验证数据展示
经过测试的应用
| Positive WB detected in | Jurkat cells, mouse heart tissue, rat heart tissue |
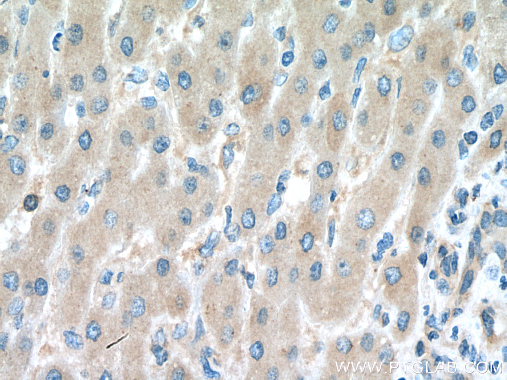
| Positive IHC detected in | human liver cancer tissue Note: suggested antigen retrieval with TE buffer pH 9.0; (*) Alternatively, antigen retrieval may be performed with citrate buffer pH 6.0 |
推荐稀释比
| 应用 | 推荐稀释比 |
|---|---|
| Western Blot (WB) | WB : 1:500-1:2000 |
| Immunohistochemistry (IHC) | IHC : 1:50-1:500 |
| It is recommended that this reagent should be titrated in each testing system to obtain optimal results. | |
| Sample-dependent, Check data in validation data gallery. | |
发表文章中的应用
| KD/KO | See 1 publications below |
| WB | See 7 publications below |
产品信息
28718-1-AP targets SMCR7/MID49 in WB, IHC, ELISA applications and shows reactivity with human, mouse, rat samples.
| 经测试应用 | WB, IHC, ELISA Application Description |
| 文献引用应用 | WB |
| 经测试反应性 | human, mouse, rat |
| 文献引用反应性 | human, mouse, pig, monkey |
| 免疫原 |
CatNo: Ag30119 Product name: Recombinant human SMCR7,MID49 protein Source: e coli.-derived, PGEX-4T Tag: GST Domain: 283-454 aa of BC014973 Sequence: MASEELLLEVQHERLELTVAVLVAVPGVDADDRLLLAWPLEGLAGNLWLQDLYPVEAARLRALDDHDAGTRRRLLLLLCAVCRGCSALGQLGRGHLTQVVLRLGEDNVDWTEEALGERFLQALELLIGSLEQASLPCHFNPSVNLFSSLREEEIDDIGYALYSGLQEPEGLL 种属同源性预测 |
| 宿主/亚型 | Rabbit / IgG |
| 抗体类别 | Polyclonal |
| 产品类型 | Antibody |
| 全称 | Smith-Magenis syndrome chromosome region, candidate 7 |
| 别名 | MID49, SMCR7, MIEF2, Mitochondrial dynamics protein of 49 kDa, Smith-Magenis syndrome chromosomal region candidate gene 7 protein |
| 计算分子量 | 454 aa, 49 kDa |
| 观测分子量 | 49 kDa |
| GenBank蛋白编号 | BC014973 |
| 基因名称 | MID49 |
| Gene ID (NCBI) | 125170 |
| RRID | AB_2881198 |
| 偶联类型 | Unconjugated |
| 形式 | Liquid |
| 纯化方式 | Antigen affinity purification |
| UNIPROT ID | Q96C03 |
| 储存缓冲液 | PBS with 0.02% sodium azide and 50% glycerol, pH 7.3. |
| 储存条件 | Store at -20°C. Stable for one year after shipment. Aliquoting is unnecessary for -20oC storage. |
背景介绍
SMCR7, also named as MID49, is a 49 kDa mitochondrial outer membrane protein which regulates mitochondrial morphology. SMCR7 can directly recruit the fission mediator dynamin-related protein 1 (DNM1L) to the mitochondrial surface. SMCR7 has two isoforms.
实验方案
| Product Specific Protocols | |
|---|---|
| IHC protocol for SMCR7/MID49 antibody 28718-1-AP | Download protocol |
| WB protocol for SMCR7/MID49 antibody 28718-1-AP | Download protocol |
| Standard Protocols | |
|---|---|
| Click here to view our Standard Protocols |
发表文章
| Species | Application | Title |
|---|---|---|
Mol Med Characterisation of cold-induced mitochondrial fission in porcine aortic endothelial cells. | ||
Nat Commun Auranofin targets UBA1 and enhances UBA1 activity by facilitating ubiquitin trans-thioesterification to E2 ubiquitin-conjugating enzymes | ||
Int J Biol Sci Mitochondrial Dysfunction by FADDosome Promotes Gastric Mucosal Injury in Portal Hypertensive Gastropathy | ||
Technol Cancer Res Treat The Role of MIEF2 in Cisplatin Sensitivity in KIRP Patients: Insights from Four-gene Mitochondrial Fusion RNA Markers | ||
PLoS Pathog Calcium-mediated mitochondrial fission and mitophagy drive glycolysis to facilitate arterivirus proliferation
|


