验证数据展示
产品信息
67467-1-PBS targets SLC25A12 as part of a matched antibody pair:
MP50650-2: 67467-4-PBS capture and 67467-1-PBS detection (validated in Cytometric bead array)
Unconjugated mouse monoclonal antibody pair in PBS only (BSA and azide free) storage buffer at a concentration of 1 mg/mL, ready for conjugation.
This conjugation ready format makes antibodies ideal for use in many applications including: ELISAs, multiplex assays requiring matched pairs, mass cytometry, and multiplex imaging applications.Antibody use should be optimized by the end user for each application and assay.
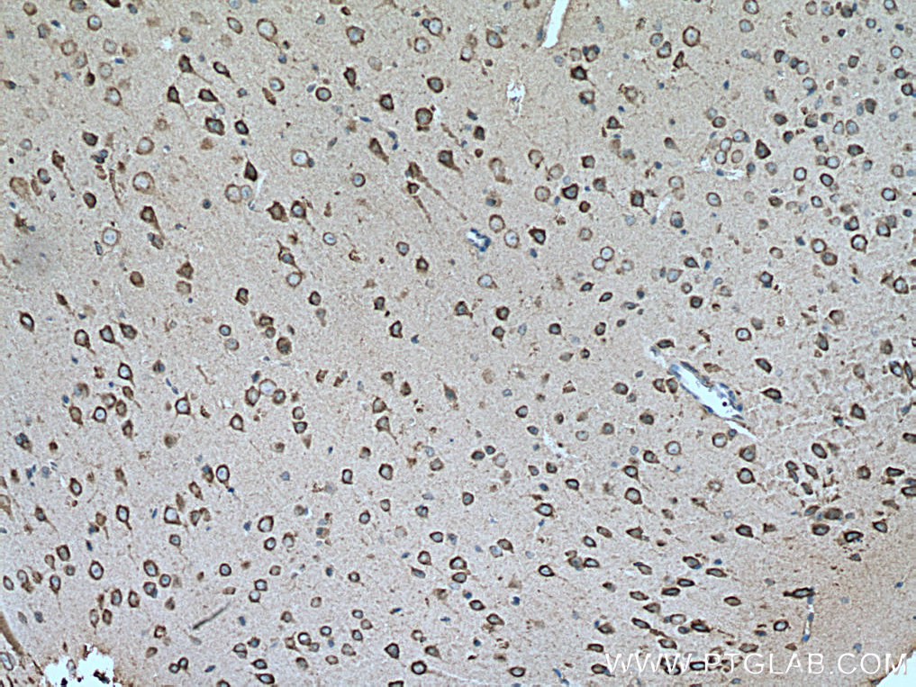
| 经测试应用 | WB, IHC, Cytometric bead array, Indirect ELISA Application Description |
| 经测试反应性 | human, mouse |
| 免疫原 |
CatNo: Ag13576 Product name: Recombinant human SLC25A12 protein Source: e coli.-derived, PET28a Tag: 6*His Domain: 326-678 aa of BC016932 Sequence: SAYRFTLGSVAGAVGATAVYPIDLVKTRMQNQRGSGSVVGELMYKNSFDCFKKVLRYEGFFGLYRGLIPQLIGVAPEKAIKLTVNDFVRDKFTRRDGSVPLPAEVLAGGCAGGSQVIFTNPLEIVKIRLQVAGEITTGPRVSALNVLRDLGIFGLYKGAKACFLRDIPFSAIYFPVYAHCKLLLADENGHVGGLNLLAAGAMAGVPAASLVTPADVIKTRLQVAARAGQTTYSGVIDCFRKILREEGPSAFWKGTAARVFRSSPQFGVTLVTYELLQRWFYIDFGGLKPAGSEPTPKSRIADLPPANPDHIGGYRLATATFAGIENKFGLYLPKFKSPSVAVVQPKAAVAATQ 种属同源性预测 |
| 宿主/亚型 | Mouse / IgG1 |
| 抗体类别 | Monoclonal |
| 产品类型 | Antibody |
| 全称 | solute carrier family 25 (mitochondrial carrier, Aralar), member 12 |
| 别名 | AGC1, Araceli hiperlarga, Aralar, Aralar1, Electrogenic aspartate/glutamate antiporter SLC25A12, mitochondrial |
| 计算分子量 | 75 kDa, 63 kDa |
| 观测分子量 | 70-75 kDa |
| GenBank蛋白编号 | BC016932 |
| 基因名称 | SLC25A12 |
| Gene ID (NCBI) | 8604 |
| RRID | AB_2882696 |
| 偶联类型 | Unconjugated |
| 形式 | Liquid |
| 纯化方式 | Protein G purification |
| UNIPROT ID | O75746 |
| 储存缓冲液 | PBS only, pH 7.3. |
| 储存条件 | Store at -80°C. The product is shipped with ice packs. Upon receipt, store it immediately at -80°C |
背景介绍
SLC25A12, also known as ARALAR1, is a key component of the malate-aspartate shuttle, a metabolic system that facilitates the transfer of reducing equivalents (NADH) from the cytoplasm into mitochondria, thereby supporting oxidative phosphorylation and ATP production. SLC25A12 dysfunction results in impaired mitochondrial energy production, which can lead to neuronal damage, developmental delays, and myelination defects (PMID: 20015484).









