验证数据展示
经过测试的应用
| Positive WB detected in | HeLa cells, A549 cells, HEK-293 cells, HepG2 cells, mouse lung tissue |
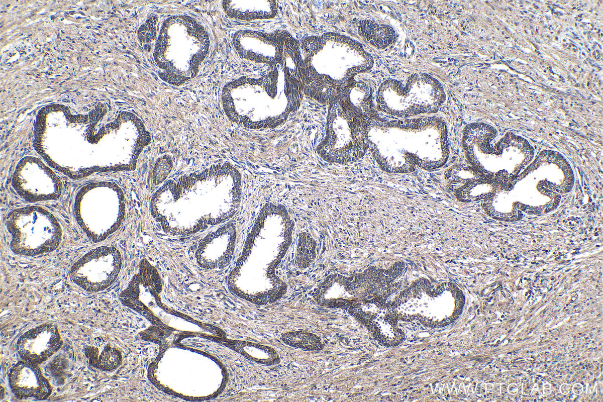
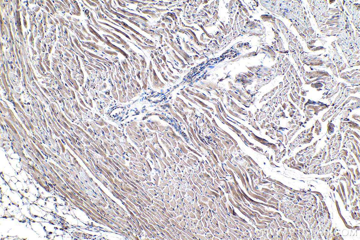
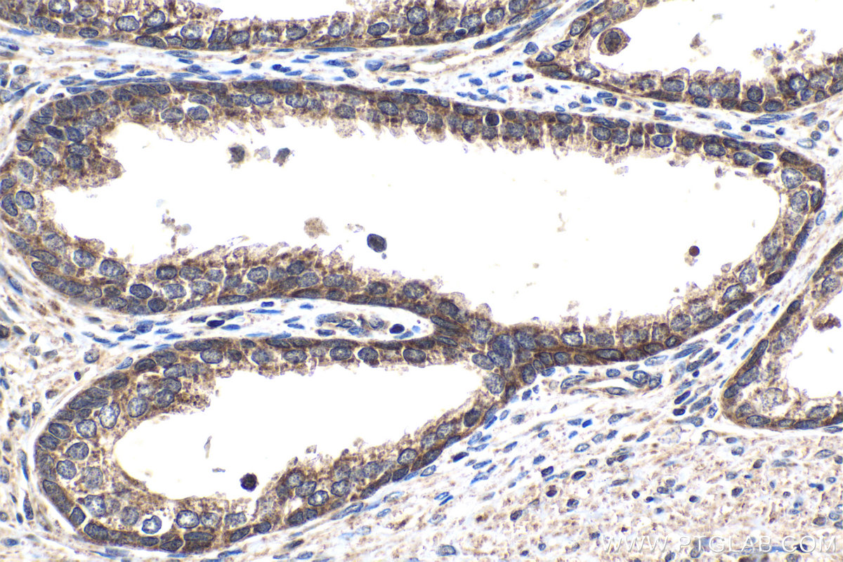
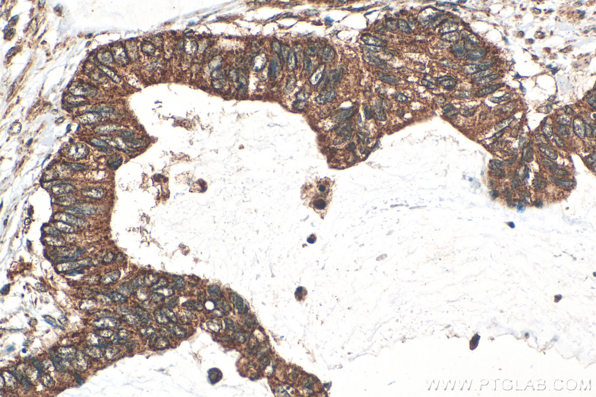
| Positive IHC detected in | human prostate cancer tissue, human urothelial carcinoma tissue, mouse heart tissue, rat heart tissue Note: suggested antigen retrieval with TE buffer pH 9.0; (*) Alternatively, antigen retrieval may be performed with citrate buffer pH 6.0 |
推荐稀释比
| 应用 | 推荐稀释比 |
|---|---|
| Western Blot (WB) | WB : 1:500-1:2000 |
| Immunohistochemistry (IHC) | IHC : 1:50-1:500 |
| It is recommended that this reagent should be titrated in each testing system to obtain optimal results. | |
| Sample-dependent, Check data in validation data gallery. | |
发表文章中的应用
| WB | See 6 publications below |
产品信息
16397-1-AP targets SMAD9 in WB, IHC, ELISA applications and shows reactivity with human, mouse, rat samples.
