验证数据展示
经过测试的应用
| Positive WB detected in | HeLa cells, HepG2 cells |
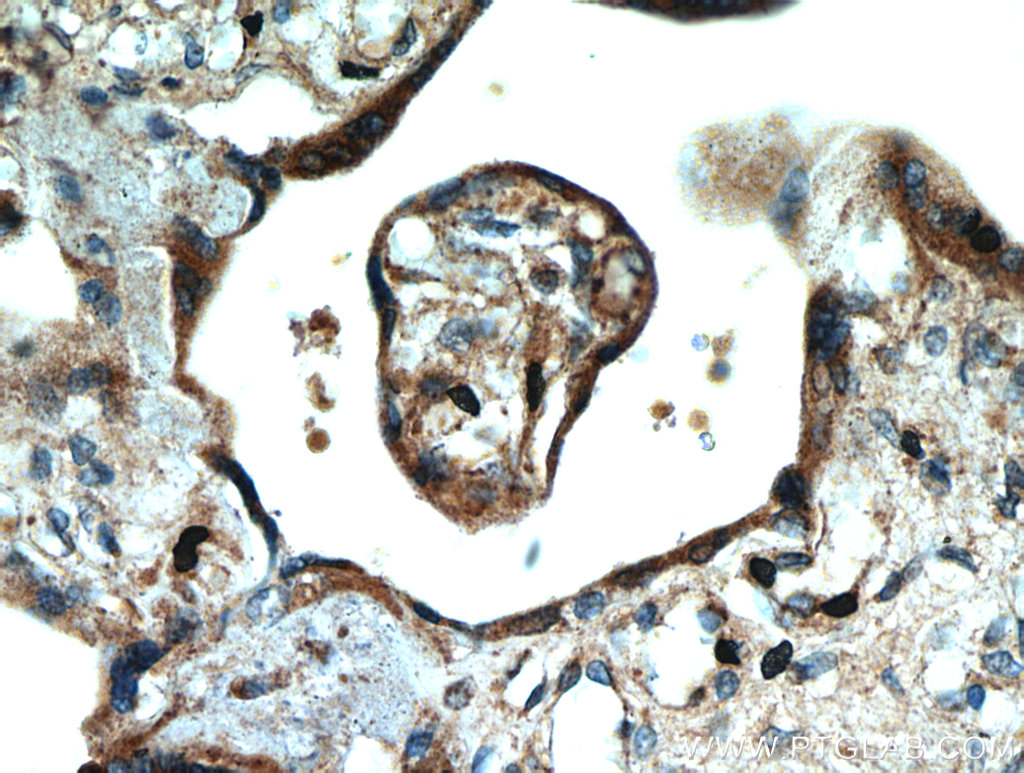
| Positive IHC detected in | human placenta tissue, human heart tissue Note: suggested antigen retrieval with TE buffer pH 9.0; (*) Alternatively, antigen retrieval may be performed with citrate buffer pH 6.0 |
推荐稀释比
| 应用 | 推荐稀释比 |
|---|---|
| Western Blot (WB) | WB : 1:500-1:1000 |
| Immunohistochemistry (IHC) | IHC : 1:50-1:500 |
| It is recommended that this reagent should be titrated in each testing system to obtain optimal results. | |
| Sample-dependent, Check data in validation data gallery. | |
发表文章中的应用
| WB | See 3 publications below |
产品信息
51144-1-AP targets SMAD4 in WB, IHC, ELISA applications and shows reactivity with human, mouse, rat samples.
| 经测试应用 | WB, IHC, ELISA Application Description |
| 文献引用应用 | WB |
| 经测试反应性 | human, mouse, rat |
| 文献引用反应性 | rat |
| 免疫原 |
Peptide 种属同源性预测 |
| 宿主/亚型 | Rabbit / IgG |
| 抗体类别 | Polyclonal |
| 产品类型 | Antibody |
| 全称 | SMAD family member 4 |
| 别名 | DPC4, hSMAD4, JIP, MAD homolog 4, MADH4 |
| 计算分子量 | 60 kDa |
| 观测分子量 | 58 kDa |
| GenBank蛋白编号 | BC002379 |
| 基因名称 | SMAD4 |
| Gene ID (NCBI) | 4089 |
| RRID | AB_10918273 |
| 偶联类型 | Unconjugated |
| 形式 | Liquid |
| 纯化方式 | Antigen affinity purification |
| UNIPROT ID | Q13485 |
| 储存缓冲液 | PBS with 0.02% sodium azide and 50% glycerol, pH 7.3. |
| 储存条件 | Store at -20°C. Stable for one year after shipment. Aliquoting is unnecessary for -20oC storage. |
背景介绍
Mammalian homologs of the Drosophila Mad gene include Smad1, Smad2, Smad3, Smad4 (DPC4), Smad5, Smad6, Smad7 and Smad8. Smad1 and Smad5 are effectors of BMP2 and BMP4 function while Smad2 and Smad3 are involved in TGF and activin-mediated growth modulation. Smad4 has been shown to mediate all of the above activities through interactionwith various Smad family members . Smad6 and Smad7 regulate the response to activin/ TGF signaling by interfering with TGF -mediated phosphorylation of other Smad family members. This antibody is a rabbit polyclonal antibody raised against a peptide (25-43aa) mapping within human SMAD4. It is specific to SMAD4.
实验方案
| Product Specific Protocols | |
|---|---|
| IHC protocol for SMAD4 antibody 51144-1-AP | Download protocol |
| WB protocol for SMAD4 antibody 51144-1-AP | Download protocol |
| Standard Protocols | |
|---|---|
| Click here to view our Standard Protocols |
发表文章
| Species | Application | Title |
|---|---|---|
Exp Ther Med Naringin attenuates renal interstitial fibrosis by regulating the TGF-β/Smad signaling pathway and inflammation. | ||
Open Life Sci NR4A1 inhibits the epithelial-mesenchymal transition of hepatic stellate cells: Involvement of TGF-β-Smad2/3/4-ZEB signaling. | ||
Exp Ther Med MicroRNA-122 inhibits epithelial-mesenchymal transition of hepatic stellate cells induced by the TGF-β1/Smad signaling pathway. |










