验证数据展示
经过测试的应用
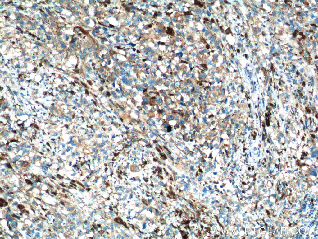
| Positive IHC detected in | mouse colon tissue, human malignant melanoma tissue Note: suggested antigen retrieval with TE buffer pH 9.0; (*) Alternatively, antigen retrieval may be performed with citrate buffer pH 6.0 |
推荐稀释比
| 应用 | 推荐稀释比 |
|---|---|
| Immunohistochemistry (IHC) | IHC : 1:50-1:500 |
| It is recommended that this reagent should be titrated in each testing system to obtain optimal results. | |
| Sample-dependent, Check data in validation data gallery. | |
产品信息
10453-1-AP targets SLC45A2 in WB, IHC, IF, ELISA applications and shows reactivity with human, mouse samples.
| 经测试应用 | IHC, ELISA Application Description |
| 文献引用应用 | WB, IHC, IF |
| 经测试反应性 | human, mouse |
| 文献引用反应性 | human |
| 免疫原 |
CatNo: Ag0699 Product name: Recombinant human SLC45A2 protein Source: e coli.-derived, PGEX-4T Tag: GST Domain: 1-159 aa of BC003597 Sequence: MGSNSGQAGRHIYKSLADDGPFDSVEPPKRPTSRLIMHSMAMFGREFCYAVEAAYVTPVLLSVGLPSSLYSIVWFLSPILGFLLQPVVGSASDHCRSRWGRRRPYILTLGVMMLVGMALYLNGATVVAALIANPRRKLVWAISVTMIGVVLFDFAADFI 种属同源性预测 |
| 宿主/亚型 | Rabbit / IgG |
| 抗体类别 | Polyclonal |
| 产品类型 | Antibody |
| 全称 | solute carrier family 45, member 2 |
| 别名 | 1A1, AIM1, MATP, Melanoma antigen AIM1, Membrane-associated transporter protein |
| 计算分子量 | 58 kDa |
| 观测分子量 | 50-55 kDa |
| GenBank蛋白编号 | BC003597 |
| 基因名称 | SLC45A2 |
| Gene ID (NCBI) | 51151 |
| RRID | AB_2191075 |
| 偶联类型 | Unconjugated |
| 形式 | Liquid |
| 纯化方式 | Antigen affinity purification |
| UNIPROT ID | Q9UMX9 |
| 储存缓冲液 | PBS with 0.02% sodium azide and 50% glycerol, pH 7.3. |
| 储存条件 | Store at -20°C. Stable for one year after shipment. Aliquoting is unnecessary for -20oC storage. |
背景介绍
SLC45A2, also named as AIM1 and MATP, belongs to the glycoside-pentoside-hexuronide (GPH) cation symporter transporter (TC 2.A.2) family. It is a melanocyte differentiation antigen. SLC45A2 may transport substances required for melanin biosynthesis. (PMID:17768386,21677667)Mutation of SLC45A2 cause oculocutaneous albinism type 4 (OCA4) which is disorder of pigmentation characterized by reduced biosynthesis of melanin in the skin, hair and eyes.
实验方案
| Product Specific Protocols | |
|---|---|
| IHC protocol for SLC45A2 antibody 10453-1-AP | Download protocol |
| Standard Protocols | |
|---|---|
| Click here to view our Standard Protocols |
发表文章
| Species | Application | Title |
|---|---|---|
J Invest Dermatol Homozygosity mapping and whole-exome sequencing to detect SLC45A2 and G6PC3 mutations in a single patient with oculocutaneous albinism and neutropenia. | ||
Front Oncol New Prognostic Biomarkers and Drug Targets for Skin Cutaneous Melanoma via Comprehensive Bioinformatic Analysis and Validation. | ||
Front Immunol Single-cell profiling deciphering cholesterol metabolism dysregulation in metastatic uveal melanoma and implicating SLC45A2 in its prognosis.
|



