验证数据展示
经过测试的应用
| Positive WB detected in | HEK-293 cells, U-251 cells, Jurkat cells, HeLa cells, C6 cells, mouse brain tissue, rat brain tissue, HepG2 cells |
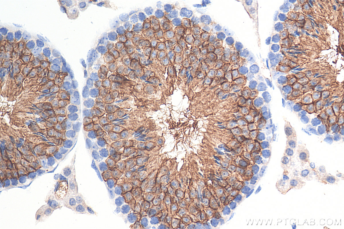
| Positive IHC detected in | mouse testis tissue, human lung cancer tissue, human breast cancer tissue, human placenta tissue, mouse brain tissue Note: suggested antigen retrieval with TE buffer pH 9.0; (*) Alternatively, antigen retrieval may be performed with citrate buffer pH 6.0 |
| Positive IF/ICC detected in | Caco-2 cells |
推荐稀释比
| 应用 | 推荐稀释比 |
|---|---|
| Western Blot (WB) | WB : 1:2000-1:10000 |
| Immunohistochemistry (IHC) | IHC : 1:2000-1:8000 |
| Immunofluorescence (IF)/ICC | IF/ICC : 1:200-1:800 |
| It is recommended that this reagent should be titrated in each testing system to obtain optimal results. | |
| Sample-dependent, Check data in validation data gallery. | |
产品信息
20403-1-AP targets GLUT3 in WB, IHC, IF/ICC, IP, ELISA applications and shows reactivity with human, mouse, rat samples.
| 经测试应用 | WB, IHC, IF/ICC, ELISA Application Description |
| 文献引用应用 | WB, IHC, IF, IP |
| 经测试反应性 | human, mouse, rat |
| 文献引用反应性 | human, mouse, rat, goat |
| 免疫原 |
CatNo: Ag14203 Product name: Recombinant human SLC2A3 protein Source: e coli.-derived, PGEX-4T Tag: GST Domain: 207-281 aa of BC039196 Sequence: ESPRFLLINRKEEENAKQILQRLWGTQDVSQDIQEMKDESARMSQEKQVTVLELFRVSSYRQPIIISIVLQLSQQ 种属同源性预测 |
| 宿主/亚型 | Rabbit / IgG |
| 抗体类别 | Polyclonal |
| 产品类型 | Antibody |
| 全称 | solute carrier family 2 (facilitated glucose transporter), member 3 |
| 别名 | GLUT 3, SLC2A3, GLUT-3 |
| 计算分子量 | 496 aa, 54 kDa |
| 观测分子量 | 54-60 kDa |
| GenBank蛋白编号 | BC039196 |
| 基因名称 | GLUT3 |
| Gene ID (NCBI) | 6515 |
| RRID | AB_10694437 |
| 偶联类型 | Unconjugated |
| 形式 | Liquid |
| 纯化方式 | Antigen affinity purification |
| UNIPROT ID | P11169 |
| 储存缓冲液 | PBS with 0.02% sodium azide and 50% glycerol, pH 7.3. |
| 储存条件 | Store at -20°C. Stable for one year after shipment. Aliquoting is unnecessary for -20oC storage. |
背景介绍
Glucose transporter 3 (GLUT3), also known as solute carrier family 2, facilitated glucose transporter member 3 (SLC2A3), is a transporter protein regulating glucose transport across cell membranes and is a primary glucose transporter in neurons.
What is the molecular weight of GLUT3? Is GLUT3 post-translationally modified?
The molecular weight of GLUT3 transporter is 49-52 kDa and depends on the glycosylation pattern, which is tissue-specific (PMID: 9253355 and 9889355). GLUT3 can be N-glycosylated.
What is the subcellular localization of GLUT3?
Glucose transporters, including GLUT3, are multiple-pass integral membrane proteins. GLUT3 is present at the plasma membrane but is also a subject of recycling between the plasma membrane and endosomes.
What molecules can be transported by GLUT3?
Although the main substrate of GLUT3 transport is glucose, it can also transport mannose, galactose, and xylose.
What is the tissue expression pattern of GLUT3?
GLUT1 and GLUT3 are important for the transport of glucose into the central nervous system. While GLUT1 transports glucose through blood vessels and into astrocytes, GLUT3 is predominantly expressed in neurons, being their main glucose transporter (PMID: 9302083), and in testis (PMID: 18577699).
实验方案
| Product Specific Protocols | |
|---|---|
| IF protocol for GLUT3 antibody 20403-1-AP | Download protocol |
| IHC protocol for GLUT3 antibody 20403-1-AP | Download protocol |
| WB protocol for GLUT3 antibody 20403-1-AP | Download protocol |
| Standard Protocols | |
|---|---|
| Click here to view our Standard Protocols |
发表文章
| Species | Application | Title |
|---|---|---|
Cell Metab Acetate enables metabolic fitness and cognitive performance during sleep disruption | ||
Nat Aging Activation of AMPK by GLP-1R agonists mitigates Alzheimer-related phenotypes in transgenic mice | ||
Neuron Sympathetic nerve-enteroendocrine L cell communication modulates GLP-1 release, brain glucose utilization, and cognitive function | ||
Mol Cancer CircEZH2/miR-133b/IGF2BP2 aggravates colorectal cancer progression via enhancing the stability of m6A-modified CREB1 mRNA. | ||
Cell Death Differ A viral interferon regulatory factor degrades RNA-binding protein hnRNP Q1 to enhance aerobic glycolysis via recruiting E3 ubiquitin ligase KLHL3 and decaying GDPD1 mRNA. | ||
Autophagy Newcastle disease virus degrades SIRT3 via PINK1-PRKN-dependent mitophagy to reprogram energy metabolism in infected cells. |

















