验证数据展示
经过测试的应用
| Positive WB detected in | mouse pancreas tissue, rat pancreas tissue |
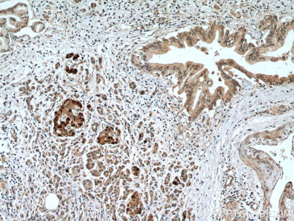
| Positive IHC detected in | human pancreas tissue, human pancreas cancer tissue, human liver cancer tissue Note: suggested antigen retrieval with TE buffer pH 9.0; (*) Alternatively, antigen retrieval may be performed with citrate buffer pH 6.0 |
| Positive IF-P detected in | human pancreas tissue |
| Positive IF/ICC detected in | HepG2 cells |
推荐稀释比
| 应用 | 推荐稀释比 |
|---|---|
| Western Blot (WB) | WB : 1:500-1:2000 |
| Immunohistochemistry (IHC) | IHC : 1:250-1:1000 |
| Immunofluorescence (IF)-P | IF-P : 1:50-1:500 |
| Immunofluorescence (IF)/ICC | IF/ICC : 1:50-1:500 |
| It is recommended that this reagent should be titrated in each testing system to obtain optimal results. | |
| Sample-dependent, Check data in validation data gallery. | |
产品信息
16169-1-AP targets SLC30A8/ZNT8-Specific in WB, IHC, IF/ICC, IF-P, ELISA applications and shows reactivity with human, mouse, rat samples.
| 经测试应用 | WB, IHC, IF/ICC, IF-P, ELISA Application Description |
| 文献引用应用 | WB, IHC, IF |
| 经测试反应性 | human, mouse, rat |
| 文献引用反应性 | human, mouse, rat, yellow catfish |
| 免疫原 |
Peptide 种属同源性预测 |
| 宿主/亚型 | Rabbit / IgG |
| 抗体类别 | Polyclonal |
| 产品类型 | Antibody |
| 全称 | solute carrier family 30 (zinc transporter), member 8 |
| 别名 | SLC30A8, ZnT 8, Proton-coupled zinc antiporter SLC30A8, ZNT8, ZnT-8 |
| 计算分子量 | 41 kDa |
| 观测分子量 | 45-50 kDa |
| GenBank蛋白编号 | NM_173851 |
| 基因名称 | SLC30A8 |
| Gene ID (NCBI) | 169026 |
| RRID | AB_10733889 |
| 偶联类型 | Unconjugated |
| 形式 | Liquid |
| 纯化方式 | Antigen affinity purification |
| UNIPROT ID | Q8IWU4 |
| 储存缓冲液 | PBS with 0.02% sodium azide and 50% glycerol, pH 7.3. |
| 储存条件 | Store at -20°C. Stable for one year after shipment. Aliquoting is unnecessary for -20oC storage. |
背景介绍
SLC30A8 (also named as ZNT8) encods the secretory granule zinc transporter, permiting cellular efflux of zinc. SLC30A8 was recently defined as a autoantigen candidates of type 2 diabetes, although the molecular mechanism through which this phenotype is manifest is incompletely understood.
实验方案
| Product Specific Protocols | |
|---|---|
| IF protocol for SLC30A8/ZNT8-Specific antibody 16169-1-AP | Download protocol |
| IHC protocol for SLC30A8/ZNT8-Specific antibody 16169-1-AP | Download protocol |
| WB protocol for SLC30A8/ZNT8-Specific antibody 16169-1-AP | Download protocol |
| Standard Protocols | |
|---|---|
| Click here to view our Standard Protocols |
发表文章
| Species | Application | Title |
|---|---|---|
J Biol Chem Lipid-tuned Zinc Transport Activity of Human ZnT8 Correlates with Risk for Type-2 Diabetes. | ||
J Biol Chem A subclass of serum anti-ZnT8 antibodies directed to the surface of live pancreatic β-cells. | ||
J Biol Chem Highly specific monoclonal antibodies for allosteric inhibition and immunodetection of the human pancreatic zinc transporter ZnT8. | ||
J Endocrinol Lack of ZnT8 protects pancreatic islets from hypoxia- and cytokine induced cell death. | ||
Sci Rep A change in the zinc ion concentration reflects the maturation of insulin-producing cells generated from adipose-derived mesenchymal stem cells. |








