验证数据展示
经过测试的应用
| Positive WB detected in | C2C12 cells |
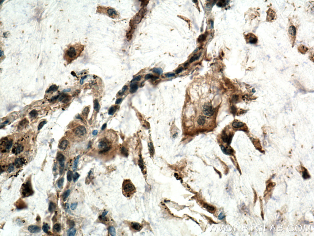
| Positive IHC detected in | human lung cancer tissue Note: suggested antigen retrieval with TE buffer pH 9.0; (*) Alternatively, antigen retrieval may be performed with citrate buffer pH 6.0 |
| Positive IF/ICC detected in | A431 cells |
推荐稀释比
| 应用 | 推荐稀释比 |
|---|---|
| Western Blot (WB) | WB : 1:500-1:2000 |
| Immunohistochemistry (IHC) | IHC : 1:50-1:500 |
| Immunofluorescence (IF)/ICC | IF/ICC : 1:20-1:200 |
| It is recommended that this reagent should be titrated in each testing system to obtain optimal results. | |
| Sample-dependent, Check data in validation data gallery. | |
产品信息
13966-1-AP targets ZnT7 in WB, IHC, IF/ICC, ELISA applications and shows reactivity with human, mouse, rat samples.
| 经测试应用 | WB, IHC, IF/ICC, ELISA Application Description |
| 文献引用应用 | WB, IHC, IF |
| 经测试反应性 | human, mouse, rat |
| 文献引用反应性 | human, mouse, rat, chicken |
| 免疫原 |
CatNo: Ag4957 Product name: Recombinant human SLC30A7 protein Source: e coli.-derived, PGEX-4T Tag: GST Domain: 287-376 aa of BC064692 Sequence: RESVGILMQRTPPLLENSLPQCYQRVQQLQGVYSLQEQHFWTLCSDVYVGTLKLIVAPDADARWILSQTHNIFTQAGVRQLYVQIDFAAM 种属同源性预测 |
| 宿主/亚型 | Rabbit / IgG |
| 抗体类别 | Polyclonal |
| 产品类型 | Antibody |
| 全称 | solute carrier family 30 (zinc transporter), member 7 |
| 别名 | SLC30A7, ZnT 7, ZnT-7, ZNTL2, Znt-like transporter 2 |
| 计算分子量 | 42 kDa |
| 观测分子量 | 42 kDa |
| GenBank蛋白编号 | BC064692 |
| 基因名称 | SLC30A7 |
| Gene ID (NCBI) | 148867 |
| RRID | AB_2189776 |
| 偶联类型 | Unconjugated |
| 形式 | Liquid |
| 纯化方式 | Antigen affinity purification |
| UNIPROT ID | Q8NEW0 |
| 储存缓冲液 | PBS with 0.02% sodium azide and 50% glycerol, pH 7.3. |
| 储存条件 | Store at -20°C. Stable for one year after shipment. Aliquoting is unnecessary for -20oC storage. |
实验方案
| Product Specific Protocols | |
|---|---|
| IF protocol for ZnT7 antibody 13966-1-AP | Download protocol |
| IHC protocol for ZnT7 antibody 13966-1-AP | Download protocol |
| WB protocol for ZnT7 antibody 13966-1-AP | Download protocol |
| Standard Protocols | |
|---|---|
| Click here to view our Standard Protocols |
发表文章
| Species | Application | Title |
|---|---|---|
Acta Neuropathol Commun Deregulation of subcellular biometal homeostasis through loss of the metal transporter, Zip7, in a childhood neurodegenerative disorder. | ||
Metallomics Deregulation of biometal homeostasis: the missing link for neuronal ceroid lipofuscinoses? | ||
Am J Physiol Gastrointest Liver Physiol Zinc deficiency mediates alcohol-induced apoptotic cell death in the liver of rats through activating ER and mitochondrial cell death pathways. | ||
Am J Physiol Gastrointest Liver Physiol Dysregulation of hepatic zinc transporters in a mouse model of alcoholic liver disease. | ||
Front Physiol Organic zinc with moderate chelation strength enhances zinc absorption in the small intestine and expression of related transporters in the duodenum of broilers | ||
J Anim Sci Zinc proteinate with moderate chelation strength enhances zinc absorption by upregulating the expression of zinc and amino acid transporters in primary cultured duodenal epithelial cells of broiler embryos |





