验证数据展示
经过测试的应用
| Positive WB detected in | human testis tissue, mouse testis tissue, rat testis tissue |
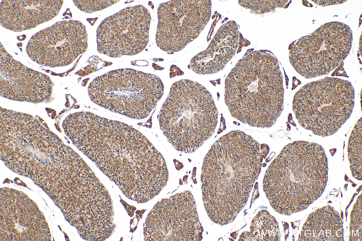
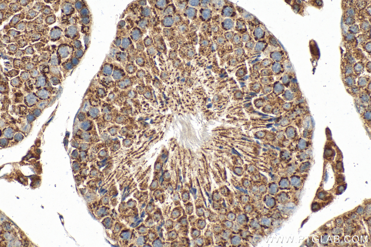
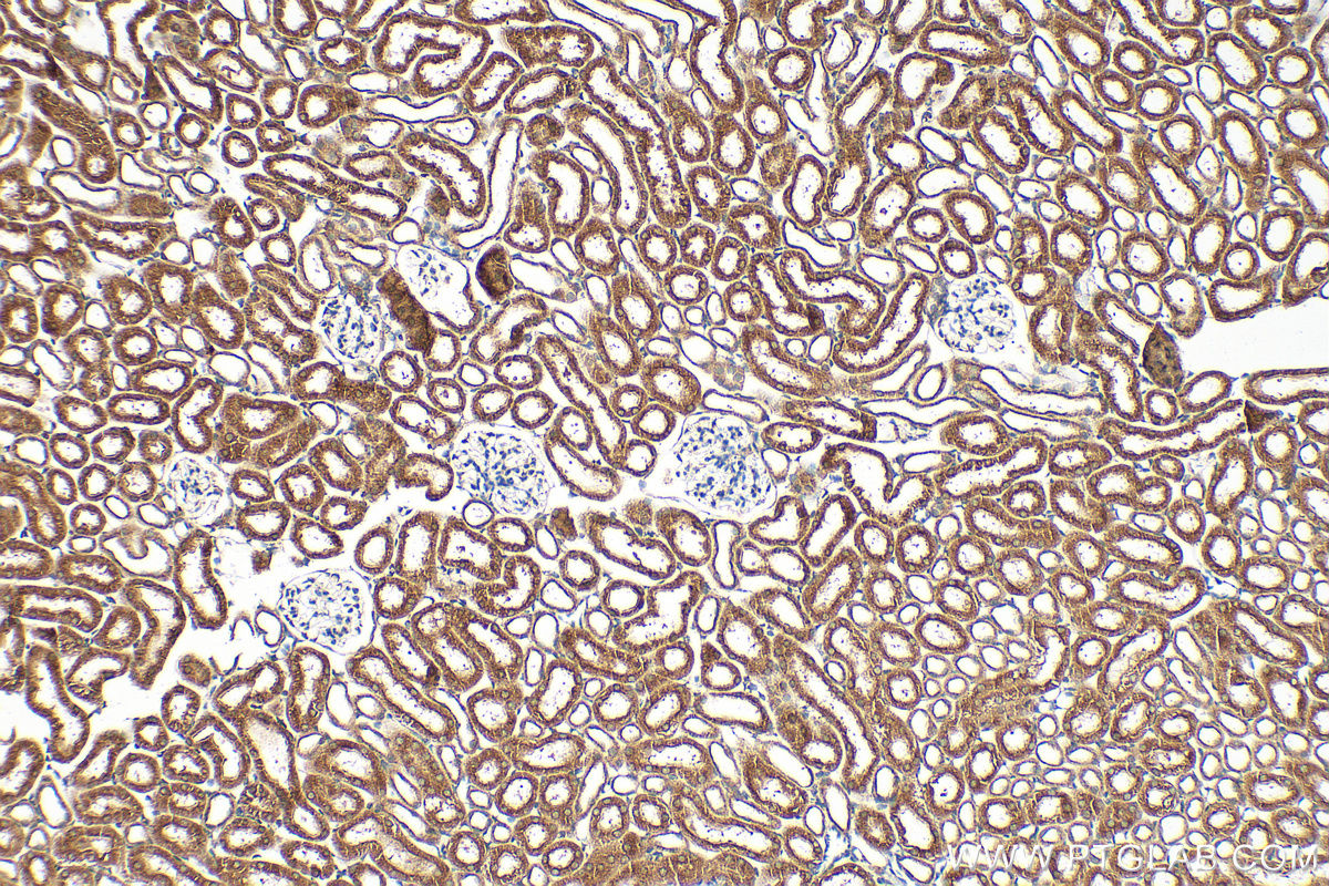
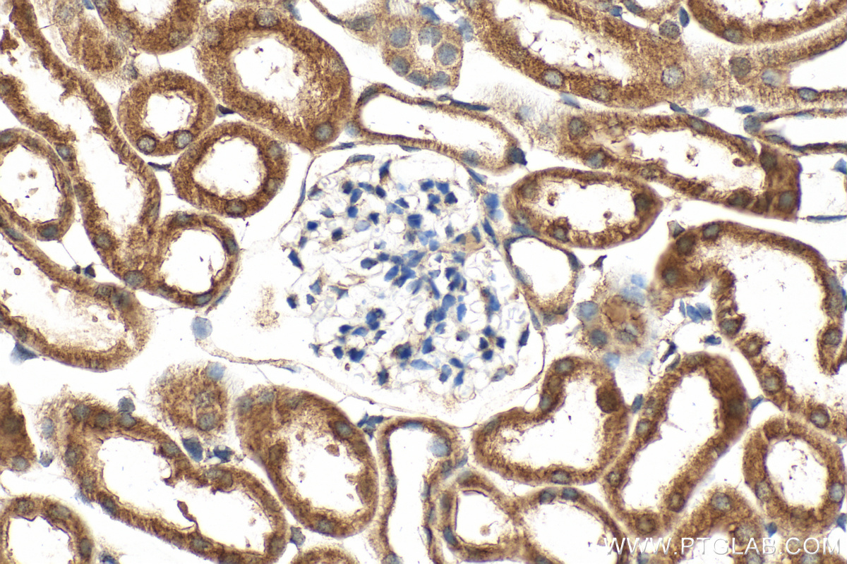
| Positive IHC detected in | mouse kidney tissue, mouse testis tissue Note: suggested antigen retrieval with TE buffer pH 9.0; (*) Alternatively, antigen retrieval may be performed with citrate buffer pH 6.0 |
| Positive IF/ICC detected in | U-251 cells |
推荐稀释比
| 应用 | 推荐稀释比 |
|---|---|
| Western Blot (WB) | WB : 1:1000-1:6000 |
| Immunohistochemistry (IHC) | IHC : 1:50-1:500 |
| Immunofluorescence (IF)/ICC | IF/ICC : 1:50-1:500 |
| It is recommended that this reagent should be titrated in each testing system to obtain optimal results. | |
| Sample-dependent, Check data in validation data gallery. | |
产品信息
33263-1-AP targets SLC25A31/ANT4 in WB, IHC, IF/ICC, ELISA applications and shows reactivity with human, mouse, rat samples.
| 经测试应用 | WB, IHC, IF/ICC, ELISA Application Description |
| 经测试反应性 | human, mouse, rat |
| 免疫原 |
CatNo: Ag11008 Product name: Recombinant human SLC25A31 protein Source: e coli.-derived, PET28a Tag: 6*His Domain: 1-315 aa of BC022032 Sequence: MHREPAKKKAEKRLFDASSFGKDLLAGGVAAAVSKTAVAPIERVKLLLQVQASSKQISPEARYKGMVDCLVRIPREQGFFSFWRGNLANVIRYFPTQALNFAFKDKYKQLFMSGVNKEKQFWRWFLANLASGGAAGATSLCVVYPLDFARTRLGVDIGKGPEERQFKGLGDCIMKIAKSDGIAGLYQGFGVSVQGIIVYRASYFGAYDTVKGLLPKPKKTPFLVSFFIAQVVTTCSGILSYPFDTVRRRMMMQSGEAKRQYKGTLDCFVKIYQHEGISSFFRGAFSNVLRGTGGALVLVLYDKIKEFFHIDIGGR 种属同源性预测 |
