验证数据展示
经过测试的应用
| Positive WB detected in | HeLa cells, HepG2 cells, human placenta tissue, mouse brain tissue, rat brain tissue, MCF-7 cells, PC-3 cells |
| Positive IP detected in | HeLa cells |
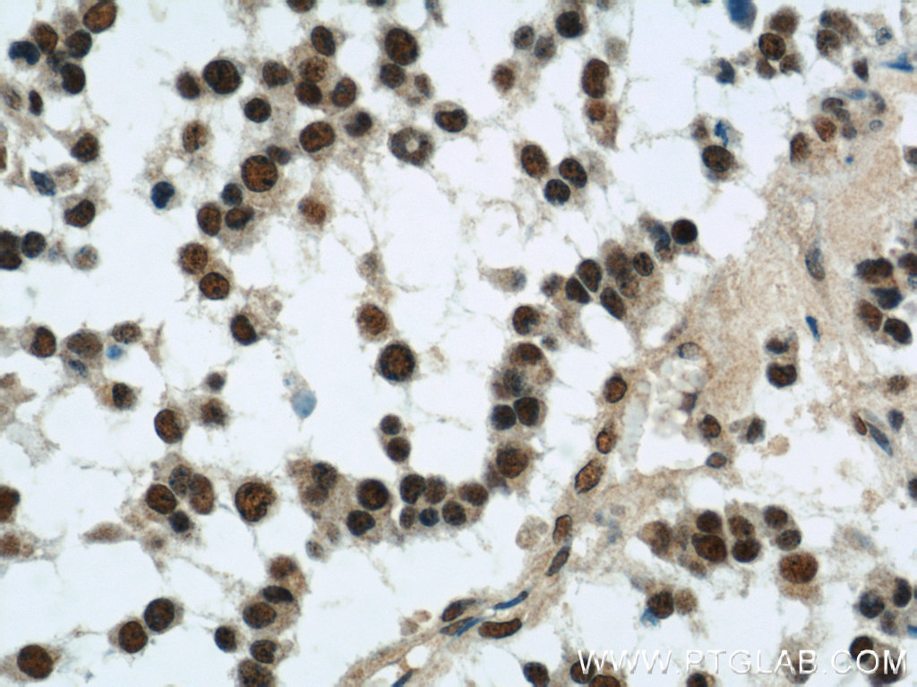
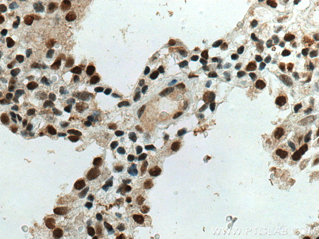
| Positive IHC detected in | human colon cancer tissue, human lung cancer tissue, mouse kidney tissue, human breast cancer tissue, human gliomas tissue Note: suggested antigen retrieval with TE buffer pH 9.0; (*) Alternatively, antigen retrieval may be performed with citrate buffer pH 6.0 |
| Positive IF/ICC detected in | HepG2 cells, HeLa cells, HEK-293 cells |
推荐稀释比
| 应用 | 推荐稀释比 |
|---|---|
| Western Blot (WB) | WB : 1:500-1:3000 |
| Immunoprecipitation (IP) | IP : 0.5-4.0 ug for 1.0-3.0 mg of total protein lysate |
| Immunohistochemistry (IHC) | IHC : 1:200-1:800 |
| Immunofluorescence (IF)/ICC | IF/ICC : 1:300-1:1200 |
| It is recommended that this reagent should be titrated in each testing system to obtain optimal results. | |
| Sample-dependent, Check data in validation data gallery. | |
产品信息
21634-1-AP targets SMARCA4/BRG1 in WB, IHC, IF/ICC, IP, CoIP, chIP, RIP, ELISA applications and shows reactivity with human, mouse, rat samples.
