验证数据展示
经过测试的应用
| Positive WB detected in | mouse testis tissue, mouse stomach tissue, SGC-7901 cells, rat stomach tissue |
| Positive IP detected in | mouse testis tissue |
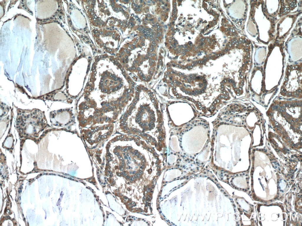
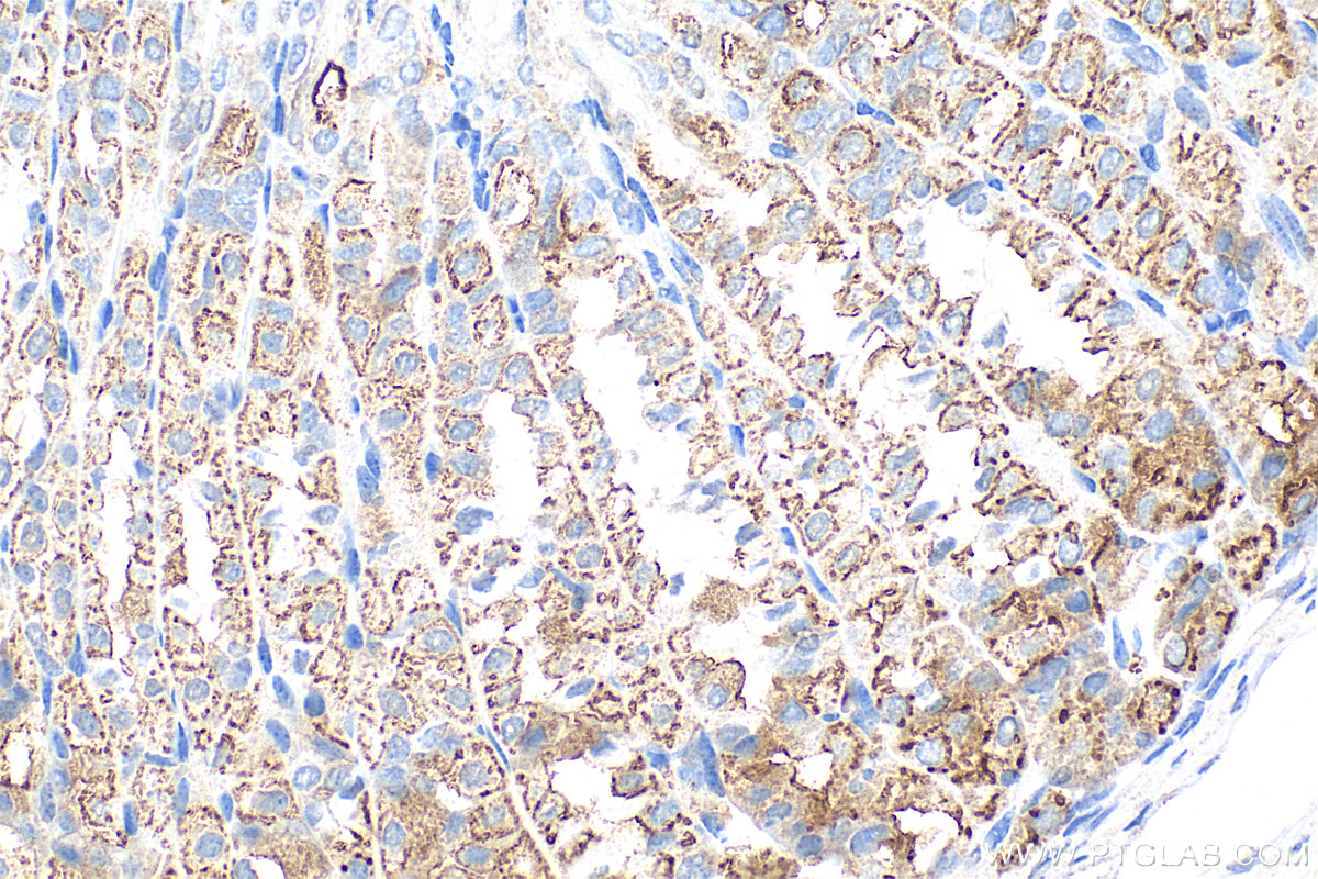
| Positive IHC detected in | mouse stomach tissue, human ovary tissue, human thyroid cancer tissue Note: suggested antigen retrieval with TE buffer pH 9.0; (*) Alternatively, antigen retrieval may be performed with citrate buffer pH 6.0 |
推荐稀释比
| 应用 | 推荐稀释比 |
|---|---|
| Western Blot (WB) | WB : 1:500-1:1000 |
| Immunoprecipitation (IP) | IP : 0.5-4.0 ug for 1.0-3.0 mg of total protein lysate |
| Immunohistochemistry (IHC) | IHC : 1:500-1:2000 |
| It is recommended that this reagent should be titrated in each testing system to obtain optimal results. | |
| Sample-dependent, Check data in validation data gallery. | |
产品信息
24324-1-AP targets Sodium iodide symporter in WB, IHC, IF, IP, ChIP, ELISA, Cell treatment applications and shows reactivity with human, mouse, rat samples.
