验证数据展示
经过测试的应用
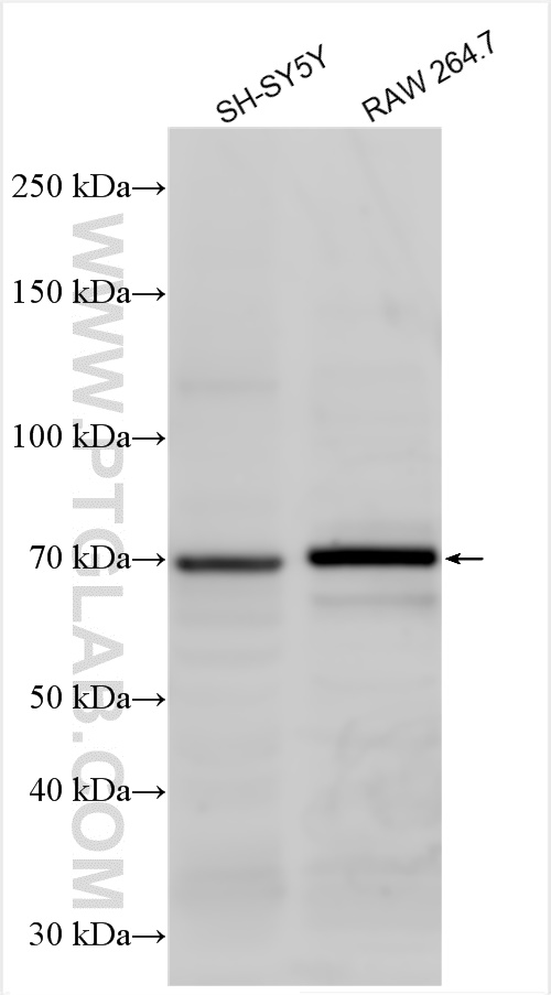
| Positive WB detected in | SH-SY5Y cells, RAW 264.7 cells |
推荐稀释比
| 应用 | 推荐稀释比 |
|---|---|
| Western Blot (WB) | WB : 1:500-1:2000 |
| It is recommended that this reagent should be titrated in each testing system to obtain optimal results. | |
| Sample-dependent, Check data in validation data gallery. | |
产品信息
29186-1-AP targets Serotonin transporter in WB, ELISA applications and shows reactivity with human, mouse samples.
| 经测试应用 | WB, ELISA Application Description |
| 经测试反应性 | human, mouse |
| 免疫原 |
CatNo: Ag30412 Product name: Recombinant human SLC6A4 protein Source: e coli.-derived, PGEX-4T Tag: GST Domain: 1-87 aa of NM_001045 Sequence: METTPLNSQKQLSACEDGEDCQENGVLQKVVPTPGDKVESGQISNGYSAVPSPGAGDDTRHSIPATTTTLVAELHQGERETWGKKVD 种属同源性预测 |
| 宿主/亚型 | Rabbit / IgG |
| 抗体类别 | Polyclonal |
| 产品类型 | Antibody |
| 全称 | solute carrier family 6 (neurotransmitter transporter, serotonin), member 4 |
| 别名 | SLC6A4, 5 HTT, 5 HTTLPR, 5HTT, hSERT |
| 计算分子量 | 70 aa |
| 观测分子量 | 70 kDa |
| GenBank蛋白编号 | NM_001045 |
| 基因名称 | Serotonin transporter |
| Gene ID (NCBI) | 6532 |
| RRID | AB_2935471 |
| 偶联类型 | Unconjugated |
| 形式 | Liquid |
| 纯化方式 | Antigen affinity purification |
| UNIPROT ID | P31645 |
| 储存缓冲液 | PBS with 0.02% sodium azide and 50% glycerol, pH 7.3. |
| 储存条件 | Store at -20°C. Stable for one year after shipment. Aliquoting is unnecessary for -20oC storage. |
背景介绍
Serotonin transporter (SERT; SLC6A4) belongs to the sodium- and chloride-dependent monoamine transporter family. SERT is a membrane transporter that terminates the neurotransmission of serotonin, a monoaminergic neurotransmitter, through its reuptake. The SERT uptake mechanism acquires energy for active transport via ATP hydrolysis or via movement against electrochemical gradients. As an oligomeric N-glycan, SERT contains disulfide bonds between cysteine residues on the second extracellular domain. Post-translational modifications regulate the uptake kinetics and membrane trafficking of SERT, in part by regulating the proper folding and assembly of SERT in a host-dependent manner (PMID: 30394319).
实验方案
| Product Specific Protocols | |
|---|---|
| WB protocol for Serotonin transporter antibody 29186-1-AP | Download protocol |
| Standard Protocols | |
|---|---|
| Click here to view our Standard Protocols |
