验证数据展示
经过测试的应用
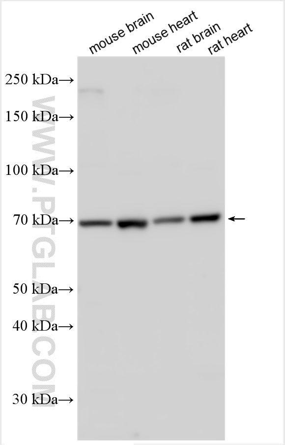
| Positive WB detected in | mouse brain tissue, mouse heart tissue, rat brain tissue, rat heart tissue |
推荐稀释比
| 应用 | 推荐稀释比 |
|---|---|
| Western Blot (WB) | WB : 1:500-1:2000 |
| It is recommended that this reagent should be titrated in each testing system to obtain optimal results. | |
| Sample-dependent, Check data in validation data gallery. | |
产品信息
22013-1-AP targets SLC26A5 in WB, ELISA applications and shows reactivity with human, mouse, rat samples.
| 经测试应用 | WB, ELISA Application Description |
| 经测试反应性 | human, mouse, rat |
| 免疫原 |
CatNo: Ag16631 Product name: Recombinant human SLC26A5 protein Source: e coli.-derived, PGEX-4T Tag: GST Domain: 1-86 aa of BC100832 Sequence: MDHAEENEILAATQRYYVERPIFSHPVLQERLHTKDKVPDSIADKLKQAFTCTPKKIRNIIYMFLPITKWLPAYKFKEYVLGDLVS 种属同源性预测 |
| 宿主/亚型 | Rabbit / IgG |
| 抗体类别 | Polyclonal |
| 产品类型 | Antibody |
| 全称 | solute carrier family 26, member 5 (prestin) |
| 别名 | Prestin, PRES, DFNB61 |
| 计算分子量 | 744 aa, 81 kDa |
| 观测分子量 | 70 kDa |
| GenBank蛋白编号 | BC100832 |
| 基因名称 | SLC26A5 |
| Gene ID (NCBI) | 375611 |
| RRID | AB_3669384 |
| 偶联类型 | Unconjugated |
| 形式 | Liquid |
| 纯化方式 | Antigen affinity purification |
| UNIPROT ID | P58743 |
| 储存缓冲液 | PBS with 0.02% sodium azide and 50% glycerol, pH 7.3. |
| 储存条件 | Store at -20°C. Stable for one year after shipment. Aliquoting is unnecessary for -20oC storage. |
背景介绍
SLC26A5 (Prestin) is a protein that is housed in abundance within the lateral membrane of outer hair cells (OHC) in the organ of Corti. The protein imparts robust electromechanical activity to the cell that is unlike any other form of cellular motility, notably associated with a voltage-dependent, bell-shaped nonlinear capacitance (NLC) that reports on conformational changes in the protein (PMID: 32061780). SLC26A5 is responsible for acute sensitivity and frequency selectivity in the vertebrate auditory system (PMID: 34294052).
实验方案
| Product Specific Protocols | |
|---|---|
| WB protocol for SLC26A5 antibody 22013-1-AP | Download protocol |
| Standard Protocols | |
|---|---|
| Click here to view our Standard Protocols |