| 宿主/亚型 | Rabbit / IgG |
| 抗体类别 | Polyclonal |
| 产品类型 | Antibody |
| 全称 | solute carrier family 25 (mitochondrial carrier; adenine nucleotide translocator), member 31 |
| 别名 | ANT4, SLC25A31, AAC4, Adenine nucleotide translocator 4, ADP,ATP carrier protein 4 |
| 计算分子量 | 315 aa, 35 kDa |
| 观测分子量 | 35 kDa |
| GenBank蛋白编号 | BC022032 |
| 基因名称 | SLC25A31 |
| Gene ID (NCBI) | 83447 |
| 偶联类型 | Unconjugated |
| 形式 | Liquid |
| 纯化方式 | Antigen affinity Purification |
| UNIPROT ID | Q9H0C2 |
| 储存缓冲液 | PBS with 0.02% sodium azide and 50% glycerol, pH 7.3. |
| 储存条件 | Store at -20°C. Stable for one year after shipment. Aliquoting is unnecessary for -20oC storage. |
背景介绍
SLC25A31, also known as ANT4, is a member of the mitochondrial carrier family. The proteins of this family are mainly involved in the transport of substances inside and outside the mitochondria. SLC25A31 is an ADP/ATP antiporter protein, which catalyzes the exchange of ATP generated in mitochondria by ATP synthase against ADP produced in cytosol by most energy-consuming reactions(PMID: 15670820). SLC25A31 is mainly expressed in the testis and male germ cells (PMID: 25031318, 23506884).
实验方案
| Product Specific Protocols | |
|---|---|
| IF protocol for SLC25A31/ANT4 antibody 33263-1-AP | Download protocol |
| IHC protocol for SLC25A31/ANT4 antibody 33263-1-AP | Download protocol |
| WB protocol for SLC25A31/ANT4 antibody 33263-1-AP | Download protocol |
| Standard Protocols | |
|---|---|
| Click here to view our Standard Protocols |





