验证数据展示
经过测试的应用
| Positive WB detected in | Caco-2 cells, mouse kidney tissue, HEK 293 cells, HepG2 cells, NIH/3T3 cells, mouse liver tissue, rat liver tissue |
| Positive IP detected in | mouse kidney tissue |
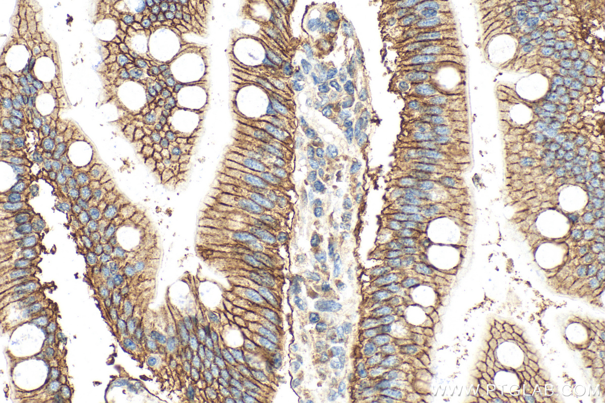
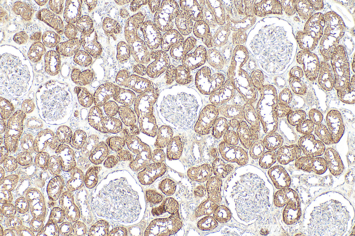
| Positive IHC detected in | mouse pancreas tissue, human kidney tissue, human small intestine tissue Note: suggested antigen retrieval with TE buffer pH 9.0; (*) Alternatively, antigen retrieval may be performed with citrate buffer pH 6.0 |
| Positive IF-P detected in | mouse pancreas tissue |
推荐稀释比
| 应用 | 推荐稀释比 |
|---|---|
| Western Blot (WB) | WB : 1:500-1:3000 |
| Immunoprecipitation (IP) | IP : 0.5-4.0 ug for 1.0-3.0 mg of total protein lysate |
| Immunohistochemistry (IHC) | IHC : 1:500-1:2000 |
| Immunofluorescence (IF)-P | IF-P : 1:50-1:500 |
| It is recommended that this reagent should be titrated in each testing system to obtain optimal results. | |
| Sample-dependent, Check data in validation data gallery. | |
产品信息
20436-1-AP targets GLUT2 in WB, IHC, IF-P, IP, ELISA applications and shows reactivity with human, mouse, rat samples.
| 经测试应用 | WB, IHC, IF-P, IP, ELISA Application Description |
| 文献引用应用 | WB, IHC, IF |
| 经测试反应性 | human, mouse, rat |
| 文献引用反应性 | human, mouse, rat, pig, sheep, lasiopodomys brandtii |
| 免疫原 |
CatNo: Ag14204 Product name: Recombinant human SLC2A2 protein Source: e coli.-derived, PGEX-4T Tag: GST Domain: 69-128 aa of BC060041 Sequence: SPRYLYIKLDEEVKAKQSLKRLRGYDDVTKDINEMRKEREEASSEQKVSIIQLFTNSSYR 种属同源性预测 |
| 宿主/亚型 | Rabbit / IgG |
| 抗体类别 | Polyclonal |
| 产品类型 | Antibody |
| 全称 | solute carrier family 2 (facilitated glucose transporter), member 2 |
| 别名 | GLUT-2, SLC2A2 |
| 计算分子量 | 57 kDa |
| 观测分子量 | 60-70 kDa, 38-45 kDa |
| GenBank蛋白编号 | BC060041 |
| 基因名称 | GLUT2 |
| Gene ID (NCBI) | 6514 |
| RRID | AB_2750600 |
| 偶联类型 | Unconjugated |
| 形式 | Liquid |
| 纯化方式 | Antigen affinity purification |
| UNIPROT ID | P11168 |
| 储存缓冲液 | PBS with 0.02% sodium azide and 50% glycerol, pH 7.3. |
| 储存条件 | Store at -20°C. Stable for one year after shipment. Aliquoting is unnecessary for -20oC storage. |
背景介绍
Glucose transporter 2 (GLUT2), also known as solute carrier family 2, facilitated glucose transporter member 2 (SLC2A2), is a transporter protein regulating glucose transport across cell membranes in an insulin-independent manner.
What is the molecular weight of GLUT2? Is GLUT2 post-translationally modified?
GLUT2 can be N-glycosylated. The molecular weight of mature glycosylated GLUT2 transporter is between 55 and 65 kDa, but a minor 38-kDa form is often detected in hepatocytes that may represent a non-glycosylated or proteolytic product (PMID: 12101013).
What is the subcellular localization of GLUT2?
Glucose transporters, including GLUT2, are multiple-pass integral membrane proteins. GLUT2 is present at the plasma membrane but has also been reported to be present at intracellular membranes, including the endoplasmic reticulum (PMID: 12101013).
What molecules can be transported by GLUT2?
Although the main substrate of GLUT2 transport is glucose, it can also transport galactose, mannose, and fructose.
What is the tissue expression pattern of GLUT2?
GLUT2 is expressed in many cell types. High expression of GLUT2 is observed in hepatocytes, where GLUT2 mediates glucose uptake and release regulating glucose levels in blood, in intestinal cells, where it regulates glucose transport at the basolateral membrane and to a lesser extent from the apical membrane, and in the kidney proximal tubule, where it is involved in glucose reabsorption and is present at the basolateral membrane.
实验方案
| Product Specific Protocols | |
|---|---|
| IF protocol for GLUT2 antibody 20436-1-AP | Download protocol |
| IHC protocol for GLUT2 antibody 20436-1-AP | Download protocol |
| IP protocol for GLUT2 antibody 20436-1-AP | Download protocol |
| WB protocol for GLUT2 antibody 20436-1-AP | Download protocol |
| Standard Protocols | |
|---|---|
| Click here to view our Standard Protocols |
发表文章
| Species | Application | Title |
|---|---|---|
Clin Transl Med USP7 promotes non-small-cell lung cancer cell glycolysis and survival by stabilizing and activating c-Abl | ||
Cell Mol Gastroenterol Hepatol Patient-Derived Mutant Forms of NFE2L2/NRF2 Drive Aggressive Murine Hepatoblastomas. | ||
Mol Metab T1R2 receptor-mediated glucose sensing in the upper intestine potentiates glucose absorption through activation of local regulatory pathways. | ||
Metabolism Rheb1 promotes glucose-stimulated insulin secretion in human and mouse β-cells by upregulating GLUT expression. |








