验证数据展示
经过测试的应用
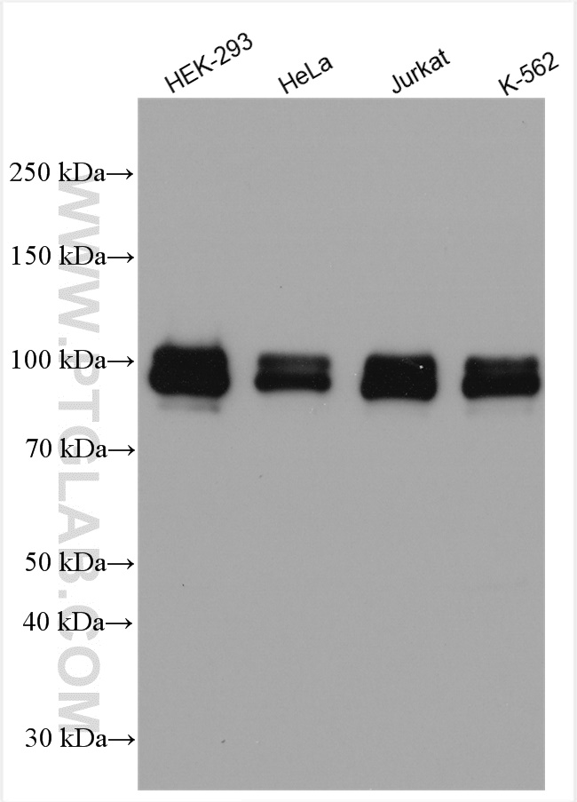
| Positive WB detected in | Jurkat cells, A431 cells, HEK-293 cells, HeLa cells, K-562 cells |
| Positive IP detected in | A431 cells |
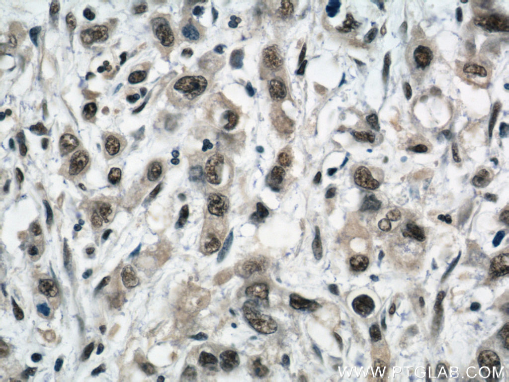
| Positive IHC detected in | human lung cancer tissue, human colon tissue, human stomach cancer tissue Note: suggested antigen retrieval with TE buffer pH 9.0; (*) Alternatively, antigen retrieval may be performed with citrate buffer pH 6.0 |
| Positive IF/ICC detected in | HeLa cells |
| Positive FC (Intra) detected in | HeLa cells |
推荐稀释比
| 应用 | 推荐稀释比 |
|---|---|
| Western Blot (WB) | WB : 1:2000-1:16000 |
| Immunoprecipitation (IP) | IP : 0.5-4.0 ug for 1.0-3.0 mg of total protein lysate |
| Immunohistochemistry (IHC) | IHC : 1:50-1:500 |
| Immunofluorescence (IF)/ICC | IF/ICC : 1:20-1:200 |
| Flow Cytometry (FC) (INTRA) | FC (INTRA) : 0.25 ug per 10^6 cells in a 100 µl suspension |
| It is recommended that this reagent should be titrated in each testing system to obtain optimal results. | |
| Sample-dependent, Check data in validation data gallery. | |
产品信息
21962-1-AP targets SP1 in WB, IHC, IF/ICC, IP, CoIP, chIP, ELISA applications and shows reactivity with human, mouse, rat, monkey samples.
