验证数据展示
经过测试的应用
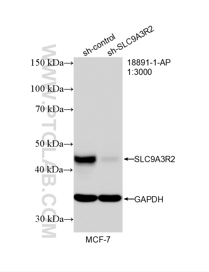
| Positive WB detected in | HeLa cells, MCF-7 cells, T-47D cells |
推荐稀释比
| 应用 | 推荐稀释比 |
|---|---|
| Western Blot (WB) | WB : 1:500-1:2000 |
| It is recommended that this reagent should be titrated in each testing system to obtain optimal results. | |
| Sample-dependent, Check data in validation data gallery. | |
产品信息
18891-1-AP targets SLC9A3R2 in WB, ELISA applications and shows reactivity with human, mouse, rat samples.
| 经测试应用 | WB, ELISA Application Description |
| 经测试反应性 | human, mouse, rat |
| 免疫原 |
CatNo: Ag13476 Product name: Recombinant human SLC9A3R2 protein Source: e coli.-derived, PGEX-4T Tag: GST Domain: 1-337 aa of BC106001 Sequence: MAAPEPLRPRLCRLVRGEQGYGFHLHGEKGRRGQFIRRVEPGSPAEAAALRAGDRLVEVNGVNVEGETHHQVVQRIKAVEGQTRLLVVDQETDEELRRRQLTCTEEMAQRGLPPAHDPWEPKPDWAHTGSHSSEAGKKDVSGPLRELRPRLCHLRKGPQGYGFNLHSDKSRPGQYIRSVDPGSPAARSGLRAQDRLIEVNGQNVEGLRHAEVVASIKAREDEARLLVVDPETDEHFKRLRVTPTEEHVEGPLPSPVTNGTSPAQLNGGSACSSRSDLPGSDKDTEDGSAWKQDPFQESGLHLSPTAAEAKEKARAMRVNKRAPQMDWNRKREIFSNF 种属同源性预测 |
| 宿主/亚型 | Rabbit / IgG |
| 抗体类别 | Polyclonal |
| 产品类型 | Antibody |
| 全称 | solute carrier family 9 (sodium/hydrogen exchanger), member 3 regulator 2 |
| 别名 | E3KARP, Na(+)/H(+) exchange regulatory cofactor NHE-RF2, NHE3RF2, NHERF 2, NHERF2 |
| 计算分子量 | 337 aa, 37 kDa |
| 观测分子量 | 45 kDa |
| GenBank蛋白编号 | BC106001 |
| 基因名称 | SLC9A3R2 |
| Gene ID (NCBI) | 9351 |
| RRID | AB_3085570 |
| 偶联类型 | Unconjugated |
| 形式 | Liquid |
| 纯化方式 | Antigen affinity purification |
| UNIPROT ID | Q15599 |
| 储存缓冲液 | PBS with 0.02% sodium azide and 50% glycerol, pH 7.3. |
| 储存条件 | Store at -20°C. Stable for one year after shipment. Aliquoting is unnecessary for -20oC storage. |
背景介绍
SLC9A3R2, also named as NHERF2, is a member of the Na+/H+ exchanger regulatory factor (NHERF) family of PDZ scaffolding proteins. SLC9A3R2 is needed for cGMP and carbachol-mediated inhibition as well as LPA and dexamethasone-mediated stimulation of NHE3. NHERF1 and NHERF2 are highly homologous structurally to each other but play different roles in the regulation of Na+ and Cl− transport.(PMID: 23612977)
实验方案
| Product Specific Protocols | |
|---|---|
| WB protocol for SLC9A3R2 antibody 18891-1-AP | Download protocol |
| Standard Protocols | |
|---|---|
| Click here to view our Standard Protocols |

