验证数据展示
经过测试的应用
| Positive WB detected in | pig skeletal muscle tissue, human skeletal muscle tissue, human colon tissue, pig colon tissue |
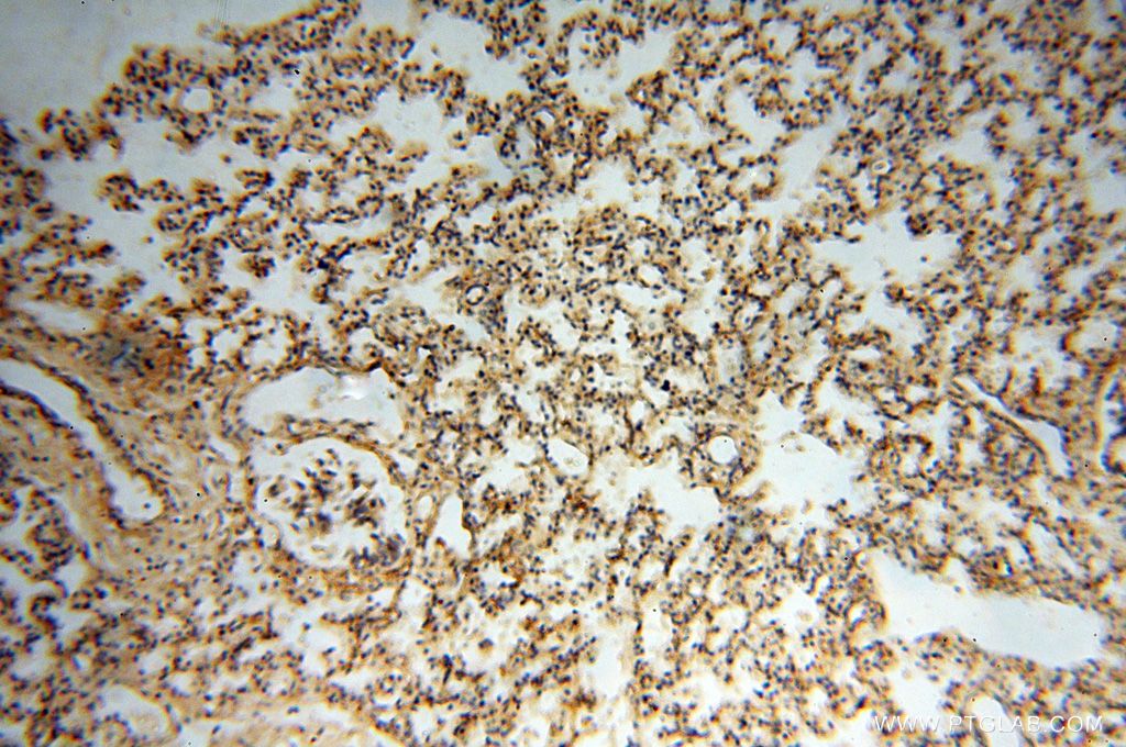
| Positive IHC detected in | human kidney tissue, human brain tissue, human lung tissue, human ovary tissue, human spleen tissue, human testis tissue Note: suggested antigen retrieval with TE buffer pH 9.0; (*) Alternatively, antigen retrieval may be performed with citrate buffer pH 6.0 |
推荐稀释比
| 应用 | 推荐稀释比 |
|---|---|
| Western Blot (WB) | WB : 1:500-1:1000 |
| Immunohistochemistry (IHC) | IHC : 1:50-1:500 |
| It is recommended that this reagent should be titrated in each testing system to obtain optimal results. | |
| Sample-dependent, Check data in validation data gallery. | |
产品信息
15791-1-AP targets SMPX in WB, IHC, ELISA applications and shows reactivity with human, pig samples.
| 经测试应用 | WB, IHC, ELISA Application Description |
| 经测试反应性 | human, pig |
| 免疫原 |
CatNo: Ag8497 Product name: Recombinant human SMPX protein Source: e coli.-derived, PGEX-4T Tag: GST Domain: 1-88 aa of BC005948 Sequence: MNMSKQPVSNVRAIQANINIPMGAFRPGAGQPPRRKECTPEVEEGVPPTSDEEKKPIPGAKKLPGPAVNLSEIQNIKSELKYVPKAEQ 种属同源性预测 |
| 宿主/亚型 | Rabbit / IgG |
| 抗体类别 | Polyclonal |
| 产品类型 | Antibody |
| 全称 | small muscle protein, X-linked |
| 别名 | small muscle protein, X linked, Small muscular protein, SMPX, SRMX |
| 计算分子量 | 88 aa, 10 kDa |
| 观测分子量 | 9 kDa |
| GenBank蛋白编号 | BC005948 |
| 基因名称 | SMPX |
| Gene ID (NCBI) | 23676 |
| RRID | AB_2193527 |
| 偶联类型 | Unconjugated |
| 形式 | Liquid |
| 纯化方式 | Antigen affinity purification |
| UNIPROT ID | Q9UHP9 |
| 储存缓冲液 | PBS with 0.02% sodium azide and 50% glycerol, pH 7.3. |
| 储存条件 | Store at -20°C. Stable for one year after shipment. Aliquoting is unnecessary for -20oC storage. |
实验方案
| Product Specific Protocols | |
|---|---|
| WB protocol for SMPX antibody 15791-1-AP | Download protocol |
| IHC protocol for SMPX antibody 15791-1-AP | Download protocol |
| Standard Protocols | |
|---|---|
| Click here to view our Standard Protocols |














