验证数据展示
经过测试的应用
| Positive WB detected in | mouse brain tissue, COLO 320 cells, HeLa cells, HepG2 cells | 
| Positive IP detected in | COLO 320 cells | 
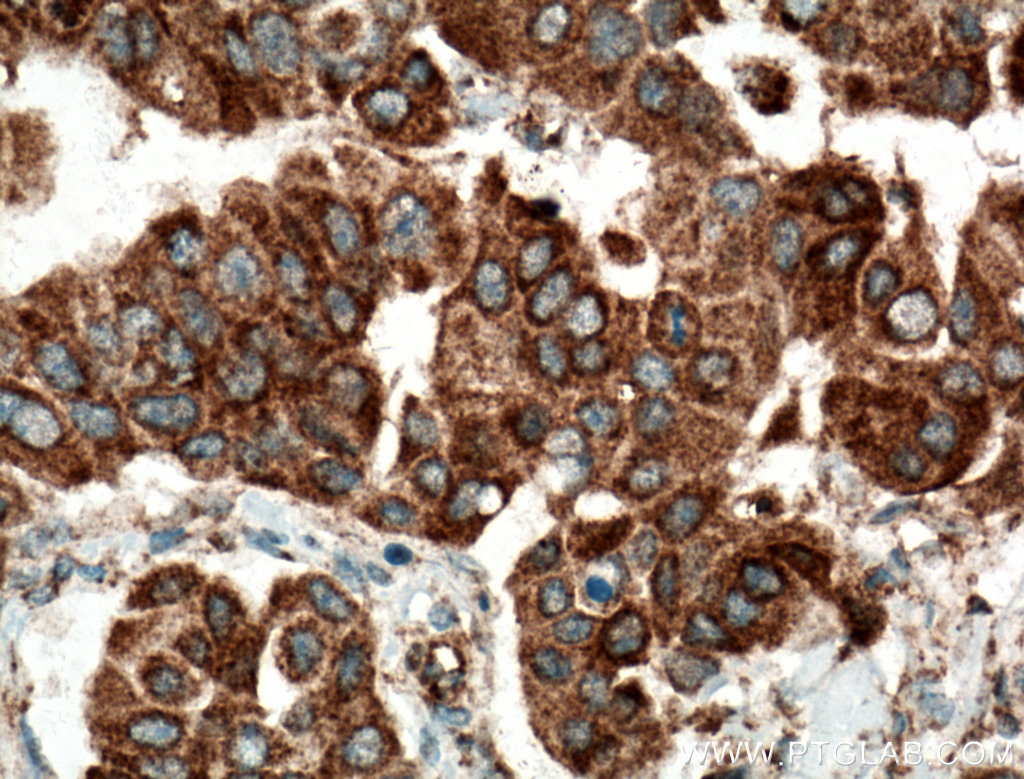
| Positive IHC detected in | human breast cancer tissue, human colon cancer tissue Note: suggested antigen retrieval with TE buffer pH 9.0; (*) Alternatively, antigen retrieval may be performed with citrate buffer pH 6.0  | 
| Positive IF/ICC detected in | HEK-293 cells | 
推荐稀释比
| 应用 | 推荐稀释比 | 
|---|---|
| Western Blot (WB) | WB : 1:500-1:1000 | 
| Immunoprecipitation (IP) | IP : 0.5-4.0 ug for 1.0-3.0 mg of total protein lysate | 
| Immunohistochemistry (IHC) | IHC : 1:50-1:500 | 
| Immunofluorescence (IF)/ICC | IF/ICC : 1:50-1:500 | 
| It is recommended that this reagent should be titrated in each testing system to obtain optimal results. | |
| Sample-dependent, Check data in validation data gallery. | |
产品信息
12011-1-AP targets SMYD3 in WB, IHC, IF/ICC, IP, CoIP, ChIP, ELISA applications and shows reactivity with human, mouse, rat samples.