| 经测试应用 | WB, IHC, IF/ICC, IP, ELISA Application Description |
| 文献引用应用 | WB, IHC, IF, IP, CoIP, chIP, RIP |
| 经测试反应性 | human, mouse, rat |
| 文献引用反应性 | human, mouse, rat, zebrafish, bovine |
| 免疫原 |
CatNo: Ag16256 Product name: Recombinant human SMARCA4 protein Source: e coli.-derived, PGEX-4T Tag: GST Domain: 207-298 aa of BC150298 Sequence: KRPMPGMQQQMPTLPPPSVSATGPGPGPGPGPGPGPGPAPPNYSRPHGMGGPNMPPPGPSGVPPGMPGQPPGGPPKPWPEGPMANAAAPTST 种属同源性预测 |
| 宿主/亚型 | Rabbit / IgG |
| 抗体类别 | Polyclonal |
| 产品类型 | Antibody |
| 全称 | SWI/SNF related, matrix associated, actin dependent regulator of chromatin, subfamily a, member 4 |
| 别名 | ATP dependent helicase SMARCA4, BAF190, BAF190A, BRG1, BRG1 associated factor 190A, hSNF2b, Protein brahma homolog 1, Protein BRG 1, SMARCA4, SMARCA4/BRG1, SNF2, SNF2 BETA, SNF2B, SNF2L4, SNF2LB, SWI2, Transcription activator BRG1 |
| 计算分子量 | 1647 aa, 185 kDa |
| 观测分子量 | 185 kDa |
| GenBank蛋白编号 | BC150298 |
| 基因名称 | SMARCA4 |
| Gene ID (NCBI) | 6597 |
| RRID | AB_10858784 |
| 偶联类型 | Unconjugated |
| 形式 | Liquid |
| 纯化方式 | Antigen affinity purification |
| UNIPROT ID | P51532 |
| 储存缓冲液 | PBS with 0.02% sodium azide and 50% glycerol, pH 7.3. |
| 储存条件 | Store at -20°C. Stable for one year after shipment. Aliquoting is unnecessary for -20oC storage. |
背景介绍
SMARCA4, also named as BAF190A, BRG1, SNF2B and SNF2L4, belongs to the SNF2/RAD54 helicase family. SMARCA4 is a transcriptional coactivator cooperating with nuclear hormone receptors to potentiate transcriptional activation. It is a component of the CREST-BRG1 complex, a multiprotein complex that regulates promoter activation by orchestrating a calcium-dependent release of a repressor complex and a recruitment of an activator complex. It is also involved in vitamin D-coupled transcription regulation via its association with the WINAC complex, a chromatin-remodeling complex recruited by vitamin D receptor (VDR), which is required for the ligand-bound VDR-mediated transrepression of the CYP27B1 gene.
实验方案
| Product Specific Protocols | |
|---|---|
| IF protocol for SMARCA4/BRG1 antibody 21634-1-AP | Download protocol |
| IHC protocol for SMARCA4/BRG1 antibody 21634-1-AP | Download protocol |
| IP protocol for SMARCA4/BRG1 antibody 21634-1-AP | Download protocol |
| WB protocol for SMARCA4/BRG1 antibody 21634-1-AP | Download protocol |
| Standard Protocols | |
|---|---|
| Click here to view our Standard Protocols |
发表文章
| Species | Application | Title |
|---|---|---|
J Clin Oncol Genomic Characterization of Non-Small-Cell Lung Cancer in African Americans by Targeted Massively Parallel Sequencing. | ||
Cell Stem Cell The long noncoding RNA lncTCF7 promotes self-renewal of human liver cancer stem cells through activation of Wnt signaling. | ||
Mol Cell SPT5 stabilizes RNA polymerase II, orchestrates transcription cycles, and maintains the enhancer landscape. | ||
Nucleic Acids Res Reactivation of the G1 enhancer landscape underlies core circuitry addiction to SWI/SNF | ||
Sci Adv Organoid drug profiling identifies methotrexate as a therapy for SCCOHT, a rare pediatric cancer | ||
Nat Commun LncBRM initiates YAP1 signalling activation to drive self-renewal of liver cancer stem cells. |





















