验证数据展示
经过测试的应用
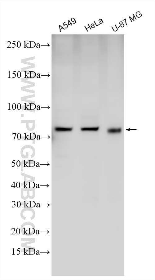
| Positive WB detected in | A549 cells, HeLa cells, U-87 MG cells |
推荐稀释比
| 应用 | 推荐稀释比 |
|---|---|
| Western Blot (WB) | WB : 1:500-1:1000 |
| It is recommended that this reagent should be titrated in each testing system to obtain optimal results. | |
| Sample-dependent, Check data in validation data gallery. | |
发表文章中的应用
| WB | See 1 publications below |
产品信息
26399-1-AP targets SLCO4A1 in WB, ELISA applications and shows reactivity with human samples.
| 经测试应用 | WB, ELISA Application Description |
| 文献引用应用 | WB |
| 经测试反应性 | human |
| 文献引用反应性 | human |
| 免疫原 |
CatNo: Ag23905 Product name: Recombinant human SLCO4A1 protein Source: e coli.-derived, PGEX-4T Tag: GST Domain: 1-103 aa of BC015727 Sequence: MPLHQLGDKPLTFPSPNSAMENGLDHTPPSRRASPGTPLSPGSLRSAAHSPLDTSKQPLCQLWAEKHGARGTHEVRYISAGQSVACGWWAFAPPCLQVLNTPK 种属同源性预测 |
| 宿主/亚型 | Rabbit / IgG |
| 抗体类别 | Polyclonal |
| 产品类型 | Antibody |
| 全称 | solute carrier organic anion transporter family, member 4A1 |
| 别名 | OATP E, OATP RP1, OATP1, OATP4A1, OATPE |
| 计算分子量 | 77 kDa |
| 观测分子量 | 77 kDa |
| GenBank蛋白编号 | BC015727 |
| 基因名称 | SLCO4A1 |
| Gene ID (NCBI) | 28231 |
| RRID | AB_2880501 |
| 偶联类型 | Unconjugated |
| 形式 | Liquid |
| 纯化方式 | Antigen affinity purification |
| UNIPROT ID | Q96BD0 |
| 储存缓冲液 | PBS with 0.02% sodium azide and 50% glycerol, pH 7.3. |
| 储存条件 | Store at -20°C. Stable for one year after shipment. Aliquoting is unnecessary for -20oC storage. |
背景介绍
SLCO4A (Solute carrier organic anion transporter family member 4A1), also referred to as OATP4A1, is a membrane transporter protein, primarily facilitates the transmembrane transport of substances that are independent of Na+, including lipid‑soluble drugs, thyroid and adrenal hormones, and a selected few toxin (PMID: 38275113). SLCO4A1 is highly expressed in several cancers and promotes cell proliferation, migration and invasion (PMID: 28378090). Besides, SLCO4A1 was highly expressed in pancreatic cancer and could be a potential biomarker to target anticancer drugs to pancreatic carcinoma (PMID: 34924768).
实验方案
| Product Specific Protocols | |
|---|---|
| WB protocol for SLCO4A1 antibody 26399-1-AP | Download protocol |
| Standard Protocols | |
|---|---|
| Click here to view our Standard Protocols |
