验证数据展示
经过测试的应用
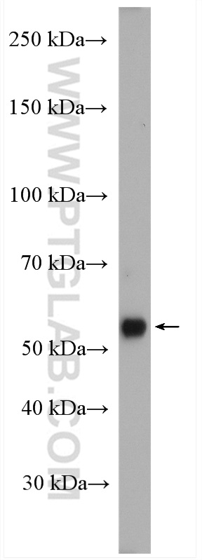
| Positive WB detected in | mouse brain tissue, MDA-MB-453 cells, mouse small intestine tissue, SH-SY5Y cells |
| Positive IP detected in | mouse colon tissue |
| Positive IHC detected in | mouse brain tissue Note: suggested antigen retrieval with TE buffer pH 9.0; (*) Alternatively, antigen retrieval may be performed with citrate buffer pH 6.0 |
| Positive IF-Fro detected in | mouse brain tissue |
| Positive FC (Intra) detected in | C6 cells |
推荐稀释比
| 应用 | 推荐稀释比 |
|---|---|
| Western Blot (WB) | WB : 1:1000-1:8000 |
| Immunoprecipitation (IP) | IP : 0.5-4.0 ug for 1.0-3.0 mg of total protein lysate |
| Immunohistochemistry (IHC) | IHC : 1:500-1:2000 |
| Immunofluorescence (IF)-FRO | IF-FRO : 1:50-1:500 |
| Flow Cytometry (FC) (INTRA) | FC (INTRA) : 0.40 ug per 10^6 cells in a 100 µl suspension |
| It is recommended that this reagent should be titrated in each testing system to obtain optimal results. | |
| Sample-dependent, Check data in validation data gallery. | |
产品信息
10422-1-AP targets SOX10 in WB, IHC, IF-Fro, FC (Intra), IP, CoIP, ELISA applications and shows reactivity with human, mouse, rat samples.
| 经测试应用 | WB, IHC, IF-Fro, FC (Intra), IP, ELISA Application Description |
| 文献引用应用 | WB, IHC, IF, FC (Intra), CoIP |
| 经测试反应性 | human, mouse, rat |
| 文献引用反应性 | human, mouse, rat, pig |
| 免疫原 |
CatNo: Ag0673 Product name: Recombinant human SOX10 protein Source: e coli.-derived, PGEX-4T Tag: GST Domain: 267-466 aa of BC002824 Sequence: GKPHIDFGNVDIGEISHEVMSNMETFDVAELDQYLPPNGHPGHVSSYSAAGYGLGSALAVASGHSAWISKPPGVALPTVSPPGVDAKAQVKTETAGPQGPPHYTDQPSTSQIAYTSLSLPHYGSAFPSISRPQFDYSDHQPSGPYYGHSGQASGLYSAFSYMGPSQRPLYTAISDPSPSGPQSHSPTHWEQPVYTTLSRP 种属同源性预测 |
| 宿主/亚型 | Rabbit / IgG |
| 抗体类别 | Polyclonal |
| 产品类型 | Antibody |
| 全称 | SRY (sex determining region Y)-box 10 |
| 别名 | DOM, PCWH, SRY-box transcription factor 9, Transcription factor SOX 10, Transcription factor SOX-10 |
| 计算分子量 | 50 kDa |
| 观测分子量 | 50-60 kDa |
| GenBank蛋白编号 | BC002824 |
| 基因名称 | SOX10 |
| Gene ID (NCBI) | 6663 |
| RRID | AB_2195371 |
| 偶联类型 | Unconjugated |
| 形式 | Liquid |
| 纯化方式 | Antigen affinity purification |
| UNIPROT ID | P56693 |
| 储存缓冲液 | PBS with 0.02% sodium azide and 50% glycerol, pH 7.3. |
| 储存条件 | Store at -20°C. Stable for one year after shipment. Aliquoting is unnecessary for -20oC storage. |
背景介绍
Sox10 is a transcription factor that has a crucial role in complex signalling pathways regulating central nervous system and neural crest development. The calcualted molecular weight of SOX10 is 50 kDa, but modified SOX10 is about 55-60 kDa. (PMID: 23799842)
实验方案
| Product Specific Protocols | |
|---|---|
| FC protocol for SOX10 antibody 10422-1-AP | Download protocol |
| IF protocol for SOX10 antibody 10422-1-AP | Download protocol |
| IHC protocol for SOX10 antibody 10422-1-AP | Download protocol |
| IP protocol for SOX10 antibody 10422-1-AP | Download protocol |
| WB protocol for SOX10 antibody 10422-1-AP | Download protocol |
| Standard Protocols | |
|---|---|
| Click here to view our Standard Protocols |
发表文章
| Species | Application | Title |
|---|---|---|
Neuron Gut-induced alpha-Synuclein and Tau propagation initiate Parkinson's and Alzheimer's disease co-pathology and behavior impairments | ||
Dev Cell Nuclear import carrier Hikeshi cooperates with HSP70 to promote murine oligodendrocyte differentiation and CNS myelination | ||
Front Immunol Machine learning-based identification of SOX10 as an immune regulator of macrophage in gliomas | ||
J Cereb Blood Flow Metab The role of serum/glucocorticoid-regulated kinase 1 in brain function following cerebral ischemia | ||
J Neurosci H3K27 Trimethylation-Mediated Downregulation of miR-216a-3p in Sensory Neurons Regulates Neuropathic Pain Behaviors via Targeting STIM1 |







