验证数据展示
经过测试的应用
| Positive WB detected in | MCF7 cells, MCF-7 cells | 
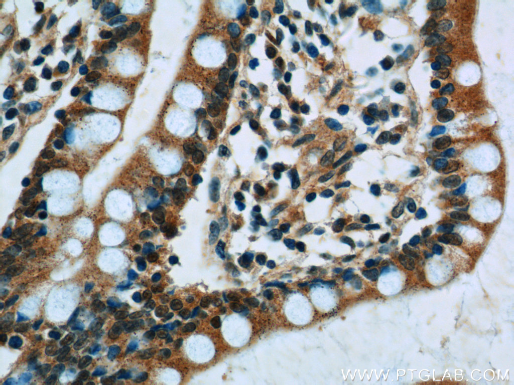
| Positive IHC detected in | human small intestine tissue, human breast cancer tissue,  human lung cancer tissue Note: suggested antigen retrieval with TE buffer pH 9.0; (*) Alternatively, antigen retrieval may be performed with citrate buffer pH 6.0 | 
推荐稀释比
| 应用 | 推荐稀释比 | 
|---|---|
| Western Blot (WB) | WB : 1:200-1:1000 | 
| Immunohistochemistry (IHC) | IHC : 1:20-1:200 | 
| It is recommended that this reagent should be titrated in each testing system to obtain optimal results. | |
| Sample-dependent, Check data in validation data gallery. | |
发表文章中的应用
| WB | See 1 publications below | 
| IHC | See 1 publications below | 
产品信息
10379-1-AP targets SNRPD3 in WB, IHC, ELISA applications and shows reactivity with human samples.
| 经测试应用 | WB, IHC, ELISA Application Description | 
| 文献引用应用 | WB, IHC | 
| 经测试反应性 | human | 
| 文献引用反应性 | human | 
| 免疫原 | CatNo: Ag0293 Product name: Recombinant human SNRPD3 protein Source: e coli.-derived, PGEX-4T Tag: GST Domain: 14-119 aa of BC000457 Sequence: EGHIVTCETNTGEVYRGKLIEAEDNMNCQMSNITVTYRDGRVAQLEQVYIRGSKIRFLILPDMLKNAPMLKSMKNKNQGSGAGRGKAAILKAQVAARGRGRGMGRG种属同源性预测 | 
| 宿主/亚型 | Rabbit / IgG | 
| 抗体类别 | Polyclonal | 
| 产品类型 | Antibody | 
| 全称 | small nuclear ribonucleoprotein D3 polypeptide 18kDa | 
| 别名 | Sm D3, SMD3, snRNP core protein D3, SNRPD3 | 
| 计算分子量 | 18 kDa | 
| 观测分子量 | 14 kDa | 
| GenBank蛋白编号 | BC000457 | 
| 基因名称 | SNRPD3 | 
| Gene ID (NCBI) | 6634 | 
| RRID | AB_2286308 | 
| 偶联类型 | Unconjugated | 
| 形式 | Liquid | 
| 纯化方式 | Antigen affinity purification | 
| UNIPROT ID | P62318 | 
| 储存缓冲液 | PBS with 0.02% sodium azide and 50% glycerol, pH 7.3. | 
| 储存条件 | Store at -20°C. Stable for one year after shipment. Aliquoting is unnecessary for -20oC storage. | 
背景介绍
Small nuclear ribonucleoprotein D3 polypeptide 18kDa (SNRPD3,synonym: SMD) belongs to the small nuclear ribonucleoprotein core protein family, with molecular weights of the D members: D1,16 kDa; D2, 16.5 kDa and D3 18 kDa. SNRPD3 is required for pre-mRNA splicing and small nuclear ribonucleoprotein biogenesis.
实验方案
| Product Specific Protocols | |
|---|---|
| IHC protocol for SNRPD3 antibody 10379-1-AP | Download protocol | 
| WB protocol for SNRPD3 antibody 10379-1-AP | Download protocol | 
| Standard Protocols | |
|---|---|
| Click here to view our Standard Protocols | 
发表文章
| Species | Application | Title | 
|---|---|---|
| Transl Oncol Identification of genes associated with local aggressiveness and metastatic behavior in soft tissue tumors. | 









