验证数据展示
经过测试的应用
| Positive WB detected in | HeLa cells, Jurkat cells |
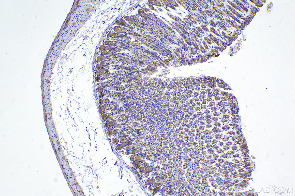
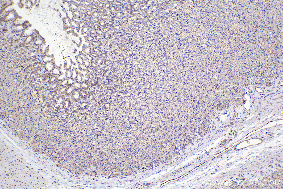
| Positive IHC detected in | human stomach cancer tissue, mouse stomach tissue, rat stomach tissue Note: suggested antigen retrieval with TE buffer pH 9.0; (*) Alternatively, antigen retrieval may be performed with citrate buffer pH 6.0 |
推荐稀释比
| 应用 | 推荐稀释比 |
|---|---|
| Western Blot (WB) | WB : 1:1000-1:5000 |
| Immunohistochemistry (IHC) | IHC : 1:250-1:1000 |
| It is recommended that this reagent should be titrated in each testing system to obtain optimal results. | |
| Sample-dependent, Check data in validation data gallery. | |
发表文章中的应用
| KD/KO | See 1 publications below |
| WB | See 8 publications below |
| IHC | See 2 publications below |
产品信息
30130-1-AP targets SMAD3 in WB, IHC, ELISA applications and shows reactivity with human, mouse, rat samples.
| 经测试应用 | WB, IHC, ELISA Application Description |
| 文献引用应用 | WB, IHC |
| 经测试反应性 | human, mouse, rat |
| 文献引用反应性 | human, mouse, rat |
| 免疫原 |
CatNo: Ag32595 Product name: Recombinant human SMAD3 protein Source: e coli.-derived, PET28a Tag: 6*His Domain: 145-260 aa of NM_005902 Sequence: EIPAEFPPLDDYSHSIPENTNFPAGIEPQSNIPETPPPGYLSEDGETSDHQMNHSMDAGSPNLSPNPMSPAHNNLDLQPVTYCEPAFWCSISYYELNQRVGETFHASQPSMTVDGF 种属同源性预测 |
| 宿主/亚型 | Rabbit / IgG |
| 抗体类别 | Polyclonal |
| 产品类型 | Antibody |
| 全称 | SMAD family member 3 |
| 别名 | hMAD 3, hMAD-3, hSMAD3, HSPC193, HsT17436 |
| 计算分子量 | 48 kDa |
| 观测分子量 | 48-55 kDa |
| GenBank蛋白编号 | NM_005902 |
| 基因名称 | SMAD3 |
| Gene ID (NCBI) | 4088 |
| RRID | AB_3662144 |
| 偶联类型 | Unconjugated |
| 形式 | Liquid |
| 纯化方式 | Antigen affinity purification |
| UNIPROT ID | P84022 |
| 储存缓冲液 | PBS with 0.02% sodium azide and 50% glycerol, pH 7.3. |
| 储存条件 | Store at -20°C. Stable for one year after shipment. Aliquoting is unnecessary for -20oC storage. |
背景介绍
SMAD3, also named as hMAD 3 or Mad3, is a 425 amino acid protein, which contains one MH1 domain and one MH2 domain. SMAD3 localizes in the nucleus and cytoplasm. SMAD3 plays an essential role in development and maintenance of self-tolerance and is a critical mediator of the TGFB signaling pathway. SMAD3 is involved in TGFB dependent regulation of steroidogenesis and in T-cell response to TGFB.
实验方案
| Product Specific Protocols | |
|---|---|
| IHC protocol for SMAD3 antibody 30130-1-AP | Download protocol |
| WB protocol for SMAD3 antibody 30130-1-AP | Download protocol |
| Standard Protocols | |
|---|---|
| Click here to view our Standard Protocols |
发表文章
| Species | Application | Title |
|---|---|---|
Free Radic Biol Med HIC2 suppresses glioblastoma progression via transcriptional repression of SEMA3A and inhibition of TGF-β signaling | ||
Adv Sci (Weinh) A Super-Enhancer-Driven Transcriptional Regulatory Circuit Underlying Abiraterone Resistance in Castration-Resistant Prostate Cancer
| ||
J Mol Histol Kurarinone protects against renal injury and fibrosis after unilateral ureteral obstruction through enhancement of the Nrf-2 signaling pathway. | ||
Front Oncol Lathyrol inhibits the proliferation of Renca cells by altering expression of TGF-β/Smad pathway components and subsequently affecting the cell cycle. | ||
Pharm Biol Cyanoglycosides isolated from Moringa oleifera seeds inhibited PFKFB3/TGF-β1/smads pathway to alleviate diabetic nephropathy through driving metabolic reprogramming. |




