besides, it has a role in modulating the cellular response to DNA damage, recruiting SMARCA4/BRG1 on the c-FOS promoter, regulation of FE65 gene expression [PMID:11371615,16332679]. SP1 has some isoforms with MW ~95-106 kDa and ~60 kDa [PMID:17462816].