| 经测试应用 | WB, IHC, IF/ICC, IP, ELISA Application Description |
| 文献引用应用 | WB, IHC, IF, IP, CoIP, chIP |
| 经测试反应性 | human, mouse, rat, monkey |
| 文献引用反应性 | human, mouse, rat, pig, monkey, sheep |
| 免疫原 |
CatNo: Ag16720 Product name: Recombinant human SP1 protein Source: e coli.-derived, PGEX-4T Tag: GST Domain: 437-785 aa of BC062539 Sequence: NLQLQAVPNSGPIIIRTPTVGPNGQVSWQTLQLQNLQVQNPQAQTITLAPMQGVSLGQTSSSNTTLTPIASAASIPAGTVTVNAAQLSSMPGLQTINLSALGTSGIQVHPIQGLPLAIANAPGDHGAQLGLHGAGGDGIHDDTAGGEEGENSPDAQPQAGRRTRREACTCPYCKDSEGRGSGDPGKKKQHICHIQGCGKVYGKTSHLRAHLRWHTGERPFMCTWSYCGKRFTRSDELQRHKRTHTGEKKFACPECPKRFMRSDHLSKHIKTHQNKKGGPGVALSVGTLPLDSGAGSEGSGTATPSALITTNMVAMEAICPEGIARLANSGINVMQVADLQSINISGNGF 种属同源性预测 |
| 宿主/亚型 | Rabbit / IgG |
| 抗体类别 | Polyclonal |
| 产品类型 | Antibody |
| 全称 | Sp1 transcription factor |
| 别名 | SP 1, Sp1 transcription factor, Specificity protein 1, TSFP1 |
| 计算分子量 | 785 aa, 81 kDa |
| 观测分子量 | 95-106 kDa |
| GenBank蛋白编号 | BC062539 |
| 基因名称 | SP1 |
| Gene ID (NCBI) | 6667 |
| ENSEMBL Gene ID | ENSG00000185591 |
| RRID | AB_10898171 |
| 偶联类型 | Unconjugated |
| 形式 | Liquid |
| 纯化方式 | Antigen affinity purification |
| UNIPROT ID | P08047 |
| 储存缓冲液 | PBS with 0.02% sodium azide and 50% glycerol, pH 7.3. |
| 储存条件 | Store at -20°C. Stable for one year after shipment. Aliquoting is unnecessary for -20oC storage. |
背景介绍
The transcription factor Sp1 is a C2H2 zinc-finger protein that is involved in the regulation of a wide variety of genes, including housekeeping genes and tumor-developing genes. It is associated with tumor development, growth, and metastasis [PMID: 16209919]. It regulates the expression of a large number of genes involved in a variety of processes such as cell growth, apoptosis, differentiation and immune responses. Besides, it has a role in modulating the cellular response to DNA damage, recruiting SMARCA4/BRG1 on the c-FOS promoter, regulation of FE65 gene expression [PMID:11371615,16332679]. SP1 is detected with MW 95-105 kDa and 65 kDa in this paper(PMID: 10618488).
实验方案
| Product Specific Protocols | |
|---|---|
| FC protocol for SP1 antibody 21962-1-AP | Download protocol |
| IF protocol for SP1 antibody 21962-1-AP | Download protocol |
| IHC protocol for SP1 antibody 21962-1-AP | Download protocol |
| IP protocol for SP1 antibody 21962-1-AP | Download protocol |
| WB protocol for SP1 antibody 21962-1-AP | Download protocol |
| Standard Protocols | |
|---|---|
| Click here to view our Standard Protocols |
发表文章
| Species | Application | Title |
|---|---|---|
Cancer Cell KMT2C deficiency drives transdifferentiation of double-negative prostate cancer and confer resistance to AR-targeted therapy | ||
Protein Cell Integrative analysis of transcriptome, DNA methylome and chromatin accessibility reveals candidate therapeutic targets in hypertrophic cardiomyopathy | ||
Cell Res Hepatocellular carcinoma redirects to ketolysis for progression under nutrition deprivation stress. | ||
Cell Rep Med Disruption of MerTK increases the efficacy of checkpoint inhibitor by enhancing ferroptosis and immune response in hepatocellular carcinoma | ||
Nucleic Acids Res High mobility group AT-hook 1 (HMGA1) is an important positive regulator of hepatitis B virus (HBV) that is reciprocally upregulated by HBV X protein. |


















