验证数据展示
经过测试的应用
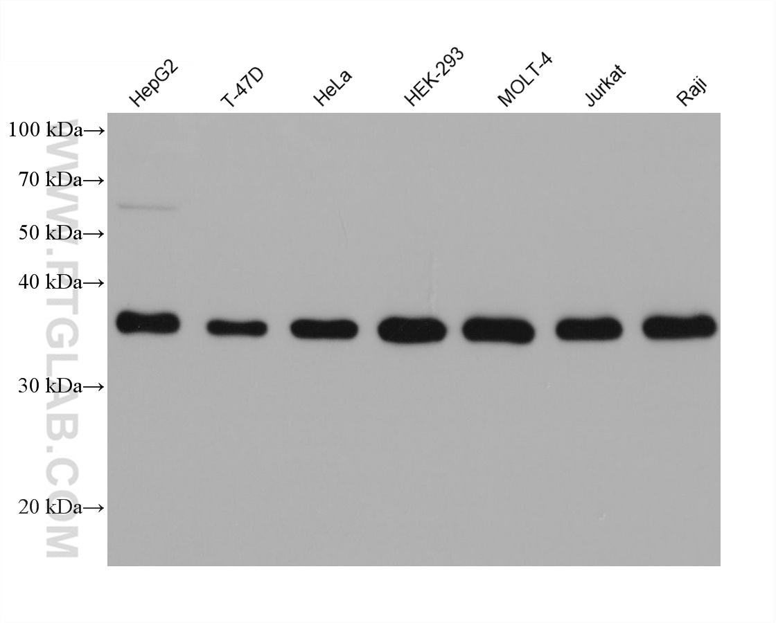
| Positive WB detected in | HepG2 cells, A375 cells, HeLa cells, T-47D cells, HEK-293 cells, MOLT-4 cells, Jurkat cells, Raji cells |
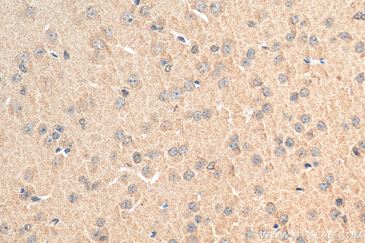
| Positive IHC detected in | human rectal cancer tissue, human colon cancer, mouse brain tissue, mouse kidney tissue, mouse liver tissue, rat kidney tissue, rat liver tissue Note: suggested antigen retrieval with TE buffer pH 9.0; (*) Alternatively, antigen retrieval may be performed with citrate buffer pH 6.0 |
| Positive IF/ICC detected in | HepG2 cells |
| Positive FC (Intra) detected in | Jurkat cells |
推荐稀释比
| 应用 | 推荐稀释比 |
|---|---|
| Western Blot (WB) | WB : 1:5000-1:50000 |
| Immunohistochemistry (IHC) | IHC : 1:250-1:1000 |
| Immunofluorescence (IF)/ICC | IF/ICC : 1:400-1:1600 |
| Flow Cytometry (FC) (INTRA) | FC (INTRA) : 0.25 ug per 10^6 cells in a 100 µl suspension |
| It is recommended that this reagent should be titrated in each testing system to obtain optimal results. | |
| Sample-dependent, Check data in validation data gallery. | |
产品信息
60154-2-Ig targets SMN (Human,Mouse,Rat) in WB, IHC, IF/ICC, FC (Intra), ELISA applications and shows reactivity with human, mouse, rat samples.
| 经测试应用 | WB, IHC, IF/ICC, FC (Intra), ELISA Application Description |
| 经测试反应性 | human, mouse, rat |
| 免疫原 |
CatNo: Ag14333 Product name: Recombinant human SMN2 protein Source: e coli.-derived, PET28a Tag: 6*His Domain: 1-282 aa of BC000908 Sequence: MAMSSGGSGGGVPEQEDSVLFRRGTGQSDDSDIWDDTALIKAYDKAVASFKHALKNGDICETSGKPKTTPKRKPAKKNKSQKKNTAASLQQWKVGDKCSAIWSEDGCIYPATIASIDFKRETCVVVYTGYGNREEQNLSDLLSPICEVANNIEQNAQENENESQVSTDESENSRSPGNKSDNIKPKSAPWNSFLPPPPPMPGPRLGPGKPGLKFNGPPPPPPPPPPHLLSCWLPPFPSGPPIIPPPPPICPDSLDDADALGSMLISWYMSGYHTGYYMEMLA 种属同源性预测 |
| 宿主/亚型 | Mouse / IgG2b |
| 抗体类别 | Monoclonal |
| 产品类型 | Antibody |
| 全称 | survival of motor neuron 2, centromeric |
| 别名 | SMN, 3C10B5, C BCD541, Component of gems 1, Gemin 1 |
| 计算分子量 | 282 aa, 30 kDa |
| 观测分子量 | 38 kDa |
| GenBank蛋白编号 | BC000908 |
| 基因名称 | SMN |
| Gene ID (NCBI) | 6607 |
| RRID | AB_10792407 |
| 偶联类型 | Unconjugated |
| 形式 | Liquid |
| 纯化方式 | Protein A purification |
| UNIPROT ID | Q16637 |
| 储存缓冲液 | PBS with 0.02% sodium azide and 50% glycerol, pH 7.3. |
| 储存条件 | Store at -20°C. Stable for one year after shipment. Aliquoting is unnecessary for -20oC storage. |
背景介绍
The survival of motor neurons (SMN) genes are the disease genes of spinal muscular atrophy (SMA), a common motor neuron degenerative disease. The level of SMN protein correlates with phenotypic severity of SMA. SMA patients lack a functional SMN1 gene, but they possess an intact SMN2 gene, which though nearly identical to SMN1, is only partially functional, because a large majority of SMN2 transcripts lack exon 7, resulting in production of a truncated, less stable SMN protein. This antibody 60154-2-Ig can recognize human,mouse and rat SMN gene.
实验方案
| Product Specific Protocols | |
|---|---|
| FC protocol for SMN (Human,Mouse,Rat) antibody 60154-2-Ig | Download protocol |
| IF protocol for SMN (Human,Mouse,Rat) antibody 60154-2-Ig | Download protocol |
| IHC protocol for SMN (Human,Mouse,Rat) antibody 60154-2-Ig | Download protocol |
| WB protocol for SMN (Human,Mouse,Rat) antibody 60154-2-Ig | Download protocol |
| Standard Protocols | |
|---|---|
| Click here to view our Standard Protocols |


