| 经测试应用 | WB, IHC, IP, ELISA Application Description |
| 文献引用应用 | WB, IHC, IF, IP, ChIP, Cell treatment |
| 经测试反应性 | human, mouse, rat |
| 文献引用反应性 | human, mouse, rat, zebrafish |
| 免疫原 |
CatNo: Ag19504 Product name: Recombinant human SLC5A5 protein Source: e coli.-derived, PGEX-4T Tag: GST Domain: 538-643 aa of BC105047 Sequence: TVLCGALISCLTGPTKRSTLAPGLLWWDLARQTASVAPKEEVAILDDNLVKGPEELPTGNKKPPGFLPTNEDRLFFLGQKELEGAGSWTPCVGHDGGRDQQETNL 种属同源性预测 |
| 宿主/亚型 | Rabbit / IgG |
| 抗体类别 | Polyclonal |
| 产品类型 | Antibody |
| 全称 | solute carrier family 5 (sodium iodide symporter), member 5 |
| 别名 | NIS, Natrium iodide transporter, SLC5A5, Sodium-iodide symporter (Na(+)/I(-) symporter) |
| 计算分子量 | 643 aa, 69 kDa |
| 观测分子量 | 50-55 kDa, 75-100 kDa |
| GenBank蛋白编号 | BC105047 |
| 基因名称 | Sodium iodide symporter |
| Gene ID (NCBI) | 6528 |
| RRID | AB_2879495 |
| 偶联类型 | Unconjugated |
| 形式 | Liquid |
| 纯化方式 | Antigen affinity purification |
| UNIPROT ID | Q92911 |
| 储存缓冲液 | PBS with 0.02% sodium azide and 50% glycerol, pH 7.3. |
| 储存条件 | Store at -20°C. Stable for one year after shipment. Aliquoting is unnecessary for -20oC storage. |
背景介绍
The sodium iodide symporter (Na+/I - symporter, NIS), encoded by SLC5A5, is an integral plasma membrane glycoprotein that plays an important role in iodide uptake by thyroid cells. Expression of sodium iodide symporter has also been found in extra-thyroidal tissues, including gastric mucosa, lactating mammary gland and salivary glands. Increased expression of sodium iodide symporter has been found in thyroid tissue from patients with Graves' disease as well as papillary thyroid carcinomas. In addition, sodium iodide symporter was found to express in majority of breast cancer tissue but not in normal tissue. Sodium iodide symporter can be a promising diagnostic and therapeutic tool for thyroid cancer and breast cancer. This antibody recognizes the mature approximately 75-100 kDa protein and a partially glycosylated 50-55 kDa protein. (PMID: 12588808, 9525971)
实验方案
| Product Specific Protocols | |
|---|---|
| IHC protocol for Sodium iodide symporter antibody 24324-1-AP | Download protocol |
| IP protocol for Sodium iodide symporter antibody 24324-1-AP | Download protocol |
| WB protocol for Sodium iodide symporter antibody 24324-1-AP | Download protocol |
| Standard Protocols | |
|---|---|
| Click here to view our Standard Protocols |
发表文章
| Species | Application | Title |
|---|---|---|
Adv Sci (Weinh) Regeneration of Thyroid Glands in the Spleen Restores Homeostasis in Thyroidectomy Mice | ||
Clin Cancer Res Combined Vorinostat and Chloroquine Inhibit Sodium-Iodide Symporter Endocytosis and Enhance Radionuclide Uptake In Vivo | ||
Cell Death Differ REGγ ablation impedes dedifferentiation of anaplastic thyroid carcinoma and accentuates radio-therapeutic response by regulating the Smad7-TGF-β pathway. | ||
Cell Death Differ CRSP8 promotes thyroid cancer progression by antagonizing IKKα-induced cell differentiation. | ||
Cell Chem Biol Targeting non-canonical pathways as a strategy to modulate the sodium iodide symporter. |