| 经测试应用 | WB, IHC, IF/ICC, IP, ELISA Application Description | 
| 文献引用应用 | WB, IHC, IF, CoIP, ChIP | 
| 经测试反应性 | human, mouse, rat | 
| 文献引用反应性 | human, mouse, rat | 
| 免疫原 | 
                                             CatNo: Ag2624 Product name: Recombinant human SMYD3 protein Source: e coli.-derived, PGEX-4T Tag: GST Domain: 60-428 aa of BC031010 Sequence: MRCSQCRVAKYCSAKCQKKAWPDHKRECKCLKSCKPRYPPDSVRLLGRVVFKLMDGAPSESEKLYSFYDLESNINKLTEDRKEGLRQLVMTFQHFMREEIQDASQLPPAFDLFEAFAKVICNSFTICNAEMQEVGVGLYPSISLLNHSCDPNCSIVFNGPHLLLRAVRDIEVGEELTICYLDMLMTSEERRKQLRDQYCFECDCFRCQTQDKDADMLTGDEQVWKEVQESLKKIEELKAHWKWEQVLAMCQAIISSNSERLPDINIYQLKVLDCAMDACINLGLLEEALFYGTRTMEPYRIFFPGSHPVRGVQVMKVGKLQLHQGMFPQAMKNLRLAFDIMRVTHGREHSLIEDLILLLEECDANIRAS 种属同源性预测 | 
                                    
| 宿主/亚型 | Rabbit / IgG | 
| 抗体类别 | Polyclonal | 
| 产品类型 | Antibody | 
| 全称 | SET and MYND domain containing 3 | 
| 别名 | ZMYND1, Zinc finger MYND domain-containing protein 1, SET and MYND domain-containing protein 3, Histone-lysine N-methyltransferase SMYD3, EC:2.1.1.354 | 
| 计算分子量 | 428aa,49 kDa; 369aa,42 kDa | 
| 观测分子量 | 42-45 kDa | 
| GenBank蛋白编号 | BC031010 | 
| 基因名称 | SMYD3 | 
| Gene ID (NCBI) | 64754 | 
| RRID | AB_2193981 | 
| 偶联类型 | Unconjugated | 
| 形式 | Liquid | 
| 纯化方式 | Antigen affinity purification | 
| UNIPROT ID | Q9H7B4 | 
| 储存缓冲液 | PBS with 0.02% sodium azide and 50% glycerol, pH 7.3. | 
| 储存条件 | Store at -20°C. Stable for one year after shipment. Aliquoting is unnecessary for -20oC storage. | 
背景介绍
SMYD3,also name as ZMYND1 and ZNFN3A1, belongs to the histone-lysine methyltransferase family.It is a histone methyltransferase that plays an important role in transcriptional regulation in human carcinogenesis. It can specifically methylate histone H3 at lysine 4 and activate the transcription of a set of downstream genes, including several oncogenes (e.g., N-myc, CrkL, Wnt10b, RIZ and hTERT) and genes involved in the control of cell cycle.(PMID: 20957523). It plays an important role in transcriptional activation as a member of an RNA polymerase complex. SMYD3 is frequently overexpressed in different types of cancer cells. It functions as a coactivator of Era and potentiates Era activity in response to ligand. SMYD3 as a new coactivator for ER-mediated transcription, providing a possible link between SMYD3 overexpression and breast cancer. (PMID: 19509295) The common variable number of tandem repeats polymorphism in SMYD3 is a susceptibility factor for some types of human cancer. (PMID:16155568 ) . SMYD3 exists some isoforms with MV 49, 43 and 30 kDa.
实验方案
| Product Specific Protocols | |
|---|---|
| IF protocol for SMYD3 antibody 12011-1-AP | Download protocol | 
| IHC protocol for SMYD3 antibody 12011-1-AP | Download protocol | 
| IP protocol for SMYD3 antibody 12011-1-AP | Download protocol | 
| WB protocol for SMYD3 antibody 12011-1-AP | Download protocol | 
| Standard Protocols | |
|---|---|
| Click here to view our Standard Protocols | 
发表文章
| Species | Application | Title | 
|---|---|---|
Acta Pharm Sin B SMYD3-PARP16 axis accelerates unfolded protein response and mediates neointima formation.
  | ||
Carcinogenesis miR-124 and miR-203 are epigenetically silenced tumor-suppressive microRNAs in hepatocellular carcinoma. | ||
CNS Neurosci Ther Integration of Methylation and Gene Expression Deciphered Candidate Biomarkers DAB2IP and SMYD3 in Delayed Encephalopathy After Carbon Monoxide Poisoning | ||
Int J Androl Histone methylation is a critical regulator of the abnormal expression of POU5F1 and RASSF1A in testis cancer cell lines. | ||
Cell Physiol Biochem iTRAQ-Based Proteomic Analysis of Neonatal Kidney from Offspring of Protein Restricted Rats Reveals Abnormalities in Intraflagellar Transport Proteins. | 
