| 经测试应用 | WB, IHC, ELISA Application Description |
| 文献引用应用 | WB |
| 经测试反应性 | human, mouse, rat |
| 文献引用反应性 | human, mouse, rat |
| 免疫原 |
CatNo: Ag9490 Product name: Recombinant human SMAD9 protein Source: e coli.-derived, PGEX-4T Tag: GST Domain: 1-352 aa of BC011559 Sequence: MHSTTPISSLFSFTSPAVKRLLGWKQGDEEEKWAEKAVDSLVKKLKKKKGAMDELERALSCPGQPSKCVTIPRSLDGRLQVSHRKGLPHVIYCRVWRWPDLQSHHELKPLECCEFPFGSKQKEVCINPYHYRRVETPVLPPVLVPRHSEYNPQLSLLAKFRSASLHSEPLMPHNATYPDSFQQPPCSALPPSPSHAFSQSPCTASYPHSPGSPSEPESPYQHSDFRPVCYEEPQHWCSVAYYELNNRVGETFQASSRSVLIDGFTDPSNNRNRFCLGLLSNVNRNSTIENTRRHIGKGVHLYYVGGEVYAECVSDSSIFVQSRNCNYQHGFHPATVCKIPSGCSLKVFNNQL 种属同源性预测 |
| 宿主/亚型 | Rabbit / IgG |
| 抗体类别 | Polyclonal |
| 产品类型 | Antibody |
| 全称 | SMAD family member 9 |
| 别名 | MAD homolog 9, MADH6, MADH9, Mothers against DPP homolog 9, SMAD 9 |
| 计算分子量 | 430 aa, 49 kDa |
| 观测分子量 | 49-55 kDa |
| GenBank蛋白编号 | BC011559 |
| 基因名称 | SMAD9 |
| Gene ID (NCBI) | 4093 |
| RRID | AB_2270847 |
| 偶联类型 | Unconjugated |
| 形式 | Liquid |
| 纯化方式 | Antigen affinity purification |
| UNIPROT ID | O15198 |
| 储存缓冲液 | PBS with 0.02% sodium azide and 50% glycerol, pH 7.3. |
| 储存条件 | Store at -20°C. Stable for one year after shipment. Aliquoting is unnecessary for -20oC storage. |
背景介绍
SMAD9 (also known as MADH9 or MAD homolog 9) is a key signaling molecule in the transforming growth factor-β (TGF-β) superfamily signaling pathway and belongs to the SMAD1/5/9 subgroup of receptor-regulated SMADs (R-SMADs). It is primarily activated and phosphorylated by BMP (bone morphogenetic protein) type I receptors. Once activated, SMAD9 forms a complex with the common SMAD4 (Co-SMAD), translocates into the nucleus, and acts as a transcription factor to regulate the expression of specific target genes. This process is involved in modulating a variety of critical biological processes, including cell proliferation, differentiation, apoptosis, and embryonic development. Mutations or abnormal expression of SMAD9 are associated with several diseases, particularly in pulmonary arterial hypertension, certain cancers, and vascular diseases, where it plays a significant role.
实验方案
| Product Specific Protocols | |
|---|---|
| IHC protocol for SMAD9 antibody 16397-1-AP | Download protocol |
| WB protocol for SMAD9 antibody 16397-1-AP | Download protocol |
| Standard Protocols | |
|---|---|
| Click here to view our Standard Protocols |
发表文章
| Species | Application | Title |
|---|---|---|
IUBMB Life LncRNA RP11-301G19.1 is required for the maintenance of vascular smooth muscle cell contractile phenotype via sponging miR-17-5P/ATOH8 axis | ||
Sci Rep Schisandrin B regulates MC3T3-E1 subclone 14 cells proliferation and differentiation through BMP2-SMADs-RUNX2-SP7 signaling axis. | ||
Cell Death Discov Gsα deficiency facilitates cardiac remodeling via CREB/ Bmp10-mediated signaling | ||
Bioact Mater A tantalum-containing zirconium-based metallic glass with superior endosseous implant relevant properties | ||
Cancer Cell Paneth-like transition drives resistance to dual targeting of KRAS and EGFR in colorectal cancer. | ||
Int J Biol Macromol Near-infrared responsive nanozyme-carboxymethyl chitosan/chondroitin sulfate composite hydrogel: Multicomponent synergy optimizes bone defect microenvironment to enhance repair. |












