验证数据展示
经过测试的应用
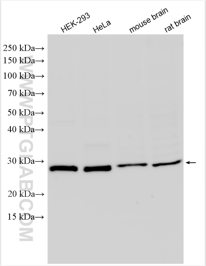
| Positive WB detected in | HEK-293 cells, HeLa cells, mouse brain tissue, rat brain tissue |
| Positive IHC detected in | human gliomas tissue Note: suggested antigen retrieval with TE buffer pH 9.0; (*) Alternatively, antigen retrieval may be performed with citrate buffer pH 6.0 |
| Positive IF/ICC detected in | HeLa cells |
推荐稀释比
| 应用 | 推荐稀释比 |
|---|---|
| Western Blot (WB) | WB : 1:500-1:3000 |
| Immunohistochemistry (IHC) | IHC : 1:50-1:500 |
| Immunofluorescence (IF)/ICC | IF/ICC : 1:200-1:800 |
| It is recommended that this reagent should be titrated in each testing system to obtain optimal results. | |
| Sample-dependent, Check data in validation data gallery. | |
发表文章中的应用
| WB | See 3 publications below |
| IF | See 3 publications below |
产品信息
11070-1-AP targets SNRPN in WB, IHC, IF/ICC, ELISA applications and shows reactivity with human, mouse, rat samples.
| 经测试应用 | WB, IHC, IF/ICC, ELISA Application Description |
| 文献引用应用 | WB, IF |
| 经测试反应性 | human, mouse, rat |
| 文献引用反应性 | human, mouse, bovine |
| 免疫原 |
CatNo: Ag1503 Product name: Recombinant human SNRPN protein Source: e coli.-derived, PGEX-4T Tag: GST Domain: 1-240 aa of BC010057 Sequence: MTVGKSSKMLQHIDYRMRCILQDGRIFIGTFKAFDKHMNLILCDCDEFRKIKPKNAKQPEREEKRVLGLVLLRGENLVSMTVEGPPPKDTGIARVPLAGAAGGPGVGRAAGRGVPAGVPIPQAPAGLAGPVRGVGGPSQQVMTPQGRGTVAAAAVAATASIAGAPTQYPPGRGTPPPPVGRATPPPGIMAPPPGMRPPMGPPIGLPPARGTPIGMPPPGMRPPPPGIRGPPPPGMRPPRP 种属同源性预测 |
| 宿主/亚型 | Rabbit / IgG |
| 抗体类别 | Polyclonal |
| 产品类型 | Antibody |
| 全称 | small nuclear ribonucleoprotein polypeptide N |
| 别名 | HCERN3, SM D, Small nuclear ribonucleoprotein-associated protein N, Sm-D, SMN |
| 计算分子量 | 25 kDa |
| 观测分子量 | 25-30 kDa |
| GenBank蛋白编号 | BC010057 |
| 基因名称 | SNRPN |
| Gene ID (NCBI) | 6638 |
| RRID | AB_615036 |
| 偶联类型 | Unconjugated |
| 形式 | Liquid |
| 纯化方式 | Antigen affinity purification |
| UNIPROT ID | P63162 |
| 储存缓冲液 | PBS with 0.02% sodium azide and 50% glycerol, pH 7.3. |
| 储存条件 | Store at -20°C. Stable for one year after shipment. Aliquoting is unnecessary for -20oC storage. |
背景介绍
SNRPN, or SNURF-SNRPN, is a bicistronic imprinted gene that encodes 2 polypeptides, the SmN splicing factor, which is involved in RNA processing, and the SNRPN upstream reading frame (SNURF) polypeptide.The SNRPN gene is transcribed exclusively from the paternally inherited chromosome and shows highest expression in brain and heart. SNRPN may play a role in etiology of Prader-Willi syndrome.
实验方案
| Product Specific Protocols | |
|---|---|
| IF protocol for SNRPN antibody 11070-1-AP | Download protocol |
| IHC protocol for SNRPN antibody 11070-1-AP | Download protocol |
| WB protocol for SNRPN antibody 11070-1-AP | Download protocol |
| Standard Protocols | |
|---|---|
| Click here to view our Standard Protocols |
发表文章
| Species | Application | Title |
|---|---|---|
Nat Med Targeting the histone methyltransferase G9a activates imprinted genes and improves survival of a mouse model of Prader-Willi syndrome. | ||
J Cell Sci Neurochondrin interacts with the SMN protein suggesting a novel mechanism for spinal muscular atrophy pathology. | ||
Genes (Basel) The Diagnostic Journey of a Patient with Prader-Willi-Like Syndrome and a Unique Homozygous SNURF-SNRPN Variant; Bio-Molecular Analysis and Review of the Literature. | ||
Chin Med J (Engl) Difference of gene expression between the central and the peripheral epithelia of the bovine lens. | ||
Int J Mol Sci N-Acetylglucosamine Kinase-Small Nuclear Ribonucleoprotein Polypeptide N Interaction Promotes Axodendritic Branching in Neurons via Dynein-Mediated Microtubule Transport |




